Пятна на ногах могут указывать на различные заболевания. Их цвет, форма и размер дают информацию о здоровье. Коричневые, темные, красные и белые пятна могут свидетельствовать об аллергиях, инфекциях, сосудистых проблемах или серьезных кожных заболеваниях. Своевременная диагностика и лечение помогают предотвратить осложнения и улучшить качество жизни. В этой статье рассмотрим причины появления пятен на ногах, их значение и методы лечения, что поможет читателям лучше ориентироваться в вопросах здоровья и обращаться за медицинской помощью.
Классификация
Независимо от заболевания, при котором на ногах появляются пятна (макулы), их можно классифицировать на несколько типов:
Эритематозные. Это пятна различных оттенков красного или розового цвета, возникающие из-за расширения сосудов. Они могут появляться при воспалительных процессах (гиперемические) или вегетативных реакциях (рефлекторные), особенно у детей. При нажатии такие пятна исчезают.
Телеангиэктатические. Эти пятна возникают из-за стойкого расширения внутрикожных сосудов и напоминают сосудистые звездочки красного или синего цвета. Иногда капилляры образуют круглое пятнышко вокруг артериолы. Их количество может варьироваться от нескольких до множества.
Ишемические. Эти пятна появляются в результате временной ишемии или врожденного отсутствия сосудов в определенной области. При временной ишемии, чаще всего в области больших пальцев ног, кожа становится почти белой. В случае врожденного отсутствия сосудов обескровленный участок выглядит как белое пятно с неровными краями.
Геморрагические. Эти пятна возникают из-за повышения проницаемости сосудов или их разрывов и в обиходе называются синяками. Сначала они имеют бордовый цвет, а затем становятся синюшными.
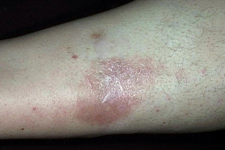
При венозной недостаточности и варикозе. Эти изменения представляют собой сочетание эритематозных и геморрагических пятен. Они выглядят как красные, коричневые или фиолетовые пятна без четких границ в нижней части голени.
Гиперпигментированные или темные. Эти пятна возникают из-за увеличения количества меланина или продуктов обмена холестерина на определенных участках кожи. Они могут быть желтыми или коричневыми. Приобретенные пигментные пятна могут быть связаны или не связаны с сосудистыми заболеваниями. Например, коричневые пятна на коже, а также темные пятна в паху у женщин часто встречаются во время беременности. У мужчин коричневые пятна на руках и ногах могут указывать на заболевания печени. К врожденным гиперпигментациям относится обычное темное родимое пятно на ноге.
Гипопигментированные и депигментированные. Эти светлые участки появляются из-за низкого содержания или отсутствия меланина в коже. Они выглядят как белые пятна различного размера на ногах. Врожденные белые пятна у детей заметны с первых дней жизни. Приобретенные белые макулы могут возникнуть из-за сосудистых поражений или других патологий.
Не связанные с варикозом и другими сосудистыми заболеваниями. Эти пятна могут возникать из-за местного отложения веществ, попавших в кровь, например, желтые пятна на ногтях, вызванные отложением каротина.
Врачи подчеркивают, что пятна на ногах могут иметь разные причины, и их цвет играет важную роль в диагностике. Коричневые пятна часто связаны с возрастными изменениями кожи или солнечными ожогами, тогда как темные пятна могут указывать на меланому, что требует срочного обращения к врачу. Красные пятна могут свидетельствовать о воспалительных процессах, таких как аллергические реакции или экзема. Белые пятна могут быть признаком витилиго или грибковых инфекций.
Лечение зависит от причины появления пятен. Врач может рекомендовать местные препараты, лазерную терапию или, в некоторых случаях, хирургическое вмешательство. Важно не заниматься самолечением и при первых признаках изменений кожи обращаться к дерматологу для точной диагностики и назначения соответствующего лечения. Профилактика также имеет важное значение: использование солнцезащитных средств и соблюдение правил гигиены помогут снизить риск появления нежелательных кожных проявлений.
Эксперты в области дерматологии подчеркивают, что появление пятен на ногах может быть связано с различными факторами, включая аллергические реакции, инфекционные заболевания и даже хронические состояния. Коричневые и темные пятна часто указывают на возрастные изменения кожи или последствия солнечного воздействия, в то время как красные пятна могут свидетельствовать о воспалительных процессах или аллергиях. Белые пятна, как правило, связаны с нарушением пигментации, например, витилиго. Важно не игнорировать такие изменения и обратиться к врачу для диагностики. Лечение может варьироваться от применения местных препаратов до более серьезных вмешательств, в зависимости от причины возникновения пятен. Регулярный уход за кожей и защита от солнца также играют ключевую роль в профилактике.

Кожа при варикозе
Хроническая венозная недостаточность и варикозное расширение вен нижних конечностей в запущенных стадиях приводят к появлению пигментных и сосудистых пятен на ногах. Причинами их появления являются:
- Стойкое расширение внутрикожных сосудов, сопровождающееся венозным застоем.
- Нарушение проницаемости сосудистой стенки.
В результате из крови в мягкие ткани проникает плазма и эритроциты. Нижняя часть голени приобретает стойкий красный оттенок. Нередко в этой стадии размытое красное пятно на ноге чешется (варикозная экзема). При прогрессировании болезни в тканях накапливается продукт распада эритроцитов – гемосидерин, повышается выработка меланина, и пигментация на ногах становится коричневой с примесью бордового или фиолетового цвета.
Если при варикозном изменении вен появились пятна на ногах, это означает далеко зашедший патологический процесс, при котором вопрос «лечить или не лечить пятна» отодвигается на последнее место. Совершенно очевидно, что лечить эритемы или пигментации без терапии самого варикоза – бессмысленно. В первую очередь необходимо лечить варикозное расширение вен на ногах. Причем делать это надо срочно, т. к. кожные изменения предшествуют развитию трофической язвы.
Однако бывают случаи, когда очень хочется просто удалить косметический дефект. Например, телеангиэктазии при начальных проявлениях венозной недостаточности или когда варикозную вену убрали, а пятно все равно осталось. Это чаще относится к молодым женщинам, для которых небезразлично, как выглядит их изящная ножка. В этом случае пятна необходимо лечить у косметолога, который посоветует наиболее эффективный метод. Это может быть фото- или лазеротерапия, а также различные способы отбеливания. Необходимо только помнить, что телеангиэктазии могут сопровождать склеродермию, дерматомиозит, красную волчанку или другое серьезное заболевание соединительной ткани. Поэтому прежде чем убирать красные сосудистые макулы, надо точно знать причину их появления.
| Тип пятна | Возможные причины | Рекомендуемые действия |
|---|---|---|
| Коричневые пятна | Пигментные нарушения: веснушки, родинки, лентиго (возрастные пятна), мелазма (гормональные изменения). Хроническая венозная недостаточность: застой крови, особенно на голенях. Посттравматическая гиперпигментация: после ушибов, порезов, воспалений. Грибковые инфекции: отрубевидный лишай. Сахарный диабет: диабетическая дермопатия. |
Консультация дерматолога: для точной диагностики и исключения злокачественных образований. Защита от солнца: использование солнцезащитных средств. Лечение основного заболевания: при венозной недостаточности – компрессионный трикотаж, флеботоники; при диабете – контроль уровня сахара. Местные средства: отбеливающие кремы (с гидрохиноном, койевой кислотой), ретиноиды (по назначению врача). Противогрибковые препараты: при грибковых инфекциях. |
| Темные пятна (черные, темно-коричневые) | Родинки (невусы): могут быть врожденными или приобретенными. Меланома: злокачественное новообразование кожи. Гематомы: синяки после травм. Тромбофлебит: воспаление вены с образованием тромба. Язвы: трофические язвы при венозной недостаточности или диабете. |
Срочная консультация дерматолога/онколога: при изменении размера, формы, цвета родинки, появлении зуда, кровоточивости. Наблюдение за гематомами: при отсутствии улучшения или увеличении – обращение к врачу. Лечение основного заболевания: при тромбофлебите – антикоагулянты, противовоспалительные средства; при язвах – местное лечение, компрессионная терапия. |
| Красные пятна | Аллергические реакции: контактный дерматит, крапивница (на продукты, лекарства, косметику). Воспалительные заболевания кожи: экзема, псориаз, розацеа. Инфекционные заболевания: рожа, эризипелоид, опоясывающий лишай (с пузырьками). Сосудистые нарушения: телеангиэктазии (сосудистые звездочки), гемангиомы (доброкачественные сосудистые опухоли), васкулит (воспаление сосудов). Укусы насекомых: комары, клещи, блохи. |
Исключение аллергена: при аллергических реакциях. Антигистаминные препараты: для снятия зуда и воспаления. Местные средства: гормональные мази (кортикостероиды), противовоспалительные кремы (по назначению врача). Антибиотики/противовирусные препараты: при инфекционных заболеваниях. Консультация дерматолога/флеболога: для диагностики и лечения сосудистых нарушений. Охлаждающие компрессы: для снятия зуда и отека. |
| Белые пятна | Витилиго: аутоиммунное заболевание, при котором разрушаются меланоциты. Отрубевидный лишай: грибковая инфекция, особенно после загара. Посттравматическая гипопигментация: после заживления ран, ожогов. Идиопатический каплевидный гипомеланоз: мелкие белые пятна, связанные с возрастом и воздействием солнца. Невус Сеттона (гало-невус): родинка, окруженная белым ободком. |
Консультация дерматолога: для точной диагностики. Фототерапия (УФ-излучение): при витилиго. Местные средства: кортикостероиды, ингибиторы кальциневрина (при витилиго). Противогрибковые препараты: при отрубевидном лишае. Защита от солнца: для предотвращения контраста между нормальной и депигментированной кожей. |
Интересные факты
Вот несколько интересных фактов о пятнах на ногах и их возможных причинах:
-
Разнообразие причин: Пятна на ногах могут быть вызваны множеством факторов, включая аллергические реакции, грибковые инфекции, сосудистые заболевания и даже системные болезни, такие как диабет. Например, коричневые пятна могут указывать на накопление меланина или изменения в кровообращении, в то время как красные пятна могут свидетельствовать о воспалительных процессах или аллергиях.
-
Диагностика по цвету: Цвет пятен может дать важную информацию о их происхождении. Темные пятна могут быть признаком гиперпигментации или сосудистых изменений, тогда как белые пятна могут указывать на витилиго или грибковые инфекции. Красные пятна часто связаны с воспалением или аллергическими реакциями, а желтые могут сигнализировать о проблемах с печенью.
-
Лечение и профилактика: Важно не только лечить уже появившиеся пятна, но и предотвращать их возникновение. Это может включать использование солнцезащитных средств для предотвращения гиперпигментации, соблюдение гигиенических норм для предотвращения инфекций и регулярные осмотры у дерматолога для раннего выявления возможных заболеваний.

Пигментация при диабетической ангиопатии
Проявления диабета обычно не начинаются с появления пятен. Чаще всего изменения на коже ног при сахарном диабете возникают в результате длительного патологического процесса:
- Поражения микроциркуляторных сосудов.
- Нарушения обмена углеводов.
Особое внимание уделяется именно сосудистым нарушениям. Утолщенные и фиброзные стенки капилляров становятся менее проницаемыми для кислорода и питательных веществ. Это приводит к гипоксии и дистрофии тканей. В них накапливаются недоокисленные продукты распада глюкозы, что вызывает дополнительную местную интоксикацию.
Кожа на ногах при сахарном диабете становится тонкой и легко ранимой. Она часто воспаляется, может вызывать боль и зуд. Из-за гипоксии и интоксикации в коже накапливается меланин. Эпидермис начинает шелушиться, и на ногах появляются коричневые шершавые пятна. Места трения особенно подвержены поражениям, что приводит к образованию темных пятен между ног.
Кроме коричневой пигментации, могут наблюдаться и другие изменения кожи:
- Эритемы и телеангиэктазии.
- Буллезные высыпания.
- Пигментный папилломатоз (черный акантоз).
Местная и общая интоксикация часто вызывают сосудистые реакции при диабете: на лице, туловище и нижних конечностях у таких пациентов можно заметить красные эритематозные высыпания. Специфическими для диабета являются телеангиэктазии в области ногтевого ложа и стоп. Ногти при этом становятся желтыми и утолщенными, а под ними практически невозможно увидеть увеличенные красные сосуды. Сосудистые пятна на стопах, напротив, хорошо заметны. Они выглядят как плоские красные полоски, «змейки» или округлые телеангиэктазии на ступнях. Иногда такие изменения сопровождаются зудом.
Реже встречаются диабетические буллезные высыпания и черный акантоз. Буллезные высыпания возникают из-за дистрофических изменений в области соединения эпидермиса и дермы, располагаются на пальцах и стопах и напоминают пузыри от ожога. Черный акантоз представляет собой гиперплазию, схожую с бородавками, и выглядит как темные или черные пятна на ногах в области колен и подколенных ямок. Черное пятно может появиться и при диабетической гангрене стопы, начинаясь часто с большого пальца ноги. Поэтому любое пятно на большом пальце должно вызывать особую настороженность у пациентов с сахарным диабетом.
Вопрос о том, следует ли лечить пятна, не является основным при диабетической ангиопатии. Лечение при сахарном диабете должно быть направлено не на устранение темной пигментации на ногах, а на контроль гипергликемии. Хотя кожным проявлениям следует уделять внимание (они имеют большое значение), это связано не с попытками убрать пигментированные участки, а с необходимостью предотвратить присоединение бактериальной или грибковой инфекции, лечение которой при высоком уровне сахара в крови будет крайне затруднительным.
Пятна на ногах могут сигнализировать о различных состояниях, и их цвет играет важную роль в диагностике. Коричневые пятна часто указывают на возрастные изменения кожи или солнечные повреждения. Темные пятна могут свидетельствовать о грибковых инфекциях или даже о меланоме, что требует немедленного обращения к врачу. Красные пятна могут быть результатом аллергической реакции, укусов насекомых или воспалительных процессов, таких как экзема. Белые пятна, в свою очередь, могут указывать на витилиго или грибковые инфекции. Лечение зависит от причины и может включать кремы, медикаменты или процедуры, назначенные дерматологом. Важно не игнорировать изменения на коже и своевременно обращаться за медицинской помощью.
Проявления при тромбофлебите
Тромбофлебит поверхностных вен сопровождается выраженным покраснением над пораженным сосудом. Это в чистом виде сосудистая гиперемическая эритема. Данные проявления внешне похожи на кожные реакции при следующих заболеваниях:
- Рожистое воспаление.
- Узловая эритема.
- Аллергические реакции.
При восходящем тромбофлебите в процесс может вовлекаться несколько вен, и тогда неровные очертания интенсивного покраснения, похожие на языки пламени, легко спутать с флегмонозной формой рожистого воспаления. Ярко-красные воспалительные проявления при узловой эритеме похожи на начало варикотромбофлебита. Дифференциальную диагностику тромбофлебита проводят также и с аллергическими высыпаниями.
Легко понять, что лечить пятна при тромбофлебите вообще не нужно. Значение имеет только лечение основного заболевания. Когда пройдет воспаление вен, кожные проявления сами исчезнут. Кроме того, лечить тромбофлебит раздражающими или согревающими веществами противопоказано.

Изменения при ангиодистониях
Болезнь Рейно и акроцианоз характеризуются спазмами артериальных сосудов, что связано с нарушениями вегетативной регуляции тонуса сосудов. В результате этого кожные покровы на ногах становятся почти белыми. Затем некоторые сосуды расширяются, в то время как другие остаются суженными. Это приводит к тому, что белые пальцы рук или ног резко выделяются на фоне покрасневших участков. При частых приступах ткани, испытывающие ишемию, значительно страдают. На ногтях ног могут появляться стойкие белые пятна, а также другие симптомы, связанные с повторяющейся ишемией.
Вы уже понимаете, что в данной ситуации необходимо лечение. Белые пятна на ногтях пальцев ног не являются основной проблемой. Даже они исчезнут без следа, если удастся надежно предотвратить развитие приступов.
Несосудистые макулы
К пигментным участкам на ногах, которые чувствительные женщины могут перепутать с пигментацией при варикозной или диабетической дермопатии, относятся темные макулы травматического происхождения и пятна от вросших волос на ногах. Макулы от болячек, возникших в результате травмы, распознать проще всего. И хотя в этом случае появляется шершавое пятно на ноге, эпизод травмы, как правило, запоминается. А вот волосы, которые могут иметь тенденцию после депиляции врастать в эпидермис, можно и не заметить. А потом принять пигментированный участок за проявления какой-нибудь страшной болезни.
Совершенно ясно, что такие гиперпигментации никакого отношения к болезням сосудов ног, да и вообще к медицине, не имеют. Поэтому лечить их можно любыми отбеливающими кремами или масками.
Таким образом, сосудистые и пигментные пятна на ногах при патологии артерий и вен нижних конечностей возникают в результате различных процессов. Однако значение сосудистого фактора в появлении и тех и других видов пятен велико. Поэтому даже при наличии пигментации при сосудистой патологии необходимо лечить сосуды. И больные с варикозной патологией вен и диабетической ангиопатией должны придавать значение не тому, как убрать темные пятна, а как лечить причину пигментных пятен на ногах, т. е. основное заболевание.
Подпишись и получи сборник лучших статей сайта БЕСПЛАТНО!
Понравилось? Поделись с другими:
Методы диагностики и обследования
Для определения причины появления пятен на ногах, будь то коричневые, темные, красные или белые, необходимо провести комплексное обследование. Важно помнить, что самостоятельная диагностика может привести к ошибочным выводам и неправильному лечению, поэтому рекомендуется обратиться к специалисту. Ниже представлены основные методы диагностики, которые могут быть использованы врачами.
1. Визуальный осмотр
Первым шагом в диагностике является тщательный визуальный осмотр пораженных участков кожи. Врач обращает внимание на цвет, размер, форму и текстуру пятен, а также на наличие дополнительных симптомов, таких как зуд, шелушение или воспаление. Важно также учитывать историю болезни пациента и возможные факторы риска, такие как аллергии, хронические заболевания или недавние травмы.
2. Анкета и сбор анамнеза
Врач может задать вопросы о времени появления пятен, их изменениях, а также о других симптомах, которые могут сопутствовать. Важно сообщить о всех заболеваниях, которые были перенесены ранее, а также о принимаемых лекарствах и аллергических реакциях. Это поможет врачу составить полную картину состояния здоровья пациента.
3. Лабораторные исследования
В зависимости от предполагаемой причины пятен, врач может назначить различные лабораторные исследования:
- Общий анализ крови: помогает выявить воспалительные процессы и анемию.
- Анализ на аллергены: позволяет определить наличие аллергической реакции на определенные вещества.
- Соскоб с кожи: используется для диагностики грибковых инфекций или паразитарных заболеваний.
- Биопсия: в редких случаях может потребоваться для исследования образца кожи под микроскопом, чтобы исключить злокачественные образования.
4. Инструментальные методы
Для более детального изучения состояния кожи могут быть использованы инструментальные методы:
- Дерматоскопия: неинвазивный метод, позволяющий с помощью специального прибора (дерматоскопа) изучить структуру кожи и выявить изменения, которые не видны невооруженным глазом.
- Ультразвуковое исследование: может быть назначено для оценки состояния сосудов и мягких тканей, особенно если есть подозрение на варикозное расширение вен или другие сосудистые патологии.
5. Консультации узких специалистов
В некоторых случаях может потребоваться консультация узких специалистов, таких как дерматолог, аллерголог, эндокринолог или онколог. Это особенно актуально, если пятна на ногах сопровождаются другими симптомами, которые могут указывать на серьезные заболевания.
Таким образом, диагностика пятен на ногах требует комплексного подхода и может включать в себя как визуальные методы, так и лабораторные и инструментальные исследования. Правильная диагностика является ключом к эффективному лечению и предотвращению возможных осложнений.
Вопрос-ответ
Как выглядят печеночные пятна на ногах?
Клинически заболевание проявляется возникновением на коже безболезненных пигментных пятен желтого или темно-коричневого цвета, неравномерно окрашенных, с неправильными очертаниями, круглой или овальной формы, с расплывчатыми границами, диаметром около 1 см. Элементы чаще всего беспорядочно разбросанные, обособленные.
Какое заболевание вызывает появление коричневых пятен?
Мелазма — это заболевание кожного покрова, которое выражено появлением пятен коричневого цвета на инсолированных участках кожи, как правило, на лице, плечах, декольте.
Как выглядят диабетические пятна на ногах?
Одним из кожных поражений, возникающих при метаболических нарушениях, является диабетическая дермопатия. Она начинается с папулезных высыпаний на передней поверхности голени, которые затем переходят в округлые, атрофические, красновато-коричневые пятна диаметром до 1 см.
Советы
СОВЕТ №1
Обратите внимание на изменения в цвете и текстуре кожи. Если вы заметили новые пятна или изменения в уже существующих, важно записать их характеристики (размер, форма, цвет) и обратиться к дерматологу для профессиональной оценки.
СОВЕТ №2
Следите за состоянием своей кожи, особенно если у вас есть предрасположенность к кожным заболеваниям. Регулярно увлажняйте кожу и используйте солнцезащитные средства, чтобы предотвратить появление новых пятен.
СОВЕТ №3
Не занимайтесь самолечением. Использование народных средств или несертифицированных препаратов может усугубить проблему. Лучше всего довериться специалисту, который сможет назначить правильное лечение в зависимости от диагноза.
СОВЕТ №4
Обратите внимание на свое питание и образ жизни. Здоровая диета, богатая витаминами и минералами, а также отказ от вредных привычек могут положительно сказаться на состоянии кожи и помочь предотвратить появление пятен.


