Ультразвуковое исследование (УЗИ) поджелудочной железы — важный диагностический инструмент для оценки состояния органа и выявления патологии. В статье рассмотрим нормальные показатели УЗИ, рекомендации по подготовке к исследованию и расшифровку результатов. Эти аспекты помогут читателям лучше понять свое здоровье и своевременно обратиться к врачу при отклонениях.
Почему именно поджелудочная железа?
Поджелудочная железа играет критически важную роль в организме, так как она вырабатывает инсулин — гормон, который позволяет энергии проникать в клетки. Если в ее функционировании происходят сбои, это может привести к голоданию всего организма, что, в свою очередь, чревато серьезными последствиями.
На сегодняшний день наука не располагает средствами, способными полностью вылечить панкреатит или диабет. Поэтому профилактика и своевременное лечение при первых симптомах имеют первостепенное значение. Поджелудочная железа является ключевым элементом для поддержания здоровья.
Врачи акцентируют внимание на том, что правильная подготовка к УЗИ поджелудочной железы крайне важна для получения достоверных результатов. Нормальные показатели исследования включают размеры железы, ее структуру и наличие возможных образований. Специалисты советуют за сутки до процедуры исключить из рациона тяжелую пищу, газированные напитки и продукты, способствующие образованию газов. Также необходимо проводить УЗИ на голодный желудок, что поможет снизить количество газов в кишечнике и улучшить визуализацию органа. После исследования расшифровка результатов должна осуществляться квалифицированным врачом, который сможет оценить состояние поджелудочной железы и при необходимости назначить дополнительные обследования или лечение. Правильная подготовка и грамотная интерпретация результатов имеют решающее значение для диагностики заболеваний этого органа.
Эксперты подчеркивают важность ультразвукового исследования поджелудочной железы для диагностики различных заболеваний. Нормальные показатели включают размеры железы, которые обычно составляют 15-20 см в длину и 2-3 см в ширину, а также однородную эхоструктуру. Для получения точных результатов специалисты рекомендуют тщательно подготовиться к процедуре: за 8-12 часов до УЗИ следует воздержаться от пищи, чтобы минимизировать газообразование в кишечнике. Это позволит улучшить визуализацию органа. После исследования расшифровка результатов должна проводиться квалифицированным врачом, который сможет оценить состояние поджелудочной железы и выявить возможные отклонения. Правильная интерпретация данных УЗИ является ключевым моментом для дальнейшего лечения и профилактики заболеваний.

Показания для ультразвукового исследования поджелудочной железы
Если пациенту было назначено УЗИ органов брюшной полости. то врач-УЗИст в обязательном порядке должен осмотреть и поджелудочную железу, оценить ее внешний вид и размеры .
Однако есть ряд тревожных симптомов, при которых может быть назначено более детальное изучение этого органа.
- Если человека на протяжении нескольких недель мучает боль в животе с большей локализацией в левом подреберье;
- Ощущений стойкого дискомфорта и тяжести в желудке после даже незначительного приема пищи;
- Расстройство пищеварения с чередующимися запорами и диареей;
- Незначительная желтушность кожи и слизистых оболочек:
- Наличие сахарного диабета любого типа.
- Очень часто состояние железы зависит от состояния печени. При любой боли в этой области нужно исследовать и железу, и состояние самой печени.
При наличие какого-либо из перечисленных симптомов, человек подвергается обязательному и детальному исследованию всех органов, участвующих в пищеварении. Задача доктора своевременно распознать грозные сигналы, а больной должен правильно подготовиться к предстоящему исследованию.
| Раздел | Описание | Важные моменты |
|---|---|---|
| Нормальные показатели УЗИ поджелудочной железы | Размеры: – Головка: до 32 мм – Тело: до 22 мм – Хвост: до 28 мм Контуры: Четкие, ровные Эхогенность: Однородная, изоэхогенная или слегка гиперэхогенная по отношению к печени Вирсунгов проток: Не расширен, до 2 мм Структура: Однородная, мелкозернистая Наличие образований: Отсутствуют |
Размеры могут незначительно варьироваться в зависимости от возраста, телосложения и индивидуальных особенностей. Важна не только абсолютная величина, но и соотношение размеров частей железы. |
| Подготовка к УЗИ поджелудочной железы | Диета: – За 2-3 дня до исследования исключить газообразующие продукты (бобовые, капуста, свежие фрукты и овощи, черный хлеб, молочные продукты, газированные напитки). – Рекомендуется легкая пища: каши на воде, отварное нежирное мясо, рыба. Голодание: – За 8-12 часов до УЗИ полностью отказаться от еды. – За 4-6 часов до УЗИ не пить. Прием лекарств: – По согласованию с врачом могут быть назначены ферментные препараты или ветрогонные средства (например, эспумизан) для уменьшения газообразования. Курение: – За несколько часов до исследования желательно воздержаться от курения, так как это может вызвать спазм протоков. |
Тщательная подготовка значительно повышает информативность исследования. Несоблюдение рекомендаций может привести к затруднению визуализации органа и ложным результатам. |
| Расшифровка результатов УЗИ поджелудочной железы | Увеличение размеров: Может указывать на воспаление (панкреатит), отек, опухоль. Изменение контуров: Неровные, нечеткие контуры могут свидетельствовать о воспалительном процессе, фиброзе. Изменение эхогенности: – Повышенная эхогенность: Часто наблюдается при хроническом панкреатите (фиброз, жировая инфильтрация), липоматозе. – Пониженная эхогенность: Может быть при остром панкреатите (отек). Расширение Вирсунгова протока: Указывает на препятствие оттоку панкреатического сока (камень, опухоль, стриктура). Неоднородность структуры: Может быть признаком воспаления, кист, опухолей. Наличие образований: Кисты, псевдокисты, опухоли (доброкачественные или злокачественные). Кальцинаты: Могут быть при хроническом панкреатите. |
Расшифровку результатов УЗИ должен проводить только квалифицированный врач. Результаты УЗИ всегда оцениваются в комплексе с клинической картиной, анамнезом и другими методами исследования. УЗИ не является окончательным диагнозом, а лишь одним из методов диагностики. |
Интересные факты
Вот несколько интересных фактов о УЗИ поджелудочной железы:
-
Нормальные показатели: При УЗИ поджелудочной железы нормальные размеры органа варьируются: длина составляет около 12-15 см, ширина — 2-3 см, а толщина — 1-2 см. Эти параметры могут варьироваться в зависимости от возраста и индивидуальных особенностей пациента.
-
Подготовка к исследованию: Для получения наиболее точных результатов перед УЗИ рекомендуется соблюдать диету, исключающую газообразующие продукты (бобовые, капусту, молочные изделия) за 1-2 дня до процедуры. Также важно провести УЗИ натощак, чтобы минимизировать влияние пищи на визуализацию органов.
-
Расшифровка результатов: При расшифровке УЗИ поджелудочной железы врач обращает внимание не только на размеры и форму органа, но и на его эхогенность (способность отражать ультразвук). Нормальная поджелудочная железа имеет однородную структуру и умеренную эхогенность. Изменения в этих показателях могут указывать на различные заболевания, такие как панкреатит или опухоли.

Подготовка пациента
Основной проблемой при проведении УЗИ поджелудочной железы является наличие воздуха. Этот орган находится в непосредственном контакте с желудком и кишечником, и воздух из этих полых структур может значительно усложнить детальное обследование, искажая изображения и снижая точность диагностики.
Чтобы избежать подобных затруднений, необходимо соблюдать определенные правила подготовки к УЗИ поджелудочной железы. Наиболее достоверные результаты можно получить, если исследование проводится утром. В это время, при соблюдении всех рекомендаций, показатели будут наиболее точными.
Голодание должно длиться как минимум 12 часов. Более того, соблюдение этого условия позволяет также провести УЗИ печени. Это связано с тем, что основная часть воздуха попадает в кишечник в течение дня. Утром, после пробуждения, его количество в желудочно-кишечном тракте минимально. При таком низком уровне газообразования можно четко визуализировать все детали, что особенно важно для исследования печени и соседних органов. Это особенно актуально для людей с повышенной кислотностью желудочного сока, так как газированные напитки могут вызвать избыточное газообразование, что негативно скажется на результатах.
Подготовка к исследованию также включает соблюдение специальной диеты. Рекомендуется исключить из рациона продукты, способствующие брожению в кишечнике, такие как фрукты, овощи и газированные напитки.
Процесс подготовки не является чрезмерно сложным, а соблюдение этих рекомендаций может помочь исключить наличие патологии или установить правильный диагноз.
Тем не менее, в экстренных ситуациях возможно проведение исследования без предварительной подготовки, однако в этом случае информативность может снизиться на 40%.
УЗИ поджелудочной железы – это важный диагностический метод, позволяющий оценить состояние органа и выявить возможные патологии. Многие пациенты отмечают, что процедура проходит быстро и безболезненно. Нормальные показатели УЗИ включают размеры железы, ее структуру и отсутствие новообразований. Подготовка к исследованию играет ключевую роль: рекомендуется воздерживаться от пищи за 8-12 часов до процедуры, чтобы минимизировать газообразование и улучшить визуализацию. После УЗИ врачи анализируют результаты, обращая внимание на эхогенность, контуры и наличие патологий. Важно помнить, что только квалифицированный специалист может правильно интерпретировать данные и при необходимости назначить дальнейшее лечение.
Показатели здоровья
УЗИ поджелудочной у здорового человека не сопряжено с выяснением наличия патологических изменений. Расшифровка проведенной процедуры сводится к констатации факта абсолютного здоровья.
- Тело железы в неизмененном состоянии с выраженной однородной структурой. Иногда допустимы незначительные включения до 1.5-3 мм.
- Интенсивность и яркость изображения (эхогенность) поджелудочной железы, если была проведена соответствующая подготовка, очень близка с изображением селезенки и печени.
- При исследовании четко визуализируется анатомическое строение органа: головка, перешеек, крючковидный отросток и хвост. У каждого отдела железы есть своя норма показателей. Небольшие отклонения допустимы лишь при хороших биохимических анализах крови. Головка, толщина норма – до 32 мм, тело примерно до 21 мм, а норма хвоста до 35 мм.
Измененные размеры при УЗИ поджелудочной железы не столь важная величина. Гораздо важнее совокупность нескольких показателей. Если контуры железы четкие и ровные, как того требует норма, значит функция и состояние этого органа будут удовлетворительными.
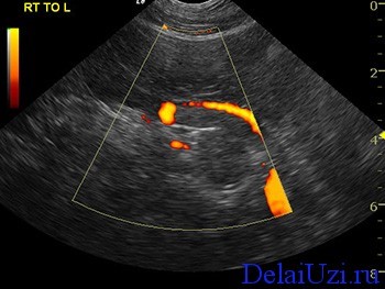
Дуплексное сканирование позволит оценить крупные сосуды находящиеся рядом с исследуемым органом. Особенность этого типа исследования показывает качество кровотока в нижней полой вене, в верхних брыжеечных вене и артерии, в чревном стволе и селезеночной вене. Расшифровка показаний при дуплексном сканировании говорит о том, страдает ли орган от недостаточного тока крови и есть ли препятствия на пути потока в виде опухолей. Если такие изменения имеются, нужно замерить их размеры и структуру ткани.
Особую важность представляет состояние протока железы (Вирсунгов проток). Если есть какие-либо изменения, то возникают подозрения на опухоль головки железы или панкреатит.
В этом случае только правильная подготовка поможет доктору поставить правильный диагноз, а патологическая эхогенность позволит точно определить локализацию измененных тканевых структур. В этом случае больному нужно подготовиться и нацелиться на длительное лечение.

УЗИ при панкреатите
Панкреатит можно выявить с помощью ультразвукового исследования. Острая форма этого серьезного заболевания существенно изменяет структуру поджелудочной железы, ее размеры, текстуру тканей и внешний вид. Острый панкреатит проходит через несколько стадий, каждая из которых имеет свою уникальную картину на УЗИ. На каждом этапе становится очевидным, что нормальная анатомия органа не соответствует тому, что отображается на экране. Для точного различия стадий важно соблюдать правила подготовки к процедуре.
Существует три основных типа панкреатита: тотальный, очаговый и сегментарный. Эти стадии различаются по уровню эхогенности органа. Изменения могут затрагивать как всю железу, так и ее отдельные участки. Если эхогенность повышена в головной части железы, это может указывать на необходимость поиска причин таких изменений.
Первый этап заболевания характеризуется увеличением размеров железы. Контуры становятся нечеткими, а панкреатический проток значительно расширяется. Часто патологические изменения затрагивают и соседние органы, что также приводит к повышению их эхогенности. Увеличенная поджелудочная железа может сжимать крупные сосуды, нарушая кровоснабжение близлежащих органов. Эти изменения хорошо видны при дуплексном сканировании, даже если пациент не подготовился должным образом.
Предварительная подготовка к ультразвуковому исследованию позволяет более детально рассмотреть желчный пузырь и его протоки. Эхогенность этого органа может изменяться в случае обструкции протока, а также при увеличении самого пузыря и печени.
При прогрессировании панкреатита до некротической стадии на поверхности железы могут появляться псевдокисты. Если расшифровка результатов исследования осуществляется квалифицированным специалистом, он сможет выявить распад тканей органа. В запущенных случаях могут наблюдаться очаги с абсцессами на стенках брюшной полости и сальниковой сумки.
УЗИ поджелудочной железы при доброкачественных и злокачественных процессах
Многие патологические процессы в человеческом организме могут спровоцировать изменения в структуре этого органа. Достаточное количество из них приводят к острому или хроническому панкреатиту. Самое первое, что заметит УЗИст в этих случаях – измененная эхогенность. Меняются и размеры печени и желчного пузыря.
Язвенная болезнь желудка и кишечника, травмы органов брюшной полости, интоксикация, сахарный диабет, липоматоз поджелудочной железы, амилоидоз, — ведут к изменениям в этих органах. Все неспецифичные отклонения от нормы, возникающие при УЗИ диагностике, не помогут полностью раскрыть этиологию заболевания. Но, если соблюдена вся необходимая подготовка, то расшифровка может дать много дополнительной информации.
УЗИ поджелудочной железы при доброкачественных опухолях
Среди доброкачественных образований поджелудочной железы можно выделить множество различных типов. Клетки эндокринной системы могут подвергаться аномальному развитию, что приводит к образованию инсулином и гастриномам. В таких случаях наблюдается увеличение размеров самой железы. Существует несколько разновидностей опухолей соединительной ткани, таких как липомы и фибромы. Также встречаются смешанные опухоли, включая нейрофибромы, гемангиомы, невриномы и аденомы и другие. Обнаружить их с помощью ультразвукового исследования бывает довольно сложно. Тем не менее, если пациент правильно подготовился к процедуре, соблюдая все рекомендации, вероятность своевременного выявления опухолевых процессов значительно возрастает.
УЗИ поджелудочной железы при злокачественных опухолях
Отклонения от нормы при ультразвуковом исследовании – это измененная эхогенность структур органа. Но этот вид исследования не сможет пролить свет на качество изменений. Необходим гистологический анализ видоизмененных тканей.
Поэтому, в подавляющем большинстве случаев, когда отклонения от нормы при УЗИ идут об руку с плохими анализами, а эхогенность органа говорит о возможном наличии опухолевых процессов – всегда назначается гистологический анализ тканей поджелудочной железы.
Часто задаваемые вопросы об УЗИ поджелудочной железы
УЗИ поджелудочной железы – это важный диагностический метод, который позволяет оценить состояние этого органа и выявить возможные патологии. В процессе подготовки к УЗИ и интерпретации его результатов у пациентов часто возникают вопросы. Рассмотрим наиболее распространенные из них.
1. Какова цель УЗИ поджелудочной железы?
УЗИ поджелудочной железы используется для диагностики различных заболеваний, таких как панкреатит, опухоли, кисты и другие патологии. Этот метод позволяет визуализировать структуру железы, оценить ее размеры и выявить возможные изменения.
2. Как подготовиться к УЗИ поджелудочной железы?
Правильная подготовка к исследованию играет ключевую роль в получении точных результатов. Рекомендуется:
- Избегать приема пищи за 8-12 часов до процедуры. Это поможет уменьшить количество газов в кишечнике и улучшить визуализацию поджелудочной железы.
- Не употреблять газированные напитки и продукты, способствующие образованию газов (бобовые, капусту, молочные продукты) за 2-3 дня до исследования.
- При наличии хронических заболеваний, таких как диабет, следует проконсультироваться с врачом о возможности приема лекарств перед УЗИ.
3. Каковы нормальные показатели УЗИ поджелудочной железы?
Нормальные показатели УЗИ поджелудочной железы включают:
- Размеры: длина железы составляет 16-22 см, ширина – 3-5 см, толщина – 2-3 см.
- Структура: однородная, без включений и образований.
- Эхогенность: умеренная, не повышенная и не пониженная.
- Контуры: четкие и ровные.
4. Как интерпретировать результаты УЗИ?
Результаты УЗИ поджелудочной железы должны интерпретироваться квалифицированным специалистом. Важно учитывать не только размеры и структуру железы, но и сопутствующие изменения в других органах, таких как печень и желчный пузырь. При наличии отклонений от нормы может потребоваться дополнительное обследование или консультация узкого специалиста.
5. Как часто нужно делать УЗИ поджелудочной железы?
Частота проведения УЗИ зависит от состояния здоровья пациента и наличия хронических заболеваний. Обычно рекомендуется проходить обследование раз в год, однако при наличии симптомов или обострений заболеваний частота может увеличиваться.
УЗИ поджелудочной железы – это безопасный и информативный метод диагностики, который помогает выявить заболевания на ранних стадиях и начать своевременное лечение. Правильная подготовка и понимание нормальных показателей помогут пациентам лучше ориентироваться в результатах обследования.
Вопрос-ответ
УЗИ поджелудочной железы расшифровка норма?
Нормы УЗИ поджелудочной железы. С возрастом эхогенность поджелудочной может повышаться. Нормальными размерами для поджелудочной железы считаются: длина — в пределах 14-22 см, ширина — в пределах 3-9 см, величина которой уменьшается от головки железы к ее хвосту. Вес органа составляет около 70-80 грамм.
Как расшифровать УЗИ?
Ультразвуковое исследование (УЗИ) — это тип обследования, который проводится на специальном аппарате — сонографе, излучающем волны высокой частоты.
Как правильно подготовиться к УЗИ поджелудочной железы?
УЗИ поджелудочной железы проводится натощак — после не менее чем 8-10 часов голодания. За 3 дня до исследования исключите из рациона продукты, которые вызывают повышенное газообразование в кишечнике. За 3 суток до УЗИ принимайте симетикон по 2 капсулы 3 раза в день.
Какой показатель показывает воспаление поджелудочной железы?
Общий анализ крови (ОАК) — показывает признаки воспаления, анемии. С-реактивный белок — неспецифический маркер воспаления, который увеличивается при панкреатите. Ферменты амилаза и липаза — показывают работу экзокринной части железы, наличие воспаления и повреждения клеток.
Советы
СОВЕТ №1
Перед проведением УЗИ поджелудочной железы рекомендуется соблюдать диету за 1-2 дня до процедуры. Избегайте жирной, жареной и тяжелой пищи, а также газированных напитков, чтобы минимизировать образование газов в кишечнике, что может затруднить диагностику.
СОВЕТ №2
УЗИ лучше проводить натощак, поэтому постарайтесь не есть за 8-12 часов до исследования. Это поможет получить более точные результаты и улучшить визуализацию поджелудочной железы.
СОВЕТ №3
Не забудьте взять с собой результаты предыдущих исследований и медицинскую документацию. Это поможет врачу лучше понять вашу историю болезни и сделать более точные выводы на основе новых данных.
СОВЕТ №4
После УЗИ обсудите с врачом расшифровку результатов. Не стесняйтесь задавать вопросы, чтобы полностью понять состояние вашей поджелудочной железы и возможные дальнейшие шаги в лечении или наблюдении.


