Поджелудочная железа важна для пищеварения и обмена веществ, и ее состояние влияет на здоровье организма. Повышенная эхогенность поджелудочной железы, обнаруженная при ультразвуковом исследовании, может свидетельствовать о воспалении, жировой дистрофии или других заболеваниях. В статье мы рассмотрим, что означает повышенная эхогенность, ее причины и влияние на здоровье. Эти аспекты помогут читателям лучше понимать диагностику и лечение заболеваний поджелудочной железы.
Повышенная эхогенность поджелудочной железы – сигнал тревоги
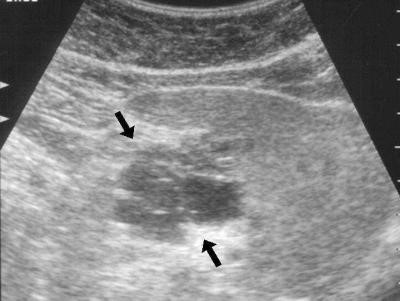
При исследовании внутренних органов одним из ключевых показателей является эхогенность. Этот параметр позволяет оценить плотность и состояние обследуемых органов. Изменения эхогенности, как в сторону повышения, так и понижения, могут свидетельствовать о серьезных нарушениях в работе организма и указывать на наличие воспалительных процессов. Например, повышенная эхогенность поджелудочной железы, выявленная при ультразвуковом исследовании, является тревожным сигналом, указывающим на возможные отклонения в ее функционировании.
Поджелудочная железа играет важную роль в обмене веществ и процессе пищеварения. Она выполняет как эндокринные, так и экзокринные функции, то есть отвечает за внешнесекреторную и внутрисекреторную деятельность. Любые изменения или деформации в ее структуре могут привести к серьезным нарушениям в организме.
Причины изменения эхогенности поджелудочной железы
Свойства ткани поджелудочной железы могут изменяться под воздействием различных патологий, таких как панкреатит, повышенное газообразование, опухолевые образования и кальцификация. Выявление диффузных изменений во время профилактических осмотров позволяет обнаружить множество опасных заболеваний на ранних стадиях. К ним относятся сахарный диабет, панкреатит, липоматоз, некротические изменения в паренхиме и опухоли.
Наиболее распространенные причины диффузных изменений
Наиболее частой причиной диффузных изменений являются различные стадии панкреатита. Изменения эхогенности поджелудочной железы, как в сторону повышения, так и понижения, могут существенно влиять на диагноз и помочь определить тип заболевания. Повышенная эхогенность при панкреатите часто связана с рубцеванием тканей и разрастанием фиброзной ткани. Также могут образовываться псевдокисты с повышенной эхогенностью, в которых нередко обнаруживаются конкременты и кальцификаты.
Эти очаговые образования часто располагаются вокруг протоков железы и являются наиболее распространенной локализацией кальциноза, который может сопровождаться обструкцией панкреатического протока. Новообразования могут привести к осложнениям, таким как кровотечения и разрывы в соседних структурах. Эти участки представляют собой гиперэхогенные включения в железе. Повышение эхогенности также может наблюдаться при фибрознокистозной дегенерации, которая может развиваться как самостоятельное заболевание или быть следствием длительного хронического панкреатита. При этой патологии наблюдается выраженная атрофия поджелудочной железы.
Повышенная эхогенность поджелудочной железы – это норма или тревожный сигнал?
Важно понимать, что при обнаружении отклонений в работе организма учитывается не только факт повышения эхогенности, но и степень этих изменений. Небольшие отклонения могут быть временными. Также стоит отметить, что повышенная эхогенность поджелудочной железы может наблюдаться в процессе старения, и в этом случае она считается нормой для пожилых людей.
Факторы, влияющие на изменения эхогенности
Эхогенность поджелудочной железы – это переменный параметр, который может значительно изменяться под воздействием различных факторов, таких как тип питания, время года, образ жизни и другие. Поэтому диагноз “повышенная эхогенность поджелудочной железы” не следует воспринимать как окончательный. Однако игнорировать выявленные отклонения также недопустимо. Необходимо провести полное обследование, а подтверждение результатов другими методами диагностики поможет выбрать правильный подход к лечению.
Диагностический алгоритм обследования
При оценке уровня эхогенности поджелудочной железы также учитывается состояние других органов, таких как желчный пузырь, почки, печень и селезенка. Это связано с тесной взаимосвязью поджелудочной железы с желчевыводящими путями. Любые нарушения в этих органах могут вызывать реактивные изменения, например, панкреатит, в поджелудочной железе.
Лечение дисфункций железы
Оптимальный подход к лечению подбирается гастроэнтерологом с учетом выявленных причин, повлиявших на изменения уровня эхогенности.
Повышенная эхогенность поджелудочной железы является важным диагностическим признаком, указывающим на различные патологии. Врачи отмечают, что такая эхогенность часто свидетельствует о наличии воспалительных процессов, таких как панкреатит, или жировой инфильтрации, что может быть связано с неправильным питанием и злоупотреблением алкоголем. Кроме того, повышенная эхогенность может указывать на наличие опухолей или кист, что требует более тщательного обследования. Специалисты подчеркивают, что для точной диагностики необходимо учитывать клиническую картину, результаты анализов и дополнительные исследования, такие как КТ или МРТ. Ранняя диагностика и своевременное лечение играют ключевую роль в предотвращении осложнений и улучшении прогноза для пациентов.
Повышенная эхогенность поджелудочной железы может свидетельствовать о различных патологиях, что вызывает обеспокоенность у специалистов. Эксперты отмечают, что такой признак часто указывает на воспалительные процессы, такие как панкреатит, или на наличие жировой дистрофии органа. В некоторых случаях это может быть связано с хроническими заболеваниями, которые требуют внимательного наблюдения и диагностики. Важно учитывать, что повышенная эхогенность не является самостоятельным диагнозом, а лишь одним из показателей, который должен быть интерпретирован в контексте клинической картины и дополнительных исследований. В связи с этим, врачи рекомендуют проводить комплексное обследование для определения точной причины изменений и выбора адекватной терапии.

Эхогенность поджелудочной железы повышена
Повышенная эхогенность поджелудочной железы – это заключение УЗИ брюшной полости. Что это означает, как лечится и стоит ли беспокоиться по этому поводу?
| Причина повышения эхогенности | Что это значит | Дополнительные симптомы/факторы |
|---|---|---|
| Воспаление (панкреатит) | Отек и инфильтрация тканей железы, замещение нормальной паренхимы фиброзной тканью. | Острая боль в животе, тошнота, рвота, лихорадка, повышение уровня амилазы/липазы в крови. |
| Фиброз (замещение нормальной ткани соединительной) | Хроническое воспаление, приводящее к образованию рубцовой ткани. | Хроническая боль, нарушение пищеварения (стеаторея), потеря веса, сахарный диабет. |
| Липоматоз (жировая инфильтрация) | Замещение нормальной ткани железы жировой тканью. | Часто бессимптомно, может быть связано с ожирением, сахарным диабетом, старением. |
| Опухоли (доброкачественные и злокачественные) | Изменение структуры ткани из-за роста новообразования. | Боль, желтуха, потеря веса, нарушение пищеварения, увеличение лимфоузлов. |
| Кисты и псевдокисты | Жидкостные образования в железе. | Боль, ощущение распирания, может быть связано с панкреатитом. |
| Возрастные изменения | Естественное замещение части паренхимы жировой тканью с возрастом. | Обычно бессимптомно, не требует лечения. |
| Нарушение кровообращения | Ишемия или некроз тканей железы. | Острая боль, шок, может быть связано с сосудистыми заболеваниями. |
| Прием некоторых лекарств | Некоторые препараты могут вызывать изменения в структуре поджелудочной железы. | Зависит от конкретного препарата, может быть обратимым после отмены. |
Интересные факты
Вот несколько интересных фактов о повышенной эхогенности поджелудочной железы:
-
Ультразвуковая диагностика: Повышенная эхогенность поджелудочной железы часто выявляется при ультразвуковом исследовании (УЗИ). Это может указывать на изменения в ткани органа, такие как воспаление, фиброз или жировая дистрофия. Важно, что эхогенность — это не диагноз, а лишь признак, требующий дальнейшего обследования.
-
Связь с заболеваниями: Повышенная эхогенность может быть связана с различными заболеваниями, такими как панкреатит, диабет или опухоли. Например, при хроническом панкреатите ткани поджелудочной железы могут уплотняться, что приводит к увеличению эхогенности.
-
Клиническое значение: Изменения эхогенности поджелудочной железы могут помочь врачам в диагностике и мониторинге заболеваний. Например, при наблюдении за пациентами с хроническим панкреатитом или диабетом, изменение эхогенности может сигнализировать о прогрессировании болезни или необходимости коррекции лечения.
Эти факты подчеркивают важность эхографии как метода диагностики и мониторинга состояния поджелудочной железы.

Что означает слово «эхогенность»?
Ультразвуковое исследование (УЗИ) основывается на эффекте Доплера. Это физическое явление можно объяснить следующим образом: датчик генерирует волны определенной частоты, которые, проходя через ткани и органы человека, отражаются от них. В результате волны возвращаются с измененной частотой, и аппарат обрабатывает эти данные, позволяя врачу увидеть на экране изображение, соответствующее внутренним органам исследуемой области.
Понятие «эхогенность» описывает способность тканей отражать ультразвуковые волны. Чем выше эхогенность, тем более плотным является орган. Органы, содержащие жидкость (например, мочевой или желчный пузырь), полые органы (кишечник, желудок), а также кисты классифицируются как эхонегативные. Поэтому для получения точной информации о состоянии этих органов УЗИ часто дополняется другими методами обследования.
В отличие от этого, печень обладает высокой эхогенностью. Этот показатель служит ориентиром для сравнения с другими неполостными органами, такими как поджелудочная железа и селезенка.
Повышенная эхогенность поджелудочной железы является признаком, который может указывать на различные изменения в её состоянии. Обычно это обнаруживается при ультразвуковом исследовании и может свидетельствовать о воспалительных процессах, жировой дистрофии или даже фиброзе. Люди, получившие подобный диагноз, часто испытывают беспокойство, так как не всегда понимают, что это означает для их здоровья. Важно подчеркнуть, что повышенная эхогенность сама по себе не является заболеванием, а лишь симптомом, который требует дальнейшего обследования. Врач может рекомендовать дополнительные анализы и исследования для уточнения диагноза и назначения соответствующего лечения. Правильный подход к терапии и соблюдение рекомендаций специалиста помогут избежать осложнений и улучшить состояние поджелудочной железы.
Что такое поджелудочная железа?
Это очень важная железа внешней секреции (и по совместительству еще эндокринный орган), при заболевании которой ни один другой орган, аппарат или лекарство не сможет заменить ее функции. Он вырабатывает огромное количество ферментов, которые участвуют в пищеварении. Как орган внутренней секреции поджелудочная отвечает за образование инсулина, глюкагона и некоторых других гормонов и гормоноподобных веществ.
Учитывая вышесказанное, заболевания поджелудочной железы нужно лечить сразу же, как только появились их первые признаки. Особенно опасен в этом плане острый панкреатит, когда вследствие воспаления участка железы идет массивный выброс ферментов, которые расщепляют и саму ткань поджелудочной, и рядом лежащие органы, а попадая в кровь, вызывают катастрофически тяжелые последствия.

Повышенная эхогенность поджелудочной железы
Такое заключение по результатам УЗИ не является окончательным диагнозом. Не стоит тратить время на поиски в интернете, как устранить повышенную эхогенность. Лучше всего обратиться к квалифицированному гастроэнтерологу, пройти дополнительные обследования и обсудить свои симптомы. Только на основе полного анализа всех признаков можно установить точный диагноз и назначить адекватное лечение. При проблемах с поджелудочной железой самолечение или его отсутствие могут представлять серьезную угрозу для жизни.
Эхогенность поджелудочной железы может быть повышена как локально, так и диффузно.
Локальное повышение указывает на наличие уплотнения в определенной области железы. Это может быть связано с опухолью, метастазами, образованием камней (которые также могут возникать в поджелудочной) или отложением кальция (обызвествлением) в местах предыдущего воспаления.
Диффузное повышение эхогенности может свидетельствовать о следующих состояниях:
- Липоматоз железы: нормальная ткань замещается жировой. При этом размеры железы не увеличиваются. Обычно это состояние не вызывает жалоб и не требует лечения.
- Панкреатит: острый или хронический. Это серьезное заболевание, требующее обязательного стационарного лечения: при остром панкреатите – в хирургическом отделении (возможно, потребуется операция), при хроническом – в терапевтическом. Панкреатит редко протекает без симптомов. Обычно это выраженная боль в животе, отдающая в спину, сопровождающаяся тошнотой, рвотой и поносом. Также могут наблюдаться слабость и снижение артериального давления. Лечение панкреатита, особенно острого, невозможно в домашних условиях – требуется постоянное внутривенное введение медикаментов.
- Опухоли поджелудочной железы. В этом случае могут возникать проблемы с пищеварением, поносы (реже – запоры), повышенное газообразование. Также наблюдаются слабость и потеря аппетита. Часто можно заметить, что человек теряет в весе.
Однако бывают ситуации, когда повышение эхогенности поджелудочной железы является временным явлением, связанным с особенностями питания или общими заболеваниями (например, простудой). В таких случаях через некоторое время рекомендуется повторное УЗИ. Исходя из вышеизложенного, можно сделать вывод, что при получении подобного результата УЗИ важно в первую очередь обратиться к врачу, а не пытаться решить проблему самостоятельно.
Повышенная эхогенность поджелудочной железы: что это значит
Эхогенность – важный показатель при исследовании внутренних органов человеческого организма. С ее помощью можно оценить плотность изучаемого объекта. Если в органе повышается либо понижается эхогенность, это повод обратиться к специалистам. Например, повышенная эхогенность поджелудочной железы – что она означает, какие действия нужно предпринимать в случае ее выявления.
Желчный пузырь, железы внутренней секреции, мочевой пузырь, разного рода кисты и пр. являются жидкостными структурами. Они однородны, и поэтому через них свободно проходят волны ультразвука, при этом их не отражая. То есть такие жидкостные структуры эхонегативны, даже если усиливается мощность ультразвука. Напротив, плотные структуры (кости, конкременты и пр.) эхопозитивны, так как не пропускают через себя ультразвук, полностью отражая его. При проведении исследования за образец эхогенности берется паренхима печени. Именно с ее показателями сравнивается эхогенность таких органов, как почки, поджелудочная железа. Среди других органов, способных при УЗИ отражать сигналы, щитовидная железа, надпочечник и др.
Если в медицинском документе при исследовании вам написали повышенная эхогенность поджелудочной железы. врач может заподозрить воспалительный процесс либо появление отека. В числе заболеваний этого органа, изменяющих эхогенность, также усиленное газообразование, кальцификация железы, опухоли различного происхождения и этиологии. Опухоль поджелудочной железы может появиться из-за изменений в клетках эндокринного, экзокринного отделов. 95 % злокачественных новообразований приходится на последнюю группу указанных клеток, тогда как из эндокринных их встречается гораздо реже.
Эхогенность поджелудочной железы в нормальном состоянии будет однородной. А вот при панкреатитах (остром, хроническом), при гипертензии портальной эхогенность паренхимы железы увеличивается. Если размер данного органа не увеличен, а эхогенность поджелудочной железы повышена, это может свидетельствовать о липоматозе, когда часть ее тканей замещается жиром. Иногда такая болезнь возникает у пожилых пациентов с сахарным диабетом.
При уменьшении размеров железы такие диффузные изменения могут говорить о фиброзе, то есть замещении тканей железы фиброзной (соединительной) тканью. Чаще всего это происходит, когда человек перенес воспаление в поджелудочной железе либо у него нарушен обмен веществ.
Повышенная эхогенность поджелудочной железы вкупе с другими результатами исследований и обследований пациента дают возможность доктору поставить точный диагноз. На основании только одного УЗИ, давшего диагноз эхогенность поджелудочной железы повышена. лечение не назначается, потому что данный симптом может указывать на целый ряд заболеваний этого органа.
Когда поджелудочная железа здорова, она в сутки вырабатывает более литра сока поджелудочного, который помогает в переваривании пищи. Если же выявляется повышенная эхогенность поджелудочной железы либо другие изменения в деятельности органа, пищеварение нарушается, что приводит к серьезным проблемам со здоровьем. Ведь пищеварительный сок, вырабатываемый поджелудочной железой, помимо переваривания жиров, углеводов, белков, еще производит инсулин, который оказывает помощь тканям в полноценном усваивании глюкозы. Недаром поджелудочную железу еще называют органом секреции (внешней и внутренней). Поэтому так важно вовремя начинать лечение в случае, если вам врач сказал после обследования, что эхогенность поджелудочной железы увеличилась.
Любые изменения в поджелудочной железе, выявленные в ходе ультразвукового исследования, должны быть подтверждены другими диагностическими обследованиями. Только после этого назначают комплексную терапию.
Причины повышения эхогенности поджелудочной железы
Повышенная эхогенность поджелудочной железы может быть признаком различных патологических процессов, происходящих в этом органе. Эхогенность — это способность тканей отражать ультразвуковые волны, и ее увеличение может указывать на изменения в структуре железы, которые могут быть как временными, так и хроническими.
Одной из основных причин повышения эхогенности является наличие жировой инфильтрации, или стеатоза, поджелудочной железы. Это состояние может развиваться на фоне ожирения, злоупотребления алкоголем, а также при метаболических нарушениях, таких как диабет. Жировая ткань имеет более высокую эхогенность по сравнению с нормальной паренхимой железы, что и приводит к изменению эхографической картины.
Другой причиной может быть воспалительный процесс, например, панкреатит. При остром панкреатите поджелудочная железа может увеличиваться в размерах и приобретать повышенную эхогенность из-за отека и воспалительных изменений. Хронический панкреатит также может приводить к изменению структуры железы, что отражается на эхогенности. В этом случае наблюдаются фиброзные изменения и кальцификация, которые также могут повышать эхогенность.
Кроме того, повышение эхогенности может быть связано с образованием опухолей, как доброкачественных, так и злокачественных. Опухолевые образования могут изменять нормальную структуру железы и приводить к ее неоднородной эхогенности. Важно отметить, что эхографические изменения не являются специфичными и требуют дальнейшего обследования для установления точного диагноза.
Также стоит упомянуть о наличии камней в протоках поджелудочной железы, которые могут вызывать повышение эхогенности. Эти камни могут приводить к обструкции протоков и воспалению, что также отражается на эхографической картине.
В заключение, повышение эхогенности поджелудочной железы может быть вызвано различными факторами, включая жировую инфильтрацию, воспалительные процессы, опухоли и наличие камней. Для точной диагностики и определения причины изменений необходимо проводить комплексное обследование, включая лабораторные анализы и дополнительные методы визуализации.
Вопрос-ответ
Что значит повышенная эхогенность в поджелудочной железе?
Повышение проницаемости поджелудочной железы может изменяться в норме либо при возникновении какой-либо патологии. Таким образом, повышение эхогенности – признак таких заболеваний и патологических состояний, как: липоматоз – жировое перерождение ткани органа.
Что значит на УЗИ эхогенность повышена?
Например, если эхогенность повышена, изображение органа будет более светлым, чем необходимо. А значит, структура органа стала более плотной, что говорит о хроническом воспалении. При снижении эхогенности изображение будет более темным, что свидетельствует об отеке или остром воспалительном процессе.
Какие заболевания вызывают повышенную эхогенность?
Наиболее частой причиной гиперэхогенности печени (повышенная эхогенность печени по сравнению с корковым слоем почек) в повседневной практике является стеатоз, также известный как «жировая дистрофия печени».
Каковы первые признаки рака поджелудочной железы?
Первые признаки рака поджелудочной железы могут включать необъяснимую потерю веса, желтуху (пожелтение кожи и глаз), боли в верхней части живота, которые могут иррадиировать в спину, а также изменения в аппетите и пищеварении, такие как тошнота или рвота. Эти симптомы часто проявляются на поздних стадиях заболевания, поэтому важно обращаться к врачу при их появлении.
Советы
СОВЕТ №1
Обратитесь к врачу для детального обследования. Повышенная эхогенность поджелудочной железы может указывать на различные заболевания, такие как панкреатит или диабет. Важно получить профессиональную оценку состояния вашего здоровья.
СОВЕТ №2
Следите за своим питанием. Правильное питание может помочь снизить нагрузку на поджелудочную железу. Избегайте жирной, жареной и острой пищи, а также ограничьте потребление алкоголя и сахара.
СОВЕТ №3
Регулярно проходите медицинские обследования. Если у вас есть предрасположенность к заболеваниям поджелудочной железы, важно регулярно проверять свое состояние, чтобы вовремя выявить возможные проблемы.
СОВЕТ №4
Обратите внимание на симптомы. Если вы заметили такие признаки, как боль в животе, тошнота, рвота или изменения в стуле, не откладывайте визит к врачу. Эти симптомы могут указывать на проблемы с поджелудочной железой.
