Кавернозная гемангиома печени — доброкачественная сосудистая опухоль, часто незаметная из-за отсутствия выраженных симптомов. В статье рассмотрим методы диагностики и лечения этой патологии, а также важность своевременного выявления и правильного подхода к терапии. Понимание особенностей кавернозной гемангиомы поможет врачам и пациентам избежать ненужных тревог и осложнений, обеспечивая более эффективное управление состоянием здоровья.
Причины заболевания, течение
Наиболее распространенной причиной формирования кавернозной гемангиомы печени считаются аномалии, возникшие в процессе внутриутробного развития. Эти аномалии могут быть вызваны вирусными инфекциями, перенесенными женщиной в первом триместре беременности, а также стрессами, воздействием токсических веществ, употреблением алкоголя и курением. В результате таких факторов может произойти сбой в формировании и развитии сосудистой системы плода, что создает условия для появления сосудистых опухолей.
Гемангиомы чаще всего возникают в паренхиматозных органах, обладающих разветвленной сетью кровеносных сосудов, одним из которых является печень. Кавернозные гемангиомы занимают второе место среди печеночных опухолей. Эти образования представляют собой совокупность мелких полостей синусоидальной формы, заполненных кровью и объединенных в одно крупное образование. Название патологии происходит от латинского слова caverna, что переводится как «полость с неровными краями».
Опухоль может затрагивать как один, так и несколько сегментов печени. Сверху гемангиома окружена фиброзной капсулой, которая отделяет опухоль от паренхимы печени. Обычно новообразование питается кровеносным сосудом, чаще всего это печеночная артерия и её ветви. Размеры опухоли могут варьироваться от 2 см до 20 см. Образования размером до 5 см считаются небольшими, и в таких случаях лечение, как правило, не требуется.
Чаще всего заболевание выявляется у новорожденных в первые три месяца жизни. Подозрение на наличие гемангиомы у детей в этом возрасте возникает при наличии следующих признаков:
- большое количество внешних сосудистых образований;
- печеночная симптоматика, гепатомегалия, желтушность кожи;
- наследственная предрасположенность.
В 80% случаев данная патология регрессирует в течение первых 4-5 лет жизни.
Исследования показывают, что избыток женского гормона эстрогена может как провоцировать заболевание, так и способствовать росту гемангиомы. Это объясняет, почему женщины страдают от этой патологии в 5-6 раз чаще, чем мужчины.
Врачи отмечают, что диагностика кавернозной гемангиомы печени может быть сложной задачей, так как данное образование часто не проявляет себя клинически. Наиболее эффективными методами диагностики являются ультразвуковое исследование и магнитно-резонансная томография, которые позволяют точно визуализировать опухоль и оценить её размеры. В большинстве случаев гемангиомы не требуют активного лечения, однако при наличии симптомов или увеличении размеров может потребоваться хирургическое вмешательство. Специалисты подчеркивают важность индивидуального подхода к каждому случаю, учитывая общее состояние пациента и возможные риски. Консервативные методы, такие как наблюдение и регулярные обследования, часто оказываются достаточными для контроля состояния пациента.
Эксперты в области гастроэнтерологии и онкологии подчеркивают важность своевременной диагностики кавернозной гемангиомы печени, так как это заболевание часто протекает бессимптомно. Ультразвуковое исследование и магнитно-резонансная томография являются основными методами визуализации, позволяющими точно определить наличие и размеры опухоли. В большинстве случаев гемангиомы не требуют активного лечения, однако при увеличении размеров или возникновении осложнений, таких как разрыв, может потребоваться хирургическое вмешательство. Важно отметить, что наблюдение за пациентами с небольшими гемангиомами является стандартной практикой, так как большинство из них не приводят к серьезным последствиям. Тем не менее, индивидуальный подход к каждому случаю и регулярное мониторирование состояния пациента остаются ключевыми аспектами в управлении этим заболеванием.

Возможные осложнения
Основной опасностью заболевания является возможность самопроизвольного разрыва опухоли. По мере роста гемангиомы окружающая ее стенка фиброзной капсулы истончается, и в результате падения или травм живота может произойти ее разрыв. Это приводит к обширному кровоизлиянию в брюшную полость, и, при отсутствии своевременного хирургического вмешательства, исходом заболевания является смерть пациента. Разрыв стенки фиброзной капсулы наблюдается у больных в 10 % случаев, смертность от кровоизлияния регистрируется в 63-80 % случаев.
Кроме этого, возможны следующие осложнения болезни:
- развитие тромба и его инфицирование, в результате чего развивается абсцесс печени. О наличии абсцесса свидетельствуют острые боли в области печени, повышенная температура тела, потливость, гепатомегалия;
- перекручивание ножки гемангиомы, при этом появляются острые боли в эпигастральной области;
- может произойти сращивание опухоли с сальником или петлями двенадцатиперстной кишки, в результате чего развивается кишечная непроходимость;
- может произойти гемангиозная дегенерация печени, в результате чего развивается печеночная недостаточность, функция печени снижается, развивается интоксикация;
- повышение уровня билирубина в крови;
- может произойти нарушения процесса свертывания крови.
Наряду с патологическим течением заболевания, возможен и другой исход, когда опухоль регрессирует сама по себе, или, образовавшийся в опухоли тромб перерождается, кальцинируется и рассасывается. В злокачественное новообразование опухоль способна перерасти только в редких, единичных случаях.
| Аспект | Описание | Важные моменты |
|---|---|---|
| Диагностика | ||
| УЗИ брюшной полости | Первичный метод скрининга, выявляет образование, его размеры, структуру. | Часто обнаруживается случайно. Может быть недостаточно для точной характеристики. |
| КТ с контрастированием | Более точная визуализация, позволяет оценить кровоснабжение, дифференцировать от других образований. | Характерное накопление контраста: периферическое, узловое, с центрипетальным заполнением. |
| МРТ с контрастированием | Наиболее чувствительный и специфичный метод для диагностики гемангиом. | Позволяет детально оценить внутреннюю структуру, наличие фиброзных перегородок, тромбозов. |
| Биопсия печени | Редко используется, только при сомнениях в диагнозе после неинвазивных методов. | Риск кровотечения. Обычно избегается из-за характерной картины при КТ/МРТ. |
| Лечение | ||
| Наблюдение | Для бессимптомных, небольших гемангиом (<5 см). | Регулярные УЗИ/МРТ для контроля роста. |
| Хирургическое удаление | При больших размерах (>5-10 см), быстром росте, симптомах (боль, разрыв), осложнениях. | Резекция печени. Риск кровотечения. |
| Эмболизация | Введение эмболизирующих веществ в сосуды, питающие гемангиому, для уменьшения ее размера. | Используется при больших, неоперабельных гемангиомах, для уменьшения симптомов. |
| Радиочастотная абляция (РЧА) | Разрушение опухоли с помощью высокочастотного тока. | Применяется для небольших гемангиом, расположенных поверхностно. |
| Склеротерапия | Введение склерозирующих веществ непосредственно в гемангиому. | Редко используется, в основном для небольших, доступных образований. |
| Трансплантация печени | В крайне редких случаях, при гигантских гемангиомах, вызывающих тяжелую печеночную недостаточность. | Крайняя мера, сопряженная с высокими рисками. |
| Осложнения | ||
| Разрыв гемангиомы | Редкое, но жизнеугрожающее осложнение, сопровождающееся внутренним кровотечением. | Чаще при больших размерах, травмах, беременности. |
| Синдром Казабаха-Мерритт | Коагулопатия потребления, связанная с тромбозом в гигантских гемангиомах. | Требует специфического лечения. |
| Сдавление соседних органов | При больших размерах гемангиомы, может вызывать боль, дискомфорт, нарушение функции. | Может потребовать хирургического вмешательства. |
Интересные факты
Вот несколько интересных фактов о диагностике и лечении кавернозной гемангиомы печени:
-
Безсимптомность и случайная находка: Кавернозные гемангиомы печени часто не проявляют симптомов и могут быть случайно обнаружены при проведении ультразвукового исследования или компьютерной томографии по другим причинам. Это делает их одной из самых распространенных доброкачественных опухолей печени.
-
Методы визуализации: Для диагностики кавернозной гемангиомы используются различные методы визуализации, включая ультразвук, КТ и МРТ. На МРТ гемангиомы обычно имеют характерный “медленный” накопление контрастного вещества, что помогает отличить их от других опухолей печени.
-
Лечение и наблюдение: В большинстве случаев кавернозные гемангиомы не требуют лечения и подлежат наблюдению. Однако, если гемангиома вызывает симптомы (например, боль или дискомфорт) или достигает значительных размеров, может потребоваться хирургическое вмешательство, такое как резекция или эмболизация.

Симптомы
В большинстве случаев заболевание протекает бессимптомно. Клинические проявления начинают проявляться, когда опухоль достигает значительных размеров, что приводит к механическому сжатию соседних органов и нарушению их работы.
Симптомы заболевания усиливаются по мере увеличения опухоли, и жалобы возникают при размерах гемангиомы более 8 см. Обычно первые признаки начинают проявляться в возрасте 45-55 лет.
Выделяют четыре основных типа клинической картины заболевания:
- Болевой синдром — пациенты ощущают боли различной интенсивности в правом подреберье. Интенсивность боли увеличивается с ростом растяжения фиброзной капсулы, окружающей опухоль. Эта симптоматика наблюдается в 50-75% случаев.
- Диспепсический синдром — у больного могут возникать изжога, отрыжка, горечь во рту, тошнота неопределенного происхождения, снижение аппетита и повышенное газообразование, а также нарушения стула. Эти симптомы связаны с сжатием желудка и кишечника гемангиомой.
- Синдром общего недомогания — проявляется общей слабостью, потливостью, снижением работоспособности и повышенной утомляемостью.
- Синдром инородного тела — значительный размер опухоли вызывает ощущение тяжести и распирания в верхней части живота.
Существует три классических симптома, которые помогают в диагностике кавернозной гемангиомы печени:
- Увеличение печени и наличие печеночной симптоматики: желтушность кожи и склер, общая интоксикация. Эти клинические проявления возникают из-за сжатия желчных протоков и печеночных сегментов опухолью.
- Признаки застойной сердечной недостаточности или портальной гипертензии, вызванные нарушением кровообращения в воротной вене.
- Наличие множества кожных гемангиом.
Диагностика и лечение кавернозной гемангиомы печени вызывают много обсуждений среди пациентов и специалистов. Многие отмечают, что раннее выявление этого доброкачественного образования часто происходит случайно, во время ультразвукового исследования или КТ по другим причинам. Люди делятся своим опытом, что при отсутствии симптомов врачи часто рекомендуют наблюдение, а не немедленное вмешательство.
Тем не менее, если гемангиома вызывает дискомфорт или осложнения, пациенты сталкиваются с вопросами о необходимости хирургического лечения. Некоторые считают, что операция может быть необходима, но многие предпочитают консервативные методы, такие как регулярное наблюдение и контроль состояния. Важно отметить, что мнения о лечении различаются, и каждый случай уникален. Пациенты советуют не стесняться задавать вопросы врачам и искать второе мнение, чтобы принять обоснованное решение о своем здоровье.
Диагностика заболевания
Протекание болезни без симптомов приводит к тому, что обнаружение патологии имеет случайный характер во время обследования других органов брюшной полости. При наличии симптомов, важно отличить кавернозную гемангиому от очень похожего по симптоматике цирроза печени. Точный диагноз позволяют установить следующие виды обследований:
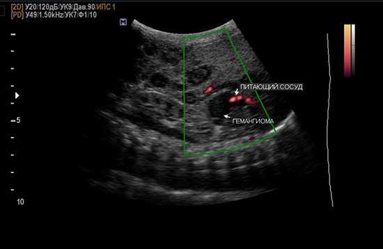
- Ультразвуковое исследование, которое отличается своей доступностью, низкой инвазивностью и достаточно высоким уровнем информативности — при диагностике кавернозной гемангиомы он достигает 80 %. УЗИ позволяет определить факт наличия гемангиомы, ее расположение и размеры. Чтобы определить степень поражения опухолью сосудов, параллельно проводят допплерографию.
- Для уточнения диагноза издавна использовался метод рентгенологического исследования сосудов печени — ангиография.
- Последние достижения в области медицинской диагностики позволили найти альтернативу ангиографии. Магнитно-резонансная томография и компьютерная томография при болюсном контрастировании сосудов печени позволяет на 100% идентифицировать опухоль.
- Для определения доброкачественности опухоли используют метод изотопного исследования — сцинтиграфию. Биопсию гемангиомы печени с этой целью не проводят из-за высокого риска развития кровотечения в результате повреждения нежной структуры опухоли.
- Проводят ряд анализов биохимических показателей крови.
Если заболевание выявлено впервые, а размеры опухоли не превышают 5 см, то больному показано динамическое наблюдение за ростом гемангиомы. Для этого, через 3 месяца проводят повторное обследование. Если рост опухоли незначительный, или отсутствует, повторные исследования проводят каждые 6 месяцев. При быстром увеличении размеров опухоли заболевание нужно лечить.

Лечение кавернозной гемангиомы печени
Основным способом лечения данной патологии является хирургическое вмешательство, которое требуется лишь в 10% случаев. Операция может быть показана при следующих обстоятельствах:
- Кровотечение из-за разрыва гемангиомы.
- Активный рост опухоли — более 50% в год.
- Размер опухоли превышает 5 см.
- Сдавливание соседних органов брюшной полости гемангиомой.
- Подозрение на злокачественное образование.
- Постоянные дискомфортные ощущения у пациента, ухудшающие качество жизни.
- Необходимость постоянного приема гормональных препаратов.
- Женщинам с кавернозной гемангиомой печени, которые планируют беременность. Повышение уровня стероидных гормонов во время беременности может вызвать быстрый рост опухоли.
Все операции по удалению гемангиомы печени можно классифицировать на две группы:
- радикальные, включающие резекцию анатомического сегмента печени или энуклеацию — вылущивание опухоли;
- паллиативные, направленные на удаление опухоли или прекращение ее кровоснабжения.
Второй тип операций считается более оправданным, так как предполагает максимальное сохранение структуры печени. К этой категории относятся:
- Резекция опухоли с использованием лапаротомии или перевязка кровеносных сосудов опухоли.
- Ангиографическая эмболизация (закупорка) питающей артерии, что позволяет уменьшить размер гемангиомы и остановить ее рост.
- Склерозирование артерии — один из наиболее распространенных методов лечения небольших опухолей. После перевязки печеночной артерии, под контролем УЗИ, выполняется пункция, вводится раствор ферромагнетиков или 96% спирт, что приводит к склеиванию кровеносного сосуда и прекращению питания гемангиомы.
- Лазерная коагуляция кровеносных сосудов опухоли.
- Криовоздействие (замораживание) на артерии, питающие опухоль, с использованием жидкого азота.
Операция по удалению опухоли противопоказана в следующих случаях:
- Цирроз печени.
- Участие в патологическом процессе нижней полой вены или основного ствола воротной вены.
- Хроническая и острая сердечная недостаточность.
- Желтуха.
- Портальная гипертензия.
- Склонность к тромбообразованию и воспалению сосудистой стенки.
В таких ситуациях лечащий врач разрабатывает индивидуальный план консервативной терапии, который включает симптоматическое лечение с использованием медикаментов.
Профилактика заболевания
Профилактические меры при выявленной патологии направлены на ведение щадящего образа жизни, предупреждающего возможность самопроизвольного разрыва гемангиомы, и соблюдение диеты. Так как пораженным органом является печень, рацион питания больного должен исключать продукты, увеличивающие нагрузку на нее: жирную, жаренную, острую и копченную пищу, алкоголь. Следует свести к минимуму воздействие бытовых токсических веществ и табачного дыма.
Прогноз и долгосрочные результаты лечения
Прогноз при кавернозной гемангиоме печени в большинстве случаев является благоприятным. Эти опухоли, как правило, являются доброкачественными и не склонны к малигнизации. Однако, несмотря на это, важно учитывать несколько факторов, которые могут повлиять на долгосрочные результаты лечения и общее состояние пациента.
Во-первых, размер и локализация гемангиомы играют ключевую роль в прогнозе. Малые гемангиомы, которые не вызывают симптомов и не увеличиваются в размерах, часто не требуют активного вмешательства и могут быть просто наблюдаемыми. В таких случаях долгосрочные результаты обычно хорошие, и пациенты могут вести нормальный образ жизни без каких-либо ограничений.
Во-вторых, наличие симптомов, таких как боль в животе, дискомфорт или другие проявления, может потребовать более активного подхода к лечению. В случаях, когда гемангиома вызывает значительные симптомы или осложнения, такие как разрыв или тромбообразование, может потребоваться хирургическое вмешательство. Операции, как правило, имеют высокую эффективность, и большинство пациентов после удаления гемангиомы отмечают значительное улучшение качества жизни.
Кроме того, важно учитывать сопутствующие заболевания и общее состояние здоровья пациента. У пациентов с хроническими заболеваниями печени, такими как цирроз или гепатит, прогноз может быть менее благоприятным, так как эти состояния могут усложнять лечение и увеличивать риск послеоперационных осложнений.
Долгосрочные результаты лечения также зависят от регулярного наблюдения и контроля за состоянием пациента. Рекомендуется проводить ультразвуковое исследование или МРТ через определенные интервалы времени после лечения, чтобы убедиться в отсутствии рецидивов или новых образований. В большинстве случаев, если гемангиома была успешно удалена, риск рецидива остается низким.
В заключение, прогноз при кавернозной гемангиоме печени в целом благоприятный, особенно при отсутствии симптомов и осложнений. Однако для достижения наилучших результатов важно индивидуально подходить к каждому случаю, учитывая все факторы, влияющие на состояние пациента, и проводить регулярное наблюдение после лечения.
Вопрос-ответ
Опасна ли кавернозная гемангиома печени?
Кавернозная гемангиома представлена свободными полостями, которые формируют одну целую опухоль. Капиллярная (или простая) состоит из множества мелких сосудистых полостей с расположенным внутри сосудом. Смешанная – комбинация двух описанных видов.
Можно ли вылечить гемангиому печени без операции?
Вопрос неоднозначный. Во-первых, лечить гемангиому можно только одним методом – хирургическим. При отказе от операции тактика становится выжидательной, то есть пациент просто проходит профилактические обследования с определенной периодичностью.
Советы
СОВЕТ №1
Перед началом лечения кавернозной гемангиомы печени обязательно проконсультируйтесь с опытным специалистом. Диагностика должна включать не только УЗИ, но и МРТ или КТ для точного определения размера и расположения опухоли.
СОВЕТ №2
Обратите внимание на симптомы, такие как боль в правом подреберье, чувство тяжести или дискомфорта. Если вы заметили подобные проявления, не откладывайте визит к врачу для дальнейшего обследования.
СОВЕТ №3
Изучите возможные методы лечения, включая наблюдение, медикаментозную терапию и хирургическое вмешательство. Важно понимать, что не все гемангиомы требуют активного лечения, и иногда достаточно регулярного мониторинга.
СОВЕТ №4
Поддерживайте здоровый образ жизни, включая сбалансированное питание и регулярные физические нагрузки. Это поможет укрепить вашу печень и улучшить общее состояние здоровья, что может быть полезно при наличии кавернозной гемангиомы.



