Гипоплазия артерий головного мозга — серьезное заболевание, связанное с недостаточным развитием сосудов, что может вызвать неврологические нарушения и осложнения. В статье рассмотрим виды гипоплазии, ее причины и методы лечения. Понимание этого состояния важно для медицинских специалистов и пациентов, так как своевременная диагностика и терапия могут улучшить качество жизни и предотвратить серьезные последствия.
Строение позвоночной артерии
Позвоночные артерии, как правая, так и левая, проходят через поперечные отростки шейных позвонков и проникают в черепную коробку через затылочное отверстие. В этом месте они соединяются, образуя базилярный канал, который отвечает за транспортировку от 15 до 30% общего объема крови. Далее, под полушариями мозга, артерии вновь разветвляются, формируя Виллизиев круг. От основных артерий головного мозга отходят многочисленные ветви, которые обеспечивают кровоснабжение всех участков мозга. Кровь от головы отводят яремные вены, расположенные на шее.
У вас грибок? Даже самый стойкий грибок исчезнет за ночь!
Необходимо нанести на пораженный участок обычный.
Гипоплазия артерий головного мозга — это состояние, характеризующееся недоразвитием сосудов, что может привести к серьезным последствиям для здоровья. Врачи отмечают, что данное заболевание может быть как врожденным, так и развиваться под воздействием различных факторов, таких как генетические аномалии, инфекции, перенесенные во время беременности, или влияние токсических веществ. Существует несколько типов гипоплазии, включая гипоплазию позвоночных и каротидных артерий, каждая из которых требует индивидуального подхода к диагностике и лечению.
Специалисты акцентируют внимание на важности раннего выявления данной проблемы, так как это позволяет предотвратить развитие осложнений, таких как инсульт или хроническая недостаточность кровообращения. Лечение может включать медикаментозную терапию, направленную на улучшение мозгового кровообращения, а в некоторых случаях может потребоваться хирургическое вмешательство. Врачи рекомендуют регулярные обследования и мониторинг состояния пациентов для своевременной корректировки терапии и минимизации рисков.
Гипоплазия артерий головного мозга представляет собой недоразвитие сосудов, что может приводить к различным неврологическим нарушениям. Эксперты отмечают, что данное состояние может быть врожденным или развиваться в результате внешних факторов, таких как инфекции, токсические воздействия или генетические мутации. Различают несколько разновидностей гипоплазии, включая одностороннюю и двустороннюю, каждая из которых имеет свои особенности и последствия для здоровья пациента. Лечение гипоплазии артерий головного мозга требует индивидуального подхода и может включать медикаментозную терапию, физиотерапию и в некоторых случаях хирургическое вмешательство. Важно, чтобы пациенты проходили регулярные обследования и находились под наблюдением специалистов, что позволит своевременно выявлять и корректировать возникающие проблемы.

Как проявляется болезнь
| Разновидность гипоплазии | Причины | Лечение |
|---|---|---|
| Гипоплазия позвоночной артерии | Врожденные аномалии развития, генетическая предрасположенность, внутриутробные инфекции, воздействие тератогенных факторов во время беременности | Консервативное (медикаментозное для улучшения кровотока, физиотерапия), хирургическое (реконструктивные операции, стентирование) при выраженной симптоматике |
| Гипоплазия внутренней сонной артерии | Генетические мутации, нарушения эмбрионального развития, внутриутробные травмы, воздействие токсинов | Консервативное (антиагреганты, препараты для улучшения мозгового кровообращения), хирургическое (шунтирование, ангиопластика) при значимом стенозе и ишемии |
| Гипоплазия базилярной артерии | Врожденные пороки развития, хромосомные аномалии, воздействие неблагоприятных факторов на плод | Консервативное (ноотропы, вазоактивные препараты, антикоагулянты), симптоматическое (обезболивающие, противорвотные), при необходимости – хирургическое вмешательство |
| Гипоплазия артерий Виллизиева круга | Генетическая предрасположенность, аномалии развития сосудистой системы, внутриутробные инфекции, гипоксия плода | Консервативное (препараты, улучшающие мозговой кровоток, антиагреганты), симптоматическое, при выраженных нарушениях кровообращения – хирургическое (реваскуляризация) |
| Гипоплазия корковых артерий | Нарушения эмбрионального развития, генетические факторы, внутриутробные инфекции, гипоксия плода | Консервативное (ноотропы, вазоактивные препараты, антиоксиданты), симптоматическое (противосудорожные, седативные), реабилитационные мероприятия |
Интересные факты
Вот несколько интересных фактов о гипоплазии артерий головного мозга:
-
Разнообразие проявлений: Гипоплазия артерий головного мозга может проявляться в различных формах и затрагивать разные артерии, такие как позвоночные или сонные артерии. Это может привести к разнообразным неврологическим симптомам, включая головные боли, нарушения координации и даже инсульты, в зависимости от степени недостаточности кровоснабжения.
-
Генетические факторы: Одной из причин гипоплазии артерий может быть наследственность. Некоторые генетические синдромы, такие как синдром Мэри-Шейфера или синдром Клиппеля-Треноне, могут быть связаны с развитием гипоплазии сосудов, что подчеркивает важность генетического консультирования для пациентов с этой патологией.
-
Современные методы лечения: Лечение гипоплазии артерий головного мозга может включать как медикаментозную терапию для управления симптомами, так и хирургические вмешательства, такие как ангиопластика или стентирование. В последние годы также активно исследуются методы нейропротекции и регенеративной медицины, которые могут помочь улучшить кровоснабжение и восстановление функций мозга.

Мозжечок
Сосуды, расположенные в основании мозга, формируют замкнутый контур. Если какой-либо участок имеет сужение или неправильное расположение, Виллизиев круг перестает быть замкнутым, что может привести к возникновению различных опасных заболеваний. Гипоплазия позвоночных артерий (ПА) негативно влияет на кровоснабжение мозжечка, что проявляется следующими симптомами:
- головокружение;
- проблемы с координацией движений;
- ухудшение почерка;
- нарушения мелкой моторики (например, при пришивании пуговиц, вязании или лепке).
Гипоплазия артерий головного мозга представляет собой состояние, при котором наблюдается недостаточное развитие артерий, что может вызвать разнообразные неврологические расстройства. Многие пациенты и их родственники отмечают, что это заболевание зачастую остается незамеченным до появления серьезных симптомов, таких как головные боли, головокружение или проблемы с координацией. Существует несколько типов гипоплазии, в зависимости от того, какие именно артерии поражены. Причины могут варьироваться от генетических предрасположений до влияния внешних факторов во время беременности. Лечение обычно включает медикаментозную терапию для улучшения мозгового кровообращения, а в некоторых случаях может потребоваться хирургическое вмешательство. Важно, чтобы пациенты находились под наблюдением врачей, так как своевременная диагностика и адекватное лечение могут значительно повысить качество жизни.
Ствол головного мозга
В стволе головного мозга находится отдел, отвечающий за терморегуляцию, движение мышц лица, моргание, мимику, глотание пищи. Гипоплазия мозговой артерии, мешающая нормальному кровоснабжению ствола, вызывает постоянный или частый звон или жужжание в ушах, частые обморочные состояния и головокружение, приступы головной боли, замедляется речь, мимика вялая, глотание затруднено.

Затылочные доли
Заболевания сосудов головного мозга, которые обеспечивают кровоснабжение затылочных долей, могут проявляться в виде значительного ухудшения зрения, появления пелены перед глазами и галлюцинаций.
Общие проявления
Гипоплазия мозга имеет общую симптоматику: онемение руки, скачки артериального давления, слабость рук и ног. Мигрень, имеющая неясную этимологию, внезапные панические атаки, которые не может объяснить психотерапевт, ─ за этими симптомами часто скрывается гипоплазия. Вот почему при вышеописанных проявлениях стоит немедленно обратиться к терапевту.
Причины развития
Гипоплазия артерии головного мозга может быть как врождённой, так и, реже, приобретённой. В первом случае узкий просвет артерии возникает из-за воздействия токсинов на женщину во время беременности. Факторы, такие как курение, употребление алкоголя, инфекционные болезни (например, краснуха и грипп), прием медикаментов, токсические отравления, а также стрессовые ситуации и депрессии, могут привести к неправильному формированию позвоночных сосудов. Признаки гипоплазии правой позвоночной артерии часто наблюдаются у новорождённых, если во время беременности пуповина обвивается вокруг шеи, даже если эта проблема была своевременно решена. У эмбрионов и новорождённых выявить данное заболевание невозможно; оно проявляется в зрелом возрасте, чаще всего на фоне других сердечно-сосудистых заболеваний.
Приобретённая форма сосудистого нарушения встречается значительно реже и возникает, как правило, в результате механических травм позвонков или остеохондроза шейного отдела позвоночника. Сужение просвета сонной артерии может наблюдаться после травм шеи, связанных с повреждением шейных позвонков, либо при длительном использовании специальных фиксаторов.
Гипоплазия левой позвоночной артерии
Гипоплазия правой позвоночной артерии диагностируется чаще, чем аналогичная патология левосторонней сосудистой магистрали. Гипоплазия левой позвоночной артерии диагностируется у каждого 10 пациента, обратившегося с жалобами к врачу. Патология заключается в недоразвитии или сужении просвета до 1–1,5 мм (в норме она имеет диаметр 2–4,5 мм). Спецификой левосторонней гипоплазии является застой крови в области шеи, что вызывает сильнейшие боли шейного отдела при резком повышении давления.
Правый позвоночный сосуд компенсирует плохой кровоток, и проблема, становится очевидной только спустя годы. Диагностику затрудняют и довольно распространённые симптомы, которыми характеризуется гипоплазия левой позвоночной артерии. Вялость, нарушение координации движения, скачки давления, приступы цефалгии, тошнота схожи с проявлением других заболеваний, например, вегетососудистой дистонии (ВСД), атеросклероза или опухоли головного мозга.
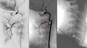
Стрелочкой указана пораженная артерия
Гипоплазия артерии головного мозга не представляет угрозу жизни, но значительно ухудшает качество жизни. После постановки диагноза большинству пациентов назначаются сосудорасширяющие препараты, которые увеличивают просвет артерии, нормализуя кровоток. Но длительное применение вазодилататоров (сосудорасширяющих средств) приводит к нежелательным побочным действиям (тахикардия, потливость, заложенность носа), поэтому лечение проводится курсами. Если гипоплазия позвоночной артерии слева грозит инсультом или инфарктом, больному назначают ангиопластику ─ внедрение на место, где сужается просвет, металлической сетчатой трубки, которая поддерживает стенки сосуда, обеспечивая полноценный кровоток.
Гипоплазия правой позвоночной артерии
Признаки гипоплазии правой позвоночной артерии могут легко быть приняты за обычное недомогание или усталость, так как они схожи с симптомами эмоциональных расстройств. Левый позвоночный сосуд имеет диаметр в 1,5–2 раза больше, чем правый, поэтому даже при сужении его просвета аномалия не так заметна. В связи с этим гипоплазия правой позвоночной артерии встречается значительно чаще, чем аналогичные проблемы с левым сосудом. Основные проявления данной патологии связаны с нарушением эмоционального состояния, так как страдает кровоснабжение затылочной области мозга, отвечающей за эмоции и зрительное восприятие. Симптомы недостаточного кровоснабжения затылочных долей могут быть ошибочно приняты за сезонную депрессию: бессонница сменяется непреодолимой сонливостью, возникают метеозависимость, апатия и общая вялость.
Гипоплазия правой позвоночной артерии является врождённым заболеванием и редко возникает в результате приобретённых факторов. В некоторых случаях она не оказывает значительного влияния на качество жизни, однако иногда может стать причиной серьёзных проблем со здоровьем. Часто симптомы гипоплазии правой позвоночной артерии напоминают проявления опухоли головного мозга:
- у пациента могут возникать обмороки;
- наблюдаются трудности с координацией движений;
- возможна кратковременная неустойчивость при вставании с кровати.
Сосудорасширяющие препараты, которые применяются при левосторонней артериальной гипоплазии, не подходят для лечения правосторонней патологии. Вместо них врачи назначают препараты, разжижающие кровь. Гипоплазия правой позвоночной артерии представляет опасность, так как тромб, образовавшийся в узком просвете сосуда, может блокировать кровоток и привести к инсульту. Препараты, такие как Кардиомагнил, Кавитон, Тиклопидин и Варфарин, помогают предотвратить тромбообразование и способствуют улучшению эластичности сосудов.
Увеличенная часть иллюстрации демонстрирует место сжатия артерии.
Когда поражена вертебрально — базилярная артерия
Правый и левый позвоночные сосуды, попадая внутрь черепной коробки, соединяются в единую артерию. Основная причина сужение её просвета ─ гипоплазия вертербальной артерии. Она ведёт к развитию серьёзного заболевания ─ вертебрально — базилярной недостаточности. Патология имеет серьёзные последствия и грозит ишемическим инсультом. Тромб, полностью перекрывающий и без того узкий просвет, приводит к остановке кровотока и инсульту.
Гипоплазия вертебральной артерии обычно развивается на фоне шейного остеохондроза. Есть даже специальный термин «синдром пизанской башни»: он случается у туристов, которые осматривают достопримечательности, запрокинув голову назад. Происходит сдавливание задней соединительной артерии, и человек испытывает симптомы:
- головокружение, сопровождающееся тошнотой;
- онемение рук и ног;
- двоится в глазах;
- нарушение координации.
Лечение сужения вертебральных сосудов проводится в неврологическом отделении, потому что заболевание в запущенных случаях приводит к летальному исходу.
Болезнь правого поперечного синуса
Правый поперечный синус представляет собой венозный коллектор, который соединяет внутренние и внешние сосуды головного мозга. Через него происходит обратное всасывание спинномозговой жидкости из полостей мозговых оболочек. Из поперечного синуса кровь поступает в яремные вены, которые выводят кровь из внутричерепного пространства. Гипоплазия правого поперечного синуса приводит к сужению просвета вены, что может стать причиной геморрагического инфаркта мозга.
Гипоплазия левого поперечного синуса
Снижение размеров левого поперечного синуса может вызвать проблемы со зрением. Этот синус расположен симметрично правому и находится в поперечной борозде черепа. При нарушении венозного оттока может возникнуть отёк диска зрительного нерва. Пациенты часто жалуются на головные боли, головокружение и общую усталость, однако резкое ухудшение остроты зрения является ключевым признаком гипоплазии левого поперечного синуса.
Под угрозой интракраниальный отдел
Интракраниальные сосуды расположены в полости черепа и костных каналов. К сосудам и артериям интракраниального сегмента относят все мозговые артерии, обе позвоночные артерии, образующие Виллизиев круг, а также основной сосуд, именуемый как прямой синус. Гипоплазия интракраниального отдела правой позвоночной артерии проявляется в виде сильных болей и похрустывания при повороте шеи, болях в глазах, что нередко схоже с симптомами шейного остеохондроза. Во время болезни происходит сдавливание сосудов шеи, у больного наблюдается недостаток питания головного мозга. Помимо курса сосудистой терапии, пациенту назначают массаж, посещение курсов лечебной гимнастики. Спорт имеет большое значение в лечении и профилактике данной патологии.
Когда болеет ребёнок
У детей иногда выявляется гипоплазия одной из почек, правой или левой. Это врождённое заболевание, которое не может быть приобретено. Оно проявляется в уменьшении размеров органа из-за недостатка нефронов — клеток, составляющих почку. Хотя орган продолжает функционировать, его эффективность снижается. Вторая, здоровая почка берет на себя большую часть нагрузки, что не отражается на общем состоянии здоровья. Гипоплазия правой почки чаще наблюдается у девочек, чем у мальчиков. Если заболевание обнаружено, но не влияет на качество жизни, то лечение не требуется. Гораздо более серьёзной является двусторонняя почечная гипоплазия, которая может привести к инвалидности.
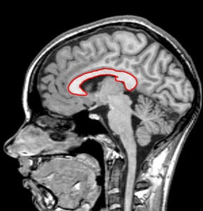
Мозолистое тело головного мозга
Гипоплазия мозолистого тела головного мозга у ребенка является опаснейшим заболеванием, заключающееся в отсутствии мозолистого тела ─ отдела, в котором происходит скопления нервных волокон, осуществляющих нейронное взаимодействие между правым и левым полушариями головного мозга. Это заболевание не является приобретённым, а только врождённым. Оно диагностируется как во внутриутробном периоде развития, так и в течение 2 лет с момента рождения. В 70–75% случаях недоразвитость мозолистого тела у ребёнка приводит к инвалидности, шизофрении и судорожным припадкам. Причины заболевания до сих пор не выяснены, но к неблагоприятным факторам относят интоксикацию будущей мамы во время беременности.
Последствия
Гипоплазия артерий головного мозга может привести к серьезным последствиям, включая возможность летального исхода. К числу других связанных симптомов данной патологии относятся:
- повышенный риск возникновения аневризмы и инсульта у взрослых;
- развитие гипертонии;
- колебания артериального давления;
- ухудшение общего состояния здоровья;
- снижение качества жизни пациента.
Профилактика гипоплазии
Так как гипоплазия артерии головного мозга носит врождённый характер, профилактика проводится в период, когда женщина ожидает малыша. Ей необходимо до наступления беременности вылечить инфекции, избегать отравлений, переехать из экологически неблагополучного региона, остерегаться радиационного и ионизированного излучения, избегать падений и травм живота в период беременности, не принимать без консультации врача лекарственные препараты.
Рекомендуется также профилактическое лечение народными средствами, которые способны повысить эластичность сосудов. Ежедневно нужно употреблять продукты, препятствующие развитию атеросклероза: оливковое масло, лимон, травяные сборы из мяты, мелиссы и боярышника. Периодически выезжайте на природу, проводите чистку организма от токсинов, следуйте низкокалорийной диете.
Методы диагностики гипоплазии артерий головного мозга
Диагностика гипоплазии артерий головного мозга представляет собой сложный и многогранный процесс, который требует применения различных методов визуализации и оценки состояния сосудистой системы. Основными методами диагностики являются:
- Магнитно-резонансная томография (МРТ): Этот метод позволяет получить детализированные изображения головного мозга и его сосудов. МРТ может выявить изменения в структуре артерий, а также оценить наличие сопутствующих аномалий. Использование контрастных веществ в некоторых случаях помогает лучше визуализировать сосудистую систему.
- Компьютерная томография (КТ): КТ-ангиография является высокоинформативным методом, который позволяет визуализировать артерии головного мозга. Этот метод особенно полезен для выявления гипоплазии, так как он позволяет оценить просвет сосудов и их анатомические особенности.
- Ультразвуковое исследование (УЗИ): Допплеровское УЗИ сосудов шеи и головного мозга позволяет оценить кровоток в артериях и выявить возможные нарушения. Этот метод является неинвазивным и может быть использован для мониторинга состояния пациента.
- Ангиография: Инвазивный метод, который включает введение контрастного вещества в артерии для получения детализированных изображений. Ангиография позволяет не только диагностировать гипоплазию, но и оценить степень ее выраженности и влияние на кровоснабжение мозга.
- Электроэнцефалография (ЭЭГ): Хотя ЭЭГ не является прямым методом диагностики гипоплазии артерий, она может помочь в оценке функционального состояния мозга и выявлении возможных нарушений, связанных с недостаточным кровоснабжением.
Важно отметить, что выбор метода диагностики зависит от клинической ситуации, состояния пациента и наличия необходимых технологий. Комплексный подход к диагностике, включающий несколько методов, позволяет получить наиболее полную картину состояния сосудистой системы и принять обоснованные решения о дальнейшем лечении.
Кроме того, для более точной диагностики может потребоваться консультация специалистов, таких как неврологи, нейрохирурги и ангиохирурги, которые могут оценить результаты исследований и предложить оптимальные варианты лечения.
Вопрос-ответ
Каковы причины гипоплазии головного мозга?
Причины гипоплазии головного мозга, например, синдром Дауна, синдром Шершевского-Тернера и другие генетические аномалии, могут быть связаны с неправильным развитием головного мозга. Воздействие некоторых вредных факторов окружающей среды может повлиять на развитие головного мозга плода.
Можно ли вылечить гипоплазию артерии?
Лечение гипоплазии позвоночной артерии. Полностью избавить от него пациента невозможно, так как сужение просвета сосуда является врожденной особенностью. Однако симптоматическое лечение помогает значительно улучшить общее самочувствие. Существует консервативный и хирургический способ решения проблемы.
Почему появляется гипоплазия?
Причиной ее возникновения является инфекция, развивающаяся в зачатке зуба, или механическая травма фолликула зуба. Как правило, МГЭ возникает на постоянных зубах. На молочных наблюдается редко, после перелома челюсти или остеомиелита.
Какие препараты принимают при синдроме позвоночной артерии?
Противовоспалительные и противоотечные средства («Мелоксикам», «Целекоксиб», «Диосмин»), препараты для улучшения тока крови через позвоночную артерию («Ницерголин», «Агапурин», «Циннаризин»), лекарства для улучшения обмена веществ в нейронах («Глиатилин», «Мексидол») и в органах, тканях («Триметазидин», «Милдронат»).
Советы
СОВЕТ №1
Обратитесь к врачу при первых симптомах: Если вы заметили головные боли, головокружение или другие неврологические проявления, не откладывайте визит к специалисту. Ранняя диагностика гипоплазии артерий головного мозга может существенно повысить эффективность лечения.
СОВЕТ №2
Изучите свои генетические риски: Гипоплазия артерий может иметь наследственный характер. Если в вашей семье были случаи подобных заболеваний, обсудите это с врачом и рассмотрите возможность генетического консультирования.
СОВЕТ №3
Следите за образом жизни: Здоровое питание, регулярные физические нагрузки и отказ от вредных привычек могут помочь улучшить общее состояние сосудов и снизить риск осложнений, связанных с гипоплазией артерий головного мозга.
СОВЕТ №4
Не пренебрегайте реабилитацией: Если вам назначено лечение или операция, следуйте рекомендациям врача по реабилитации. Это поможет восстановить функции мозга и улучшить качество жизни.





