Билиарный сладж — скопление микроскопических частиц из желчи, холестерина, билирубина и других компонентов, образующееся в желчном пузыре. Понимание его природы и причин возникновения важно для диагностики и лечения заболеваний желчевыводящих путей. В статье рассмотрим билиарный сладж, его причины, симптомы, последствия, а также методы диагностики и лечения, что поможет читателям лучше ориентироваться в этой теме и принимать обоснованные решения о здоровье.
Чем опасно
При нарушениях функционирования желчевыводящей системы и длительном застое желчи в желчном пузыре формируется эхогенная взвесь, представляющая собой смесь холестериновых отложений, белковых веществ и солей кальция. Если не предпринять меры, со временем эти хлопья становятся более плотными и могут превратиться в желчные камни.
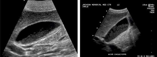
Осадок в желчном пузыре может иметь различные формы, и его тип можно определить с помощью ультразвукового исследования. Сладж-синдром приводит к следующим изменениям в желчи:
- Мелкие, напоминающие песок, плотные частицы желчи.
- Расслоение желчи.
- Образование сгустков у стенок желчного пузыря, которые могут перемещаться при изменении положения тела пациента. Это состояние иногда можно ошибочно принять за опухоль на начальном этапе обследования.
- Вся желчь становится более густой, напоминая замазку.
Врачи подчеркивают, что билиарный сладж представляет собой комбинацию желчи, клеточных элементов и других веществ, которые могут накапливаться в желчном пузыре. Это состояние часто возникает при нарушениях оттока желчи и может быть связано с различными заболеваниями, такими как холецистит или желчнокаменная болезнь. Специалисты отмечают, что наличие билиарного сладжа может привести к воспалительным процессам и образованию камней, что требует тщательного наблюдения и, в некоторых случаях, лечения. Важно, чтобы пациенты обращались к врачу при появлении симптомов, таких как боль в правом подреберье или диспепсия. Своевременная диагностика и лечение помогут избежать серьезных осложнений и улучшить качество жизни.
Билиарный сладж представляет собой осадок, образующийся в желчном пузыре, состоящий из желчных солей, холестерина и билирубина. Эксперты отмечают, что этот феномен может возникать в результате различных факторов, включая нарушения в работе печени, изменения в составе желчи и застой желчи. Билиарный сладж часто ассоциируется с риском развития желчнокаменной болезни и воспалительных процессов в желчном пузыре. Важно отметить, что наличие сладжа может не проявляться клинически, однако в некоторых случаях приводит к болям в правом подреберье и другим симптомам. Врачи рекомендуют регулярные обследования для выявления и мониторинга этого состояния, особенно у пациентов с предрасположенностью к заболеваниям желчевыводящих путей. Правильное питание и активный образ жизни могут помочь в профилактике образования сладжа.

Как понять, когда идти к врачу
Иногда билиарный сладж сопровождают желчные колики. Если хлопья осадка образуют собой пробку, закупоривающую желчевыводящие протоки, то желчный пузырь начнёт интенсивно сокращаться, что вызовет у больного острую боль.
Существует 20% вероятность, что заболевание не проявит себя до возникновения серьёзных осложнений. В остальных случаях могут наблюдаться следующие симптомы:
- тошнота и рвота после еды (в рвотных массах могут быть вкрапления желчи);
- нарушения стула (диарея и запоры, а также их попеременное проявление);
- нарушение аппетита;
- чувство жжения в желудке (изжога);
- тянущие или схваткообразные боли справа под ребром.
Если вы обнаружили у себя эти симптомы, значит, вам требуется лечение – обратитесь к врачу. Проблемами с желудочно-кишечным трактом занимается врач-гастроэнтеролог. Не стоит затягивать, ведь билиарный сладж приводит к таким осложнениям, как:
- панкреатит (воспаление поджелудочной железы);
- холецистит (воспаление желчного пузыря);
- холангит (воспаление желчных путей);
- желчнокаменная болезнь (которая в запущенных стадиях может даже привести к разрыву желчного пузыря).
| Аспект | Описание | Значение для пациента |
|---|---|---|
| Определение | Взвесь микроскопических частиц (кристаллов холестерина, солей кальция, белков) в желчи, которая не является камнями, но может быть их предшественником. | Понимание того, что это не “камни”, но потенциальная проблема, требующая внимания. |
| Причины возникновения | Застой желчи (беременность, быстрое похудение, голодание, некоторые лекарства), нарушение обмена веществ, заболевания печени, поджелудочной железы. | Помогает выявить факторы риска и, возможно, скорректировать образ жизни. |
| Симптомы | Часто бессимптомно. Могут быть: тяжесть в правом подреберье, тошнота, горечь во рту, дискомфорт после еды, боли, напоминающие желчную колику. | Позволяет пациенту распознать возможные проявления и обратиться к врачу. |
| Диагностика | УЗИ органов брюшной полости (наиболее информативный метод), реже – МРТ, КТ. | Показывает, как будет подтвержден диагноз. |
| Лечение | Диета (дробное питание, ограничение жирного), препараты урсодезоксихолевой кислоты (УДХК) для растворения сладжа и улучшения оттока желчи, спазмолитики. | Информирует о возможных методах лечения и их целях. |
| Прогноз | При своевременном лечении благоприятный. Может рецидивировать. Без лечения – риск образования камней, холецистита, панкреатита. | Подчеркивает важность соблюдения рекомендаций и регулярного наблюдения. |
| Профилактика | Регулярное питание, достаточный питьевой режим, умеренная физическая активность, контроль веса, избегание длительных голоданий. | Дает практические советы по предотвращению возникновения или рецидива сладжа. |
Интересные факты
Вот несколько интересных фактов о билиарном сладже в желчном пузыре:
-
Состав и образование: Билиарный сладж представляет собой смесь желчи, клеточных элементов, холестерина и других веществ, которые могут оседать в желчном пузыре. Он образуется, когда желчь становится более вязкой и концентрированной, что может происходить при различных состояниях, таких как быстрое снижение веса, беременность или некоторые заболевания печени.
-
Симптомы и диагностика: Билиарный сладж может не вызывать никаких симптомов, но в некоторых случаях он может приводить к болям в правом подреберье, тошноте и другим диспепсическим расстройствам. Для его диагностики часто используется ультразвуковое исследование, которое позволяет визуализировать наличие сладжа в желчном пузыре.
-
Риск осложнений: Хотя билиарный сладж сам по себе не всегда является опасным состоянием, он может предшествовать образованию желчных камней и способствовать развитию холецистита (воспаления желчного пузыря). Поэтому важно следить за состоянием желчного пузыря и при необходимости проводить лечение, чтобы избежать серьезных осложнений.

Причины возникновения
Сладж-синдром чаще всего проявляется как ответ организма на неправильное питание или несоответствия в диете, особенно при нехватке жиров, что может привести к нарушению оттока желчи. Риск его возникновения увеличивается при быстрой потере веса и низкой физической активности, так как это снижает тонус мышечной ткани желчного пузыря.
К факторам, способствующим развитию сладж-синдрома, относятся:
- Приём медикаментов, особенно антибиотиков и препаратов с высоким содержанием кальция.
- Хирургические операции на желудке.
- Внутрипечёночный холестаз (застой желчи внутри печени), дискинезия желчевыводящих путей, цирроз печени, вызванный чрезмерным употреблением алкоголя или гепатитом.
- Воспалительные процессы в поджелудочной железе и желчном пузыре, а также воспаление печени.
- Сахарный диабет – состояние, при котором организм недостаточно вырабатывает инсулин, необходимый для переработки глюкозы.
- Длительное введение питательных веществ через капельницу (например, при остром почечном недостаточности, ожогах или коме).
- Заболевания крови, такие как серповидноклеточная анемия, при которой гемоглобин принимает серповидную форму.
Кроме того, сладж-синдром может возникнуть после трансплантации органов, при нарушении обмена холестерина или во время беременности, когда давление плода на органы пищеварения может привести к застою желчи. В такие периоды особенно важно следить за сбалансированным питанием и регулярно заниматься физической активностью.
Нарушение обмена холестерина может привести к отложению свободного холестерина на стенках желчного пузыря, что вызывает заболевание, известное как холестероз.
Сладж-синдром чаще всего наблюдается у следующих групп населения:
- женщин;
- людей старше 55 лет;
- лиц с генетической предрасположенностью;
- страдающих ожирением.
Билиарный сладж — это термин, который вызывает много обсуждений среди людей, сталкивающихся с проблемами желчного пузыря. Многие описывают его как своего рода “грязь” в желчи, состоящую из микроскопических кристаллов холестерина, билирубина и других компонентов. Некоторые пациенты сообщают о болях в правом подреберье и расстройствах пищеварения, что заставляет их задуматься о состоянии своего здоровья. Врачи предупреждают, что билиарный сладж может быть предвестником более серьезных заболеваний, таких как желчнокаменная болезнь. Люди делятся своими историями о том, как изменение диеты и образа жизни помогло им справиться с этой проблемой. Важно помнить, что регулярные медицинские осмотры и консультации с врачом могут помочь избежать осложнений и поддерживать здоровье желчного пузыря.
Синдром у детей
Такое явление, как билиарный сладж у ребёнка, обусловлено физиологической желтухой, свойственной многим малышам от рождения. Происходит это потому, что при желтухе повышается количество билирубина в желчи, что в дальнейшем и образует неоднородные хлопья. Несвоевременное кормление ребёнка, искусственная пища и многое другое также повышает риск, что у новорожденного обнаружится взвесь в желчном пузыре.
У ребёнка подросткового возраста билиарный сладж часто возникает на фоне нервного напряжения в школе, а также неправильного питания – при повышенном употреблении чипсов или сухариков (с повышенным содержанием жиров). Для детей этого возраста важно поступление в организм полного набора необходимых микроэлементов, обеспечивающих желчегонное действие. Лучше вовремя приучить ребёнка к здоровому образу жизни, чем потом обращаться к гастроэнтерологу и месяцы лечить сформировавшийся сладж-синдром.
Если вы заметили, что у ребёнка возникают периодические приступы тошноты или же он держится за правое подреберье – ведите его к врачу и не ждите, пока симптомы пройдут сами собой. Для ребёнка особенно опасно затягивать лечение, так как молодой организм более подвержен возникновению осложнений, который вызывает сладж-синдром.
Диагностические методы
При возникновении болезненных ощущений как у взрослых, так и у детей, для диагностики заболевания в первую очередь назначают ультразвуковое исследование. УЗИ желчного пузыря позволяет выявить наличие осадка и определить его форму. В дополнение могут использоваться магнитно-резонансная томография и забор желчи с помощью дуоденального зондирования.
После выявления синдрома необходимо выяснить причины его появления, для чего проводятся лабораторные исследования, включая общие анализы мочи и крови. Биохимический анализ крови также помогает определить, имеются ли изменения в печеночных ферментах.
Кроме того, гастроэнтеролог проведет детальный опрос пациента для сбора полного анамнеза заболевания. Это поможет точно установить, какие факторы способствовали возникновению негативных симптомов. Только после этого будет назначено соответствующее комплексное лечение.
Лечение
Назначаемое лечение напрямую зависит от тяжести заболевания. Так, больным с минимальным количеством взвеси при отсутствии системных нарушений достаточно лишь скорректировать свою диету. В остальных случаях требуется применение медикаментозной терапии.
Официальная медицина предлагает следующее лечение:
- Назначаются препараты, в составе которых есть урсодезоксихолевая кислота. При их приёме также улучшается работа печени, так как они выводят вредные для организма вещества (в том числе очищают содержимое желчного пузыря).
- Применяются желчегонные лекарства, чтобы предотвратить застой желчи.
- Применяется системная терапия, направленная на искоренение эндокринных нарушений, ликвидацию прочих заболеваний желудочно-кишечного тракта.
- Если имеют место желчные колики, применяются противовоспалительные средства.
- Отсутствие позитивной динамики может быть поводом к хирургическому вмешательству – холецистэктомии (удалению желчного пузыря).
На лёгких стадиях болезни можно произвести лечение народными средствами:
-
Сок из редьки посевной. Его можно смешать с мёдом, чтобы сбить горечь.
- Колоб (жмых). Во время еды необходимо пить по 2 ложки. Очищает организм.
- Народные средства, сделанные из птичьей желчи. Правильное её применение растворяет хлопья и разжижает замазковую желчь в желчном пузыре.
Лечение народными средствами должно быть вспомогательным и осторожным. Ни в коем случае не используйте нетрадиционную медицину в качестве альтернативы назначениям гастроэнтеролога! Помните, что запущенный сладж-синдром приводит к тяжелейшим последствиям, берегите своё здоровье.
Диетотерапия
Пациентам с сладж-синдромом следует полностью исключить из своего рациона продукты с высоким содержанием жиров, такие как майонез, соусы, мучные изделия и яйца. Также под запретом находятся жареные блюда, сосиски, кофе, маринованные огурцы, сало, кислые продукты (например, клюква и цитрусовые), алкоголь и супы, приготовленные на жирных мясных бульонах.
Основой диетотерапии является ограничение жиров в рационе. Такой подход позволяет избежать поступления холестерина, который способствует образованию желчной взвеси, что, в свою очередь, способствует улучшению общего состояния и выздоровлению. Обратите внимание на свое питание, и билиарный сладж не станет для вас проблемой!
Профилактика билиарного сладжа
Профилактика билиарного сладжа включает в себя несколько ключевых аспектов, направленных на поддержание здоровья желчного пузыря и предотвращение образования этого патологического состояния. Билиарный сладж представляет собой смесь желчи, состоящую из кристаллов холестерина, билирубина и других компонентов, которые могут образовываться в желчном пузыре при различных условиях. Чтобы избежать его появления, важно следовать ряду рекомендаций.
1. Правильное питание: Одним из основных факторов, способствующих образованию билиарного сладжа, является неправильное питание. Рекомендуется придерживаться сбалансированной диеты, богатой клетчаткой, овощами, фруктами и цельнозерновыми продуктами. Ограничение потребления насыщенных жиров, трансжиров и простых углеводов также играет важную роль. Избегайте чрезмерного употребления жареной и острой пищи, а также продуктов с высоким содержанием холестерина.
2. Регулярная физическая активность: Физическая активность способствует нормализации обмена веществ и улучшению работы желчного пузыря. Регулярные упражнения помогают предотвратить застой желчи, что, в свою очередь, снижает риск образования сладжа. Рекомендуется заниматься физической активностью не менее 150 минут в неделю, включая кардионагрузки и силовые тренировки.
3. Поддержание нормального веса: Избыточный вес и ожирение являются факторами риска для развития билиарного сладжа. Снижение веса при избыточной массе тела может помочь улучшить состояние желчного пузыря и снизить вероятность образования сладжа. Важно подходить к снижению веса разумно, избегая резких диет и голодания, которые могут привести к ухудшению состояния желчи.
4. Регулярные медицинские осмотры: Профилактика билиарного сладжа также включает в себя регулярные медицинские осмотры и ультразвуковое исследование желчного пузыря, особенно для людей с предрасположенностью к заболеваниям желчевыводящих путей. Это позволит своевременно выявить изменения и принять необходимые меры.
5. Устранение факторов риска: Если у вас есть предрасположенность к заболеваниям желчевыводящих путей, такие как наличие камней в желчном пузыре или хронические заболевания печени, важно следить за состоянием здоровья и соблюдать рекомендации врача. Это может включать в себя прием медикаментов, изменение образа жизни и диеты.
Соблюдение этих рекомендаций поможет снизить риск образования билиарного сладжа и поддерживать здоровье желчного пузыря. Важно помнить, что профилактика всегда проще и эффективнее, чем лечение уже возникших заболеваний.
Вопрос-ответ
Чем опасен сладж в желчном пузыре?
При отсутствии лечения и контроля состояния могут возникнуть более серьезные проблемы, такие как желчнокаменная болезнь, воспаление желчного пузыря, непроходимость желчных протоков или инфекции желчевыводящей системы.
Как лечить билиарный сладж?
Единственный препарат с научно подтвержденной эффективностью — урсодезоксихолевая кислота (УДХК).
Что нельзя при билиарном сладже?
Следует избегать жареной, жирной и копченой пищи. Препараты при билиарном сладже врач подбирает индивидуально. Используются такие химические группы: урсодезоксихолевая кислота и ее производные, способствующие растворению кристаллов, медикаменты для улучшения выделения желчи (холеретики, холекинетики).
Что такое сладж простыми словами?
Билиарный сладж (или желчный сладж) – это состояние, при котором в желчном пузыре образуется плотный сгусток, состоящий из желчи и других компонентов. Желча – это жидкость, которую вырабатывает печень и хранит желчный пузырь.
Советы
СОВЕТ №1
Регулярно проходите медицинские обследования, особенно если у вас есть предрасположенность к заболеваниям желчевыводящих путей. Это поможет выявить билиарный сладж на ранних стадиях и предотвратить возможные осложнения.
СОВЕТ №2
Обратите внимание на свою диету. Употребление продуктов, богатых клетчаткой, таких как фрукты, овощи и цельнозерновые продукты, может помочь улучшить работу желчного пузыря и снизить риск образования билиарного сладжа.
СОВЕТ №3
Поддерживайте активный образ жизни. Регулярные физические нагрузки способствуют нормализации обмена веществ и улучшению работы желчевыводящих путей, что может помочь предотвратить накопление билиарного сладжа.
СОВЕТ №4
Избегайте резких диет и голодания. Быстрая потеря веса может привести к образованию билиарного сладжа, поэтому старайтесь снижать вес постепенно и под контролем специалиста.





