Пневмосклероз — патологическое состояние легких, при котором нормальная легочная ткань заменяется соединительной, что нарушает дыхательную функцию и снижает газообмен. В статье рассмотрим причины, симптомы и методы диагностики пневмосклероза, а также его влияние на здоровье. Понимание этого заболевания и его последствий важно для своевременного выявления и лечения, что может улучшить качество жизни пациентов с заболеваниями легких.
Анатомия легких
Легкие представляют собой ключевой орган дыхательной системы, занимающий значительную часть грудной полости. Эти органы парные, то есть у каждого человека имеется два легких. Правое легкое делится на три доли, в то время как левое состоит из двух долей (нижнюю переднюю часть грудной клетки слева занимает сердце). Внизу легкие отделены от других органов диафрагмой — плоской мышцей, которая разделяет грудную и брюшную полости. Верхушки легких (верхний полюс) располагаются чуть выше ключицы. Пространство между легкими (за грудиной) называется средостением, где проходят пищевод, крупные сосуды и нервы, а также трахея и два главных бронха. Легкие покрыты специальной оболочкой, известной как плевра, которая выстилает внутреннюю поверхность грудной клетки и переходит на поверхность легких.
С точки зрения анатомии, нижние дыхательные пути включают следующие компоненты:
- трахея;
- главные бронхи;
- бронхи более низкого порядка;
- бронхиолы;
- альвеолярные мешочки.
Врачи подчеркивают, что пневмосклероз представляет собой серьезное заболевание легких, часто возникающее на фоне хронических заболеваний, таких как бронхит или пневмония. Это состояние характеризуется заменой легочной ткани соединительной, что приводит к снижению функциональности органов дыхания. Специалисты предупреждают, что игнорирование таких симптомов, как одышка, кашель и хроническая усталость, может усугубить состояние пациента. Лечение пневмосклероза требует комплексного подхода, включая медикаментозную терапию и, в некоторых случаях, реабилитацию. Важно, чтобы пациенты регулярно проходили обследования и следовали рекомендациям врачей, чтобы предотвратить прогрессирование заболевания и улучшить качество жизни.
Пневмосклероз является серьезным заболеванием легких, которое вызывает значительное беспокойство среди специалистов в области медицины. Эксперты подчеркивают, что данное состояние характеризуется замещением легочной ткани соединительной тканью, что приводит к ухудшению дыхательной функции. Врачи отмечают, что основными причинами пневмосклероза могут быть хронические воспалительные процессы, такие как бронхит или пневмония, а также воздействие токсичных веществ и курение.
По мнению специалистов, ранняя диагностика и своевременное лечение играют ключевую роль в предотвращении прогрессирования заболевания. Они рекомендуют регулярные медицинские осмотры, особенно для людей с предрасположенностью к легочным заболеваниям. Важно также учитывать, что пневмосклероз может быть осложнением других заболеваний, что требует комплексного подхода к терапии. Эксперты акцентируют внимание на необходимости индивидуального подхода к каждому пациенту для достижения наилучших результатов в лечении.

Трахея
Трахея представляет собой полую трубку, которая проводит воздух от гортани к главным бронхам. Она состоит из тонкой мембраны и хрящевых полуколец. Эти кольца располагаются таким образом, что задняя стенка трахеи образована только натянутой мембраной. Основной функцией трахеи является проведение большого объема воздуха к легким. Из-за значительной ее ширины здесь редко застревают инородные предметы. При попадании в трахею мелких пылинок они довольно быстро удаляются отсюда. Дело в том, что слизистая оболочка здесь содержит так называемые ворсинчатые клетки. За счет движения ворсинок происходит выталкивание мелких частиц с поверхности слизистой оболочки в сторону гортани. В средостении трахея делится на два главных бронха. Это место называется бифуркацией (раздвоением ) трахеи.
| Признак | Описание | Значение для диагностики |
|---|---|---|
| Одышка | Чувство нехватки воздуха, усиливающееся при физической нагрузке. | Один из ранних и наиболее частых симптомов, указывающий на нарушение газообмена. |
| Кашель | Сухой, непродуктивный кашель, иногда с небольшим количеством мокроты. | Может быть постоянным или приступообразным, часто усиливается при изменении положения тела. |
| Боль в груди | Тупая, ноющая боль, не связанная с дыханием, или колющая, усиливающаяся при глубоком вдохе. | Может указывать на вовлечение плевры или сопутствующие заболевания. |
| Слабость, утомляемость | Общее снижение работоспособности, быстрая утомляемость даже при незначительных нагрузках. | Неспецифический симптом, но часто сопровождает хронические заболевания легких. |
| Цианоз | Синюшность кожных покровов и слизистых оболочек (губы, кончики пальцев). | Появляется при выраженном нарушении газообмена и гипоксии. |
| Крепитация | Характерный хрустящий звук, выслушиваемый при аускультации легких. | Свидетельствует о наличии фиброзных изменений в легочной ткани. |
| Деформация грудной клетки | Уплощение, асимметрия, бочкообразная грудная клетка. | Развивается при длительном течении заболевания и выраженном фиброзе. |
| Пальцы Гиппократа | Утолщение концевых фаланг пальцев рук и ног, ногти приобретают форму “часовых стекол”. | Признак хронической гипоксии, характерный для тяжелых форм пневмосклероза. |
| Рентгенография легких | Выявление усиления легочного рисунка, деформации, фиброзных тяжей, уменьшения объема легкого. | Основной метод визуализации для подтверждения диагноза и оценки распространенности процесса. |
| Компьютерная томография (КТ) легких | Более детальная визуализация фиброзных изменений, “сотового легкого”, бронхоэктазов. | Позволяет уточнить характер и степень выраженности пневмосклероза, выявить осложнения. |
Интересные факты
Пневмосклероз — это заболевание легких, характеризующееся замещением нормальной легочной ткани соединительной тканью, что приводит к нарушению дыхательной функции. Вот несколько интересных фактов о пневмосклерозе:
-
Причины и факторы риска: Пневмосклероз может развиваться в результате различных заболеваний легких, таких как хронический бронхит, пневмония, туберкулез и даже после длительного курения. Интересно, что даже воздействие токсичных веществ и загрязненного воздуха может способствовать развитию этого заболевания.
-
Симптоматика и диагностика: Пневмосклероз может долгое время протекать бессимптомно, что затрудняет его раннюю диагностику. Часто пациенты начинают замечать проблемы с дыханием только на поздних стадиях заболевания, когда уже произошли значительные изменения в легочной ткани.
-
Лечение и реабилитация: Лечение пневмосклероза может включать как медикаментозную терапию, так и физиотерапию. В некоторых случаях может потребоваться хирургическое вмешательство, например, трансплантация легкого. Реабилитация пациентов с пневмосклерозом часто включает дыхательную гимнастику и занятия физической терапией для улучшения качества жизни и дыхательной функции.

Главные бронхи
Главные бронхи направляют воздух от трахеи к легким. Каждый из бронхов входит в соответствующее легкое. Их просвет немного уже, чем у трахеи. Поэтому, если инородное тело случайно попадает в дыхательные пути (например, при вдыхании монетки или зернышка), оно часто застревает именно в бронхах. Наиболее распространенным местом закупорки являются бронхи правого легкого. Это связано с тем, что в области бифуркации правый главный бронх шире и уходит от трахеи под более острым углом. Под действием силы тяжести мелкие предметы легче попадают именно сюда.
Пневмосклероз — это легочное заболевание, которое вызывает много обсуждений как среди пациентов, так и среди врачей. Многие, кто столкнулся с этой проблемой, отмечают разнообразие симптомов: от одышки и кашля до постоянной усталости. Некоторые пациенты рассказывают, что в начале не обращали внимания на легкий дискомфорт, но со временем их состояние ухудшалось. Важно подчеркнуть, что ранняя диагностика и своевременное лечение могут значительно улучшить качество жизни. Врачебные рекомендации часто включают изменения в образе жизни, отказ от курения и регулярные физические нагрузки. Люди также отмечают значимость поддержки со стороны близких, так как моральная поддержка играет важную роль в процессе выздоровления. Сообщества пациентов становятся все более популярными, где участники обмениваются опытом и советами, что помогает справляться с недугом и сохранять надежду на выздоровление.
Бронхи более низкого порядка
В толще легочной ткани главные бронхи постепенно разветвляются на бронхи более низкого порядка. Существуют основные воздуховодные пути для каждой доли и для каждого сегмента. На этом уровне в слизистой оболочке, покрывающей бронхи, много секреторных клеток. Эти клетки способны вырабатывать слизь. Кроме того, в стенках есть слой гладкой мышечной ткани. По мере уменьшения диаметра бронха из их стенок пропадает хрящевая ткань. Тонус гладких мышц в бронхах и работа железистых клеток регулируются нервной и эндокринной системами. Под их влиянием бронхи могут сужаться или расширяться, а также производить большее или меньшее количество слизи.

Бронхиолы
Бронхиолы представляют собой самые узкие ветви бронхов. Они обеспечивают прямой доступ воздуха к альвеолярным ходам. Каждая бронхиола соединяется с одним альвеолярным мешочком. В стенках бронхиол также находятся гладкомышечные и секреторные клетки.
Альвеолярные мешочки
Альвеолярными мешочками называется скопление маленьких полостей – альвеол. Именно они являются основной структурной и функциональной единицей легких. Каждая альвеола имеет тончайшие стенки, пронизанные капиллярами. Благодаря тонкости стенок возможен обмен газами между вдыхаемым воздухом и кровью в капиллярах. Для обеспечения газообмена клетки в стенках альвеол имеют специальные ферменты. Кроме того, стенки содержат некоторое количество соединительной ткани. Она обеспечивает прочность и эластичность. Таким образом, легкие по большому счету представляют собой множество мельчайших полостей (альвеол ) с воздухом. Ткани стенок, которые отделяют альвеолы друг от друга, называются интерстицием легких. Именно он может быть поражен при различных патологиях.
Легкие, как и сердце, работают непрерывно на протяжении всей жизни человека. Их ритм работы состоит из двух основных фаз – вдоха и выдоха. Вдох является активным процессом. В нем участвуют так называемые дыхательные мышцы. Основными такими мышцами являются диафрагма и межреберные мышцы. Они увеличивают объем грудной клетки. Поскольку плевральная полость герметична, она передает отрицательное давление легким, которые также начинают растягиваться. Увеличение в объеме ведет к всасыванию воздуха. Выдох же является пассивным процессом. Расслабление дыхательных мышц ведет к спаданию легких и изгнанию воздуха.
При пневмосклерозе в структуре легких наблюдаются следующие изменения:
- Утолщение стенок альвеол. Оно происходит из-за разрастания соединительной ткани. Параллельно уменьшается и объем альвеол. Из-за этого больной не может вдохнуть такое же количество воздуха за раз, как здоровый человек. Кроме того, газообмен через утолщенную стенку происходит гораздо медленнее.
- Уменьшение и закрытие просвета бронхов и бронхиол. Постепенное утолщение стенок воздуховодных путей ведет к их сужению и слипанию. Постепенно противоположные стенки срастаются, и определенная часть легкого оказывается отрезанной от бронхиального дерева. В ней скапливается слизь, в альвеолах не происходит движение воздуха. Постепенно весь отрезанный отдел зарастает соединительной тканью и напоминает обыкновенный рубец.
- Уплотнение легкого. Легочная ткань, содержащая меньший объем воздуха, уплотняется. Из-за этого при перкуссии (выстукивании пальцем грудной полости ) получается приглушенный звук.
- Застой крови в малом круге кровообращения. Сосудистая сеть легких носит название малого круга кровообращения. Сюда поступает венозная кровь из правого желудочка (камера сердца ). После обмена газами кровь становится артериальной и идет по легочной вене в левое предсердие. При пневмосклерозе газообмен затруднен, а просвет капилляров сужен. На определенных участках капилляры и вовсе зарастают, вовлеченные в структурные изменения в стенках альвеол. Из-за этого идет застой крови в легких и увеличивается кровяное давление в легочной артерии и правом желудочке.
Причины пневмосклероза
Как уже упоминалось ранее, пневмосклероз может быть вызван множеством различных заболеваний органов дыхания. Эти состояния приводят к изменениям в структуре легких и ухудшению их функциональности. Установление причины пневмосклероза крайне важно для назначения адекватного лечения. Хотя избавиться от фиброзной ткани уже не получится, знание основного заболевания поможет остановить прогрессирование патологического процесса.
Причины возникновения пневмосклероза можно классифицировать на следующие группы:
- интерстициальные болезни легких;
- нарушения гемодинамики;
- пневмокониозы;
- заболевания бронхов;
- инфекционные болезни;
- травмы грудной клетки;
- врожденные патологии;
- плевриты;
- тромбоэмболия;
- использование некоторых медикаментов;
- попадание инородных предметов;
- ионизирующее излучение;
- воздействие токсичных газов;
- идиопатический пневмосклероз.
Интерстициальные заболевания легких
Данная группа включает большой список заболеваний с малоизученной этиологией (происхождением и механизмом развития ). Все они характеризуются поражением альвеол и капилляров, расположенных в их стенках. Инфекционные поражения легких или другие хорошо изученные болезни сюда не относят. Хоть распространенность интерстициальных заболеваний легких и не так высока, они часто ведут к быстро прогрессирующему пневмосклерозу. Предполагается, что механизм появления этих патологий связан с наследственными, аллергическими и гормональными факторами.
Интерстициальными заболеваниями легких, которые могут привести (или косвенно предрасполагают) к пневмосклерозу, являются:
- идиопатический фиброзирующий альвеолит;
- эозинофильная пневмония ;
- синдром Гудпасчера;
- туберозный склероз;
- саркоидоз ;
- поражения легких при системной красной волчанке. системной склеродермии и других воспалительных заболеваниях соединительной ткани.
Лечение всех этих болезней обычно сводится к устранению воспалительного процесса и поддержанию длительных промежутков ремиссии (
период болезни без обострений
). Однако окончательно избавиться от большинства таких патологий не удается. Больные на старости лет обычно доходят до стадии пневмосклероза. При отсутствии лечения это происходит и в более молодом возрасте. Тяжесть пневмосклероза зависит от конкретного заболевания и интенсивности лечения, которое получал пациент.
Гемодинамические нарушения
Гемодинамические расстройства представляют собой нарушения в кровообращении, которые могут иметь множество причин. Пневмосклероз развивается постепенно, когда кровь застаивается в легких. Поскольку именно оттуда кровь поступает в левое предсердие и левый желудочек, чаще всего проблема сосредоточена именно в этих областях.
Наиболее распространенной причиной застоя крови в малом круге кровообращения являются пороки митрального и аортального клапанов. Также стеноз устья аорты может стать причиной данной проблемы. В этих случаях естественные проходы, по которым течет кровь, сужаются. При стенозе митрального клапана наблюдается повышение давления в левом предсердии, а при стенозе аортального – в левом желудочке. В конечном итоге, сосуды легких начинают переполняться.
Длительный застой в малом круге кровообращения приводит к тому, что стенки капилляров проникаются клетками крови. Это состояние называется бурой индурацией легких. В легочной ткани накапливаются железосодержащие соединения, такие как гемосидерин и ферритин. Чем больше этих веществ скапливается, тем быстрее происходит замещение нормальных альвеол соединительной тканью. Обычно это заболевание развивается на протяжении многих лет. Своевременное восстановление нормального кровотока (например, с помощью операции по исправлению порока сердца) может предотвратить дальнейшее развитие пневмосклероза.
Пневмокониозы
Пневмокониозами называются поражения легких, которые являются следствием вдыхания пыли. Существует несколько видов данной патологии в зависимости от характера вдыхаемых частиц. В подавляющем большинстве случаев пневмокониозы являются профессиональным заболеванием. Именно в процессе работы во многих отраслях промышленности и сельского хозяйства работники больше всего контактируют с пылью. При плохо организованном рабочем процессе ее концентрация может превышать 100 г в 1 кубическом метре воздуха. Если при этом не использовать средства индивидуальной защиты (респираторы, маски ), то начальные стадии пневмокониоза могут начать развиваться уже через несколько месяцев.
Скорость прогрессирования болезни зависит не только от количества вдыхаемой пыли, но и от ее химического состава. Некоторые вещества, попадая в легкие, вызывают раздражение слизистой оболочки бронхов, отек легких. повышенное выделение слизи, аллергические процессы. Чем мельче пылевые частицы, тем больше шанс, что они попадут непосредственно в альвеолы.
Вдыхаемая пыль может иметь следующее происхождение:
- Пыль с двуокисью кремния образуется при шлифовке камня, измельчении глины, земляных работах, уборке улиц. Соответствующий вид пневмокониоза называется силикозом.
- Пыль с частицами асбеста может попадать в легкие работников при добыче этого минерала, при использовании его на производстве строительных материалов (шифер, термоизолирующие плиты и др. ). Заболевание носит название асбестоза.
- Пыль с частицами железа попадает в легкие работников в металлообрабатывающих цехах. Больше всего ее образуется при шлифовке готовых изделий, а также при измельчении руды при подготовке к выплавке железа. Соответствующее заболевание называется сидерозом.
- Тальковая пыль образуется на производстве некоторых строительных материалов, при изготовлении ряда фармакологических препаратов. У работников пневмокониоз развивается в течение нескольких лет и называется талькозом.
- Угольная быль содержится в воздухе шахт, на теплоэлектростанциях, на производстве, где уголь используется в качестве топлива. Пневмокониоз на фоне вдыхания угольной пыли называется антракозом.
- Вдыхание пыли тяжелых металлов (свинец, и др. ) получило собирательное название металлозов.
- Вдыхание пыли, содержащей соединения биологического происхождения (шерсть животных, растительные волокна, пыль от сухих листьев, и т. п. ) наблюдается у работников в некоторых отраслях сельского хозяйства. Такая пыль содержит большое количество аллергенов, поэтому в основе развития пневмосклероза у них лежат аллергические процессы.
Все эти заболевания объединяет прямое попадание вредных химических соединений в легкие. Частицы пыли задерживаются в стенках и не полностью удаляются при выдохе. Из-за этого токсичные вещества имеют свойство накапливаться, приводя к ухудшению состояния больных. Признаки пневмосклероза (
иногда без выраженных симптомов
) можно встретить почти у половины работников промышленности и сельского хозяйства со стажем работы более 5 – 7 лет.
Заболевания бронхов
В некоторых случаях пневмосклероз становится поздним последствием ряда заболеваний, затрагивающих бронхиальное дерево. В первую очередь, это касается хронического бронхита и бронхоэктатической болезни. Хронический бронхит характеризуется воспалением слизистой оболочки (как инфекционного, так и неинфекционного характера), утолщением стенок, сужением бронхиального просвета и увеличением выделения слизи. Все эти изменения приводят к ухудшению вентиляции легких и утолщению их стенок. Частые обострения заболевания способствуют разрастанию соединительной ткани вокруг бронхов, что является защитной реакцией организма на воспалительный процесс. Аналогичный механизм наблюдается и при бронхоэктатической болезни, где происходит деформация бронхов и длительное инфекционное воспаление.
Для того чтобы пневмосклероз развился в таких условиях, требуется значительное время (годы или даже десятилетия). Соединительная ткань начинает разрастаться от бронхов, изначально повторяя контуры бронхиального дерева (это называется перибронхиальный склероз). Затем процесс затрагивает и альвеолярные мешочки.
Среди факторов, способствующих повышению риска развития фиброза при хроническом бронхите, можно выделить:
- длительное игнорирование симптомов заболевания;
- недостаточно эффективное лечение обострений;
- курение;
- ослабление общего иммунитета;
- частые переохлаждения;
- вдыхание слишком сухого воздуха (например, при неправильном использовании кондиционеров).
Инфекционные заболевания
Острые и хронические инфекционные процессы в легких являются, пожалуй, самой частой причиной развития пневмосклероза. В данном случае речь идет о попадании в дыхательную систему инфекции различного рода (бактерии. вирусы. паразиты ), которая вызывает стойкий воспалительный процесс или прямое разрушение легочной ткани.
При пневмонии идет речь о поражении самих дыхательных альвеол и заполнении их жидкостью. Обычно пневмонии являются острым заболеванием, при котором выздоровление наступает в течение нескольких недель. Однако в ряде случаев (при определенных видах возбудителей ) может наблюдаться и хроническое течение болезни с образованием инфекционных очагов, плохо поддающихся лечению. Тогда длительное воспаление ткани ведет к ее перерождению. Клетки легких перестают выполнять свои нормальные функции и перерождаются в соединительную ткань. После перенесенных тяжелых пневмоний пневмосклероз может развиться довольно быстро. Во многом это зависит от особенностей возбудителя болезни и эффективности проведенного курса лечения.
Наиболее распространенными возбудителями пневмонии являются:
- вирусы гриппа (особенно атипичные формы );
- аденовирусы;
- респираторный синцитиальный вирус;
- вирус парагриппа ;
- Streptococcus pneumoniae;
- Haemophilus influenzae;
- стафилококки различных видов;
- Mycoplasma pneumoniae (микоплазма );
- Chlamydia trachomatis (возбудитель хламидиоза );
- Escherichia coli (кишечная палочка );
- другие бактериальные и вирусные инфекции .
Кроме того, некоторые микробы (
например, стафилококки
) могут образовывать скопления гноя в легочной ткани. Если при этом обнаруживается патологическая полость с гноем, диагностируют абсцесс легкого. Организм старается изолировать агрессивные микробы и не допустить разрушения большого объема тканей. Для этого он изолирует скопление гноя плотной соединительнотканной капсулой. После естественного (
через бронх
) или искусственного (
хирургическим путем
) вскрытия полости абсцесса идет еще более интенсивное образование соединительной ткани. В таких случаях говорят об очаговом пневмосклерозе.
Другим инфекционным процессом, который может вызвать фиброзные изменения в легких, является размножение паразитов. Дело в том, что некоторые виды глистов (в основном нематоды ) имеют несколько стадий развития в организме человека. На стадии личинки эти паразиты попадают в легкие, где размножаются некоторое время, вызывая воспалительный процесс. Продукты жизнедеятельности паразита провоцируют появление аллергической реакции и скопление в легких эозинофилов (клетки крови, отвечающие за борьбу с вторгшимися микроорганизмами ). Поскольку цикл развития личинок может повторяться длительное время, легочная ткань подвергается серьезным изменениям. При этом основной очаг с паразитами располагается обычно в кишечнике. но симптомы со стороны пищеварительной системы могут и не наблюдаться. Такое коварное течение болезни ведет к затяжным воспалительным процессам в легких и располагает к возникновению очагов пневмосклероза.
Паразитарными инфекциями, способными вызывать поражение легких, являются:
- эхинококкоз ;
- аскаридоз ;
- шистосомоз;
- токсоплазмоз .
Другой весьма распространенной причиной пневмосклероза является туберкулез. Это тяжелое инфекционное заболевание, которое вызвано размножением в легких возбудителя Mycobacterium tuberculosis. При этом происходит разрушение участков легочной ткани. Чаще всего очаги локализуются в верхних долях органа. Туберкулез требует длительного (
месяцы, годы
) непрерывного лечения специальными антибиотиками. После перенесенного заболевания, даже в случае полного выздоровления, очаги, где развивался возбудитель, будут частично замещены соединительной тканью. В запущенных случаях после перенесенного туберкулеза наблюдают даже цирроз легкого – наиболее выраженную форму пневмосклероза. В более легких случаях при своевременно начатом лечении соединительная ткань локализуется в отдельных очагах.
Травмы грудной клетки
Пневмосклероз может возникнуть как следствие травм в области грудной клетки. Чаще всего это связано с проникающими ранениями (колотыми и резаными), которые повреждают не только ребра, но и плевру, а также легочную ткань. Процесс развития пневмосклероза может происходить по нескольким механизмам.
Основные причины возникновения пневмосклероза после травмы включают:
- Инфицирование. Если во время ранения была затронута плевра или легкое, в рану попадает множество микроорганизмов, что приводит к серьезному воспалению. При недостаточно эффективном лечении это может спровоцировать пневмосклероз.
- Образование рубцовой ткани. В месте повреждения формируется рубец, который организм использует для закрытия образовавшегося дефекта. Легочная ткань практически не восстанавливается, и погибшие клетки не могут быть восстановлены.
- Повреждение бронхов и сосудов легких. При травме крупного бронха или кровеносного сосуда их просвет также может зарастать. Это нарушает газообмен и кровообращение не только в области ранения, но и в соседних участках. Пневмосклероз может развиться в целых сегментах или даже долях легкого.
- Развитие плеврита. Даже если легкие не были повреждены, плевра может пострадать. Это может привести к плевриту, который в тяжелых случаях вызывает пневмосклероз (подробности описаны в соответствующем разделе).
- Ателектаз легкого. Ателектаз — это спадение легкого, которое происходит из-за полной закупорки крупного бронха или скопления жидкости в плевральной полости. После травмы плевральная полость может соединяться с внешней средой через дефект в грудной стенке, что приводит к повышению давления в плевральной полости (уравнивается с атмосферным), и легкое спадает под действием своей эластичности. Если ткань долгое время не расправляется, происходит слипание альвеол и разрастание соединительной ткани.
- Повреждение при закрытой травме. Даже при отсутствии видимых повреждений кожи грудной клетки (без проникающего ранения) легкое может быть травмировано. Например, в результате ДТП сильный удар может привести к перелому ребра, которое повредит плевру.
В общем, пневмосклероз при травмах грудной клетки можно считать редким и поздним осложнением. При своевременной медицинской помощи (устранение дефекта, применение антибиотиков и т.д.) вероятность его развития значительно снижается.
Врожденные заболевания
К пневмосклерозу во взрослом возрасте может привести и ряд врожденных заболеваний. Прежде всего, речь идет о нехватке в организме определенных веществ (ферментов. белков в строении клеток и т. п. ). Например, при муковисцидозе в бронхах скапливается вязкая мокрота в больших количествах. Это сильно затрудняет прохождение воздуха. В результате определенные бронхи могут перекрываться полностью, а отделы легкого, которые вентилируются через этот бронх – спадаться. Со временем у пациентов возникают очаги пневмосклероза в наиболее плохо вентилируемых частях легких.
Другими врожденными патологиями, предрасполагающими к развитию пневмосклероза, являются аномалии внутриутробного развития легких и грудной клетки. В ряде случаев при этих заболеваниях часть легкого оказывается сдавленной окружающими органами и не может нормально работать. Застой крови, пережатие сосудов и бронхов со временем ведут к разрастанию соединительной ткани.
Плевриты
Плеврит представляет собой воспаление наружной оболочки легких, известной как плевра. Основными факторами, способствующими возникновению этого воспалительного процесса, являются заболевания соединительной ткани, инфекционные агенты или травмы. В контексте развития пневмосклероза плевриты, как правило, не играют значительной роли, поскольку они не затрагивают саму легочную ткань. Исключение составляют экссудативные плевриты, при которых в плевральной полости накапливается жидкость, что приводит к сжатию нижних долей одного или обоих легких.
Когда ткани легкого сжимаются, происходит перекрытие бронхов и сжатие кровеносных сосудов. Это может привести к развитию ателектаза. Более того, сильно сжатые участки легкого не всегда способны самостоятельно восстановить свою форму. Если жидкость из плевральной полости не будет удалена вовремя, в спавшейся области могут начаться структурные изменения, которые в дальнейшем могут привести к очаговому пневмосклерозу.
Тромбоэмболия
Тромбоэмболией в целом называется полное или частичное перекрытие просвета сосуда тромбом. который был занесен током крови. В легочные артерии такие тромбы попадают в основном из нижних конечностей или правых отделов сердца (при аритмиях и других сердечных патологиях ). Несколько реже встречается тромбоэмболия капельками жира (в основном при переломах крупных костей, так как костный мозг содержит жиры ) или воздухом (во время внутривенной инъекции или травмы сосуда ). Во всех этих случаях тромб достигает в легких сосуда, который не может пройти. Происходит его закупорка и в определенной части легкого не осуществляется обмен газами. Одновременно может наблюдаться застой крови в соседних областях. Если тромб не рассасывается длительное время, пораженный участок легкого постепенно замещается соединительной тканью, а капилляры, по которым не идет кровь, спадаются и зарастают.
Прием некоторых лекарственных средств
В последнее время наблюдается увеличение случаев поражения легочной ткани, связанного с приемом определенных медикаментов. На сегодняшний день не существует исчерпывающей информации по этому вопросу. Известно лишь, что некоторые препараты могут спровоцировать интерстициальный пневмонит, который в свою очередь может привести к пневмосклерозу. Это воздействие связано с индивидуальными особенностями организма пациента, неправильным использованием лекарств или влиянием других внешних факторов.
Согласно некоторым исследованиям, частота интерстициальных легочных поражений, вызванных медикаментами, составляет от 3 до 5% от общего числа случаев. Таким образом, прогрессирующее увеличение соединительной ткани в легких может быть результатом длительного приема определенных лекарств. В таких ситуациях важно обратиться к врачу для корректировки дозировки или замены препарата.
Существуют данные о поражении легких при использовании следующих медикаментов:
- кордарон;
- апрессин;
- азатиоприн;
- метотрексат;
- амиодарон;
- хлорпропамид;
- фуразолидон.
Все эти препараты (а также некоторые менее известные) могут вызывать побочные эффекты, связанные с легкими. Поэтому при их применении крайне важно следовать указаниям врача, а при возникновении новых симптомов со стороны дыхательной системы незамедлительно обращаться к специалисту.
Попадание инородных тел
Попадание инородных тел в нижние отделы дыхательной системы происходит достаточно часто. Особенно распространена данная проблема у маленьких детей, которые играются с мелкими предметами. Монеты или пуговицы размером до 1 см в диаметре вполне способны пройти сужение на уровне горла и попасть в трахею. Обычно это вызывает острое нарушение дыхания с кашлем и одышкой. Однако если предмет был небольшим, он проскальзывает дальше в бронхиальное древо и застревает в бронхе меньшего калибра. Тогда явной симптоматики может и не быть. В то же время в закупоренном бронхе происходит ряд изменений. Область легкого, которая вентилировалась через него, может спасться (ателектаз ). Нарушается также дренаж слизи, которая скапливается возле места закупорки. При повреждении слизистой оболочки имеет место и воспалительный процесс.
Если инородный предмет, попавший в дыхательное горло, своевременно не удалить, то он может привести к образованию соединительной ткани. Пневмосклероз, который разовьется в результате этого, будет очаговым. Захваченной окажется лишь небольшая часть легкого. Помимо детей такая причина пневмосклероза иногда встречается у наркоманов, употребляющих опиаты. Эти вещества подавляют кашлевой рефлекс, что облегчает попадание инородного тела в дыхательные пути.
Ионизирующие излучения
Ионизирующие излучения, или радиация, представляют собой поток мельчайших частиц, способных вызывать молекулярные изменения в веществах, через которые проходят их лучи. Пневмосклероз, как следствие воздействия таких излучений, встречается крайне редко. Основные случаи фиксируются у людей, которые получили значительные дозы радиации за короткий промежуток времени. В первую очередь, это касается жертв и ликвидаторов аварий на Чернобыльской и Фукусимской атомных электростанциях. В гораздо меньшей степени пневмосклероз наблюдается у работников АЭС в условиях отсутствия радиационных утечек. Диагностические методы, такие как флюорография или компьютерная томография грудной клетки, не приводят к развитию пневмосклероза, поскольку дозы радиации, получаемые пациентами (даже при частом проведении исследований), слишком малы для того, чтобы вызвать столь серьезные изменения в организме.
Когда ионизирующее излучение проникает в грудную клетку, оно вызывает изменения в молекулярной структуре. При получении высокой дозы радиации клетки начинают разрушаться, и при этом не формируется какой-либо конкретный очаг поражения. Разрушение клеток происходит хаотично по всей площади легких. Со временем эти поврежденные участки замещаются соединительной тканью, что приводит к развитию пневмосклероза.
На степень поражения легких оказывают влияние следующие факторы:
- общая доза радиации, полученная человеком;
- расстояние до источника радиации;
- продолжительность облучения;
- исходное состояние легких (при наличии хронических заболеваний последствия могут быть более серьезными).
Воздействие отравляющих газов
Данная причина пневмосклероза в медицинской практике встречается очень редко. Речь идет о токсическом воздействии на легочную ткань отравляющих газов, которые могут применяться в качестве химического оружия массового поражения. На данный момент их применение уже более полувека запрещено всеми международными конвенциями. Тем не менее, история знает немало случаев применения этого грозного оружия.
Большинство отравляющих газов, используемых в военных целях, являются производными хлора или органических соединений. Многие из них направлены на поражение нервной системы или блокирование клеточного дыхания. Независимо от механизма действия отравляющего газа на организм, попадает он в него в первую очередь через легкие. При этом происходит разрушение клеток в стенках альвеол, острый воспалительный процесс и отложение токсических соединений в самих легких. Если человек не погибает непосредственно при воздействии газа, а переносит лишь тяжелое отравление, в будущем чаще всего наблюдается развитие пневмосклероза. Он является следствием своеобразной химической травмы легочной ткани. Такой пневмосклероз развивается довольно быстро (в течение первых месяцев или 1 – 2 лет после инцидента ). Затронуты обычно оба легких, так как токсичный газ проникает почти равномерно во все альвеолы. Остановить этот процесс медикаментозно редко удается, и больной страдает от тяжелой дыхательной недостаточности.
К развитию пневмосклероза в будущем может привести вдыхание следующих боевых токсических газов:
- иприт;
- люизит;
- фосген;
- хлорпикрин;
- бромбензилцианид;
- синильная кислота.
Идиопатический пневмосклероз
Идиопатическим пневмосклерозом называют такое состояние, при котором медицинские специалисты не могут точно определить причину его возникновения. Несмотря на современные достижения в области медицины и наличие высокоточных методов диагностики, этот диагноз продолжает встречаться. В подобных ситуациях врач не указывает на конкретный источник патологического процесса, а лишь фиксирует факт замещения легочной ткани соединительной и оценивает степень дыхательной недостаточности.
Виды пневмосклероза
Как уже объяснялось выше, у пневмосклероза существует множество различных причин, каждая из которых имеет свои особенности влияния на легкие. В связи с этим и изменения в тканях будут иметь некоторые характерные черты. Долгие годы наблюдений за больными позволили выделить несколько форм пневмосклероза, которые имеют практическое значение. В большинстве случаев врач указывает основные критерии течения болезни у конкретного пациента при формулировке диагноза. При этом он руководствуется несколькими общепринятыми классификациями.
С точки зрения структурных изменений в легких выделяют следующие формы болезни:
- Пневмосклероз. под которым подразумевают патологический процесс, характеризующийся уплотнением паренхимы (ткани ) легкого. Происходит такой склероз вследствие избыточного разрастания зрелой плотной соединительной ткани, которая замещает нормальную.
- Пневмофиброзом называется умеренный пневмосклероз без выраженного уплотнения ткани, хотя во многих источниках четкого разграничения этих понятий не существует. Различает их лечащий врач, руководствуясь субъективной оценкой изменений. Как правило, пневмофиброз, будучи более ранней стадией болезни, прогрессирует в пневмосклероз.
- Пневмоцирроз – это не слишком распространенный термин, иногда используемый для обозначения сильно выраженного пневмосклероза. Цирроз легкого характеризуется деформацией и полной перестройкой его тканевой структуры. Бронхиолы и капилляры в пораженном участке зарастают, а газообмена не происходит вовсе. Как правило, пневмоцирроз развивается лишь при очень агрессивных воздействиях на ткани легкого (токсичные газы, тяжелый туберкулез ).
Кроме интенсивности процесса, отраженной в этой классификации, при постановке диагноза нужно указать локализацию патологического процесса. Для ее уточнения необходимо провести более точные диагностические процедуры (
рентген легких. компьютерная томография. магнитно-резонансная томография
). На основе полученных данных и определяется локализация пневмосклероза.
В зависимости от поражения тех или иных структур легкого выделяют следующие виды пневмосклероза:
- Интерстициальный склероз. Об интерстициальном склерозе говорят, когда патологический процесс начался от участков соединительной ткани в легких. Наиболее толстые ее прослойки располагаются между сегментами и долями легкого. Такое течение болезни встречается при системных заболеваниях соединительной ткани (волчанка, склеродермия, и др. ).
- Альвеолярный склероз. В данном случае идет утолщение непосредственно стенок альвеол и зарастание их полостей соединительной тканью. Это встречается при хронических пневмониях и других воспалительных процессах в альвеолах.
- Перибронхиальный склероз. Данный тип развивается после тяжелых хронических бронхитов или на фоне бронхоэктатической болезни. В этом случае первые очаги разрастания соединительной ткани локализуются вокруг бронхов и бронхиол различного калибра.
- Периваскулярный склероз. Данный тип встречается при васкулитах (воспаление капилляров легких ) различного происхождения, а также при выраженном застое крови в легких (митральный стеноз. стеноз устья аорты, кардиосклероз ). Первыми утолщаются и деформируются стенки сосудов в малом круге кровообращения. По мере прогрессирования болезни поражаются и другие структуры легких.
Кроме того, существует классификация пневмосклероза по распространенности патологического процесса:
- Очаговый склероз. Очаговым склерозом называется замещение небольшого участка легочной ткани на соединительнотканный рубец. Для данного вида указывают его локализацию (в какой доле размещен очаг ) и размер. Различают крупноочаговый (до 1 см ), среднеочаговый (3 – 6 мм ) и мелкоочаговый (до 3 мм ) склероз. Обычно болезнь не останавливается на данной стадии, и очаги несколько увеличиваются в размерах. По количеству очагов иногда классифицируют единичные и множественные образования.
- Сегментарный склероз. Сегментарный пневмосклероз охватывает весь сегмент легкого. Он обычно вызван закупоркой основного бронха, дренирующего эту область, либо тромбоэмболией артерии, несущей сюда кровь. В таких случаях болезнь останавливается и не прогрессирует с поражением соседних сегментов.
- Ограниченный (долевой) склероз. Данный вид характеризуется поражением целой доли легкого. Причины его развития те же, что и у сегментарного склероза, просто происходит закупорка более широкого бронха или артерии. Также он может развиться на фоне затяжной крупозной пневмонии. Так как в обоих легких всего 5 долей, выключение из работы даже одной из них обычно заметно сказывается на дыхательной функции. В связи с этим долевой пневмосклероз диагностируют быстрее. Болезнь редко прогрессирует дальше, так как доли четко отграничены друг от друга прослойками соединительной ткани.
- Диффузный склероз. Диффузный склероз возникает, если крупные очаги соединительной ткани располагаются во всех сегментах легкого, либо паренхима органа поражена равномерно. Чаще всего его причиной является агрессивное химическое или физическое воздействие. Здесь нельзя выделить более или менее пораженную область. Вся ткань органа с двух сторон постепенно замещается на соединительную.
- Смешанный склероз. Данный тип болезни диагностируется довольно редко. Он характеризуется наличием двух или более вышеописанных поражений у одного пациента. Например, если в одном легком поражена целая доля, а во втором имеется несколько очагов различных размеров.
Все вышеперечисленные формы болезни являются важными для понимания процесса, который происходит в организме пациента. Однако большого влияния на лечение больного эти классификации не оказывают. Для более точного описания состояния пациента определяют не структурные, а функциональные нарушения. При пневмосклерозе это дыхательная недостаточность, которая отражает, насколько легкие могут выполнять свои функции. Существует общепринятая классификация дыхательной недостаточности на несколько степеней тяжести.
Степени тяжести дыхательной недостаточности
Степень нарушения дыхания
Парциальное давление кислорода в крови (мм ртутного столба )
Даная классификация является универсальной и широко применяется в лечении не только пневмосклероза, но и многих других заболеваний дыхательной системы. В ее основе лежат главные физиологические параметры, характеризующее количество кислорода, которое идет к тканям. От стадии к стадии меняется симптоматика и, соответственно, должны быть изменена тактика лечения пациента.
Симптомы пневмосклероза
При пневмосклерозе степень выраженности симптомов во многом зависит от активности патологического процесса. Чем интенсивнее происходит замещение легочной ткани соединительной, тем больше разнообразных жалоб испытывает пациент, и тем хуже становится его общее состояние. На ранних стадиях перибронхиального склероза или при наличии небольших очагов симптомы могут отсутствовать. Это связано с тем, что в норме человек не использует весь объем легких для дыхания. Если небольшая часть легкого перестает функционировать, другие участки компенсируют недостаток кислорода. Таким образом, на начальных этапах признаки заболевания может выявить только врач в ходе диагностики.
При фиброзе значительной части легких уменьшается объем вдыхаемого воздуха, что приводит к снижению поступления кислорода в организм. Это, в свою очередь, вызывает хроническую дыхательную недостаточность, которая становится причиной большинства симптомов и жалоб пациентов.
К наиболее распространенным симптомам пневмосклероза относятся:
- одышка;
- цианоз (посинение кожи);
- изменение формы грудной клетки;
- пальцы Гиппократа;
- кашель;
- повышенная утомляемость;
- потеря веса.
Одышка
Одышка представляет собой нарушение дыхания, при котором пациент длительное время не может восстановить нормальный ритм (отдышаться ). Часто для этого ему приходится принять полусогнутое положение, опираясь на что-либо руками. Это задействует дополнительные группы дыхательных мышц и облегчит вентиляцию легких.
Одышка на ранних этапах возникает в связи с физической или эмоциональной нагрузкой. Особенно часто дыхание нарушается при длительной нагрузке (например, у бегунов ). Это связано с тем, что легкие не могут обеспечить поставку кислорода в организм. В норме при нагрузке происходит растяжение этого органа, и объем воздуха за один вдох увеличивается. При пневмосклерозе же эластичность легочной ткани снижена, и часть ткани легких зарастает соединительной тканью. Из-за этого организм перестает получать должный объем кислорода. Он пытается восполнить сниженный объем легких повышением частоты дыхания, но и этот механизм компенсирует нарушение лишь до определенной степени.
При выраженном диффузном пневмосклерозе или циррозе легкого одышка может наблюдаться и в состоянии покоя. Приступы появляются даже в лежачем положении. Это сильно снижает качество жизни пациентов, поскольку они попросту теряют трудоспособность.
Цианоз
Цианоз представляет собой посинение кожи, вызванное недостатком кислорода в организме. В нормальных условиях здоровый цвет лица обеспечивается насыщением подкожных капилляров артериальной кровью, которая содержит оксигемоглобин (составная часть гемоглобина, связанная с кислородом) и имеет ярко-красный оттенок. При нарушениях газообмена в крови увеличивается уровень карбоксигемоглобина (составная часть гемоглобина, связанная с углекислым газом), который имеет более темный цвет. В тяжелых случаях может наблюдаться расширение вен из-за застоя венозной крови.
Цианоз чаще всего проявляется в следующих областях:
- кончик носа;
- мочки ушей;
- губы;
- кожа лица и шеи;
- кончики пальцев рук и ног.
Если у пациента возникает этот симптом, это должно вызвать беспокойство. Обычно цианоз указывает на наличие проблем с легкими или сердцем. У людей с пневмосклерозом он возникает при значительном замещении нормальной легочной ткани. Чаще всего цианоз не является единственным признаком и сопровождается одышкой, мышечной слабостью и потерей веса.
Изменение формы грудной клетки
На поздних стадиях пневмосклероза, когда поражена значительная часть легочной ткани, у пациентов могут наблюдаться некоторые изменения в области грудной клетки. Это объясняется тем, что легкие, которые в норме занимают большую часть этой области, уменьшаются в объеме. Из-за этого создается отрицательное давление в грудной полости.
Внешними проявлениями пневмосклероза могут быть:
- Бочкообразная форма грудной клетки. При этом нижние ребра немного выпирают в стороны и вперед, и грудная клетка напоминает цилиндр. Этот симптом является признаком эмфиземы (расширения отдельных частей легкого ), которая иногда наблюдается на ранних стадиях пневмосклероза. Если, например, одна доля перестает функционировать, другие расширяются. В них попадает больший объем воздуха, что и ведет к расширению всей грудной клетки и изменению ее формы. На более поздних этапах, по мере прогрессирования фиброза, эмфизема уходит. Для таких больных бочкообразная грудная клетка уже не характерна.
- Втягивание межреберных промежутков. Промежутки между ребрами в норме содержат волокна коротких межреберных мышц, участвующих в процессе дыхания. При отрицательном давлении в грудной клетке, которое характерно для пневмосклероза, эти мышцы немного втягиваются внутрь и контуры ребер очерчиваются более выражено. Данный симптом характерен для цирроза легкого. Он может быть односторонним, если склерозировано только одно из легких.
- Углубление подключичных ямок. Механизм появления этого симптома такой же, как и в предыдущем случае. Ямка между трапециевидной мышцей и ключицей углубляется, а сама кость обтягивается кожей с трех сторон. Симптом редко бывает односторонним и характерен для цирроза легкого.
- Отставание легкого в процессе дыхания. При одностороннем пневмосклерозе дыхательные движения со стороны поражения имеют меньшую амплитуду. Это хорошо заметно при глубоком вдохе и внимательном осмотре грудной клетки. Задержка происходит из-за отрицательного давления в грудной полости.
Пальцы Гиппократа
Пальцы Гиппократа, также известные как барабанные пальцы, представляют собой симптом, который может проявляться при различных хронических заболеваниях сердечно-сосудистой и дыхательной систем. У пациентов с выраженной дыхательной недостаточностью, например, при пневмосклерозе, наблюдается изменение формы ногтевых фаланг. Со временем они становятся более широкими и толстыми по сравнению с другими фалангами, что приводит к тому, что пальцы начинают напоминать барабанные палочки с утолщением на кончиках. Эти изменения могут затрагивать пальцы обеих рук. Причиной данного процесса считается хроническая нехватка кислорода и изменения в структуре костной ткани.
В дополнение к пальцам Гиппократа часто фиксируется и изменение формы ногтей, известное как «ногти в форме часовых стекол». В этом случае ногти становятся более округлыми, а их центральная часть приподнимается, создавая вид купола. Если попросить пациента соединить ногти больших пальцев, это нарушение будет легко заметно.
Кашель
Кашель у пациентов с пневмосклерозом является непостоянным симптомом. Он может появляться при физической нагрузке или (на поздних стадиях болезни ) при попытке сделать глубокий вдох. Дело в том, что ткань легких при фиброзе лишается эластичности. Глубокий вдох, который требует растяжения органа, становится попросту невозможен. Перерастяжение легочной ткани ведет к появлению кашля, который является естественным защитным механизмом со стороны дыхательной системы.
При отсутствии инфекции или сопутствующих заболеваний кашель сухой, без отделения мокроты. Он появляется периодически и редко бывает в виде затяжных приступов.
Повышенная утомляемость
Повышенная утомляемость часто возникает из-за дыхательной недостаточности. При снижении объема легких артериальная кровь содержит меньше кислорода, который необходим для нормального функционирования тканей. Во время физической активности человек активирует определенные группы мышц. Клетки этих мышц, активно сокращаясь, требуют значительное количество кислорода. Если кислорода недостаточно, сила и амплитуда сокращений уменьшаются, что приводит к ощущению усталости. После выполнения физических упражнений в мышцах может накапливаться молочная кислота, которая образуется в условиях нехватки кислорода.
Практически все пациенты с пневмосклерозом отмечают утомляемость и мышечную слабость. При локализованном поражении соединительной ткани в легких эти симптомы могут быть не столь выраженными, однако с прогрессированием заболевания они становятся более заметными.
Потеря веса
Для усвоения питательных веществ, получаемых человеком с пищей необходима нормальная работа различных систем организма. Одним из ключевых элементов при этом является кислород. Только при его достаточном количестве в крови идет интенсивное деление клеток и образование новых тканей. У пациентов с пневмосклерозом, из-за дыхательной недостаточности, кислорода в крови мало. Даже при усиленном питании полученные вещества усваиваются плохо и затруднено не только наращивание мышц, но и образование жировой прослойки. Из-за этого пациенты, страдающие пневмосклерозом, обычно выглядят болезненно худыми и не могут набрать массу.
Все эти симптомы в той или иной мере являются следствием дыхательной недостаточности. Они вызваны именно пневмосклерозом, то есть непосредственно замещением легочной ткани на соединительную. Однако, как уже упоминалось выше, пневмосклероз сам обычно является осложнением другой патологии. В связи с этим параллельно могут наблюдаться и другие симптомы, вызванные не разрастанием соединительной ткани, а сопутствующими патологическими процессами.
У многих пациентов с пневмосклерозом наблюдаются следующие симптомы сопутствующих болезней:
- отделение мокроты;
- боли в грудной клетке;
- набухание шейных вен;
- усиленное сердцебиение;
- повышение температуры .
Отделение мокроты
Отделение мокроты не является прямым следствием пневмосклероза. Оно возникает, когда соединительная ткань разрастается в результате инфекционного процесса в легких. В таких случаях в легких начинает активно накапливаться мокрота, которая образуется как слизистой оболочкой бронхов, так и самими микроорганизмами, что связано с накоплением продуктов их жизнедеятельности. Поскольку хронические пневмонии, бронхоэктатическая болезнь, абсцессы легкого и туберкулез являются распространенными причинами пневмосклероза, отделение мокроты при кашле наблюдается довольно часто.
При хронических бронхитах или затяжной пневмонии мокрота обычно имеет желтоватый или зеленоватый цвет. Это зависит от тех микроорганизмов, которые развиваются в пораженной ткани. В случае абсцесса наблюдается обильное выделение мокроты с гнойными примесями. Гной образуется в полости абсцесса, затем попадает в бронхи и выходит при кашле. При туберкулезе происходит разрушение легочной ткани, что также может сопровождаться обильным отделением мокроты, иногда с примесями крови.
Лечение основного заболевания, включая прием антибиотиков или муколитиков, постепенно приводит к улучшению состояния. Микробы в легких уничтожаются, и выделение мокроты при кашле прекращается. Однако из-за наличия пневмосклероза риск возникновения нового инфекционного процесса остается повышенным.
Боли в грудной клетке
Сама легочная ткань не имеет нервных окончаний. Из-за этого образование абсцесса или разрушение легкого при туберкулезе являются чаще всего безболезненными процессами. Боль появляется в тех случаях, когда патологический процесс затрагивает плевру, которая содержит большое количество нервных окончаний. Обычно боли возникают при плевритах, инфекционном процессе у самого края легкого, при травме грудной клетки. Резкая боль может чувствоваться и во время приступа кашля (особенно при наличии инфекции ).
Без поражения плевры или развития болезнетворных бактерий боли в груди не характерны для пневмосклероза. Этот симптом можно устранить, так как болезни, которые его вызывают, поддаются лечению.
Набухание шейных вен
Наблюдение за набуханием вен на шее характерно для пациентов с тяжелыми и запущенными формами пневмосклероза. Этот признак указывает на развитие легочного сердца, которое является частым осложнением данного заболевания. В результате повышается давление в малом круге кровообращения, что приводит к нарушению кровообращения в правых отделах сердца. Это, в свою очередь, вызывает застой крови в крупных венах, направляющихся к сердцу. Поскольку шейные вены располагаются близко к поверхности кожи, их расширение становится особенно заметным.
Усиленное сердцебиение
В норме человек не ощущает, как бьется его сердце. Неприятные ощущения, связанные с усиленным сердцебиением, возникают обычно при нарушении сердечного ритма. Подобные проблемы весьма часто встречаются у людей с легочным сердцем. Данная проблема характерна для пожилых пациентов, у которых пневмосклероз развивался в течение долгих лет. Поначалу усиленное сердцебиение и нарушение ритма возникают при физической нагрузке. По мере увеличения правых отделов сердца (гипертрофии ) данный симптом все чаще появляется и в состоянии покоя.
Обычно проблемы с сердцем у пациентов с пневмосклерозом склонны к прогрессированию. Это объясняется тем, что поражение сердца вторично. Его причиной является нарушение кровообращения (а именно застой крови ) в малом, а затем и в большом круге кровообращения. Избавиться же от пневмосклероза невозможно без радикальной операции (пересадка легкого ). В связи с этим симптоматическое лечение проблем с сердцем обычно не дает ощутимого эффекта.
Повышение температуры
Повышение температуры тела не является характерным признаком пневмосклероза. Этот симптом чаще всего возникает в результате инфекционного процесса, который может наблюдаться при хронической пневмонии, бронхите, а в редких случаях – при туберкулезе. Также иногда температура может повышаться из-за поражения легких паразитами. Правильное лечение инфекционного процесса способствует снижению температуры.
Частое повторное повышение температуры до 37-38 градусов может наблюдаться при длительном течении туберкулеза. Эта инфекция отличается сложностью в лечении. Периоды ремиссии сменяются рецидивами, во время которых температура тела повышается.
В целом, среди всех упомянутых симптомов только изменения формы грудной клетки являются типичным признаком пневмосклероза. При появлении таких изменений предварительный диагноз можно установить уже на основании этого симптома, хотя он иногда встречается и при других заболеваниях. Остальные симптомы могут указывать на различные болезни дыхательной и сердечно-сосудистой систем и скорее отражают общее состояние пациента, не позволяя установить окончательный диагноз.
Диагностика пневмосклероза
Пациенты с характерными симптомами должны быть тщательно обследованы для подтверждения диагноза. Обычно пневмосклероз развивается на фоне других хронических болезней легких и пациент уже знает о проблемах с дыхательной системой. В связи с этим можно сразу обращаться в отделение пульмонологии (
при туберкулезе – в отделение фтизиатрии
). При отсутствии специализированного отделения диагностику и лечение пневмосклероза проводят в других терапевтических секциях.
Первым шагом в диагностике данного заболевания является общий осмотр пациента. Его проводит врач-терапевт или пульмонолог на первой консультации. В ходе общего осмотра могут быть применены быстрые приблизительные методы обследования, которые не дают исчерпывающей информации о болезни, но могут помочь в постановке предварительного диагноза.
В ходе общего осмотра врач выявляет следующие признаки пневмосклероза:
- Уменьшение легочных границ при перкуссии. Перкуссия – это выстукивание органов пальцем с определением звука. Данный метод позволяет приблизительно установить границы внутренних органов. Как уже отмечалось, при пневмосклерозе легочная ткань спадается, и границы органа смещаются к грудине.
- Притупление перкуторного звука. В норме во время перкуссии легких получается достаточно насыщенный, гулкий звук, так как орган заполнен воздухом. Если же у пациента какой-либо участок легких склерозирован, то звук над ним будет более коротким, так как воздуха в пораженном участке почти нет.
- Ужесточение дыхания при аускультации. Прослушивая легкие с помощью стетофонендоскопа, врач в норме слышит шум разлипания альвеол (везикулярный шум ). При пневмосклерозе он становится более жестким, так как легкие теряют эластичность, а стенки воздуховодных путей утолщаются.
- Обнаружение изменений на грудной клетке. В данном случае речь идет об углублении надключичной ямки, втягивании межреберных промежутков, обнаружении пальцев Гиппократа. Все эти симптомы могут быть не замечены пациентом, но должны быть учтены при осмотре у врача.
- Учащение пульса и повышение давления. Данные симптомы не постоянны при пневмосклерозе. Они являются следствием гемодинамических нарушений и отражают работу сердца.
Если данные первичного осмотра дают основание подозревать пневмосклероз, то переходят к следующему этапу в диагностике. Для получения более точных сведений о патологическом процессе проводится инструментальное обследование пациента.
Для диагностики пневмосклероза могут быть применены следующие инструментальные методы исследования:
- рентгенография;
- спирография;
- бронхоскопия ;
- компьютерная (КТ ) и магнитно-резонансная (МРТ ) томография.
Рентгенография
Рентгенография является одним из ключевых методов для диагностики пневмосклероза. Процедура выполняется с использованием рентгеновского аппарата — устройства, которое преобразует электрическую энергию, поступающую от источника питания, в рентгеновское излучение. Приемником этого излучения служит рентгеновская пленка, на которую попадают лучи после прохождения через тело пациента.
Способность рентгеновских лучей проникать через ткани зависит от их химического состава и структуры легких. То есть, некоторые компоненты легочной ткани, такие как ребра, фиброзная ткань и сосуды, поглощают излучение более интенсивно, чем другие, например, альвеолы и бронхи. Это наблюдается как в норме, так и при различных заболеваниях, включая пневмосклероз. В результате, интенсивность излучения до и после прохождения через грудную клетку будет различаться. Когда рентгеновское излучение попадает на пленку, оно создает уникальный рисунок благодаря фотохимическому эффекту. Таким образом, рентгенограмма представляет собой плоское изображение трехмерной структуры грудной клетки. Светлые участки на пленке обозначают области затемнения, а черные — просветления. Чем больше затемнение, тем сильнее оно поглощает излучение, и наоборот.
Во время рентгенографии пациента располагают между рентгеновской трубкой и кассетой, при этом грудная клетка должна плотно соприкасаться с кассетой. Расстояние между трубкой и пациентом составляет от 60 до 100 см. Рентгенография может быть как прицельной, так и обзорной. Существует два основных типа проекции: прямая (пациент стоит лицом или спиной к пленке) и боковая. В целом, процедура занимает от 1 до 5 минут. Обычно результаты становятся доступны на следующий день, так как пленка требует обработки в фотолаборатории. На современных аппаратах изображение может быть получено гораздо быстрее в цифровом формате.
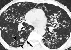
Признаки пневмосклероза на рентгенограмме включают:
- Затемнение в легких. Оно может варьироваться по площади и интенсивности. Например, при циррозе затемнение будет очень выраженным, тогда как на ранних стадиях фиброза — едва заметным. Полное затемнение указывает на наличие склероза во всем легком, субтотальное — в одной из долей, а ограниченное — в конкретном сегменте.
- Изменение легочного рисунка. Легочный рисунок представляет собой кровеносные сосуды, которые контрастируют на фоне легочных альвеол, бронхов и соединительнотканных прослоек. При пневмосклерозе наблюдается выделение этих структур из-за разрастания фиброзной ткани вдоль сосудов, бронхов и других анатомических образований.
- Уменьшение размера легкого. Если пневмосклероз затрагивает только одно легкое, оно будет меньше по сравнению с другим. Это связано с тем, что в пораженный участок поступает меньше воздуха, а его эластичность ограничена.
- Смещение средостения. На рентгенограмме средостение выглядит как неравномерное затемнение, расположенное в центре снимка, за грудиной. Если одно из легких уменьшилось в объеме из-за пневмосклероза, тень средостения будет смещена в сторону пораженного легкого.
Спирография
Спирография – это основной метод исследования дыхательной функции человека. С помощью специального аппарата регистрируется объем воздуха, проходящего в легкие, а также его скорость движения. При пневмосклерозе объем легких сильно снижен. Обычно параллельно регистрируют учащение дыхания (более 20 дыхательных движений в минуту ). Все это позволяет установить степень дыхательной недостаточности и подобрать наиболее эффективные препараты. Спирография является быстрым, недорогим и безболезненным методом исследования. К сожалению, с ее помощью невозможно установить причину развития пневмосклероза.
Бронхоскопия
Бронхоскопия — это процедура, при которой в трахею и бронхи вводится специальная миниатюрная камера. Несмотря на предварительное обезболивание слизистой оболочки дыхательных путей, данное вмешательство может быть довольно неприятным. При наличии пневмосклероза с помощью камеры редко удается увидеть сам участок разрастания соединительной ткани, так как она не проникает в мелкие бронхи. Тем не менее, изменения в слизистой оболочке бронхов, которые врач сможет заметить во время осмотра, могут помочь выявить причину пневмосклероза. Кроме того, в процессе бронхоскопии есть возможность провести биопсию, то есть взять образец ткани из стенки бронха. Полученный материал затем исследуется под микроскопом. Анализ клеточного состава ткани часто позволяет установить точный диагноз и предотвратить дальнейшее развитие пневмосклероза.
Компьютерная и магнитно-резонансная томография
Данные методы исследования являются весьма информативными при пневмосклерозе, но используются довольно редко из-за высокой стоимости процедуры. КТ представляет собой серию рентгенографических снимков высокого качества, которые позволяют выявить даже небольшие образования в легких. МРТ предполагает получение трехмерного изображения легких с помощью мощного магнитного поля (регистрируется движение заряженных частиц в тканях ). Эти методы способны обнаружить при пневмосклерозе мелкие очаги разрастания соединительной ткани или начинающееся утолщение стенок сосудов (альвеол, бронхиол и т. п. ) на ранних стадиях болезни. КТ и МРТ используются в основном для обследования больных, у которых причина развития пневмосклероза не ясна. Также их назначают иногда перед оперативным вмешательством (в случае травм грудной клетки, при аномалиях развития легких ) для уточнения локализации патологического процесса.
Обычно для подтверждения диагноза хватает анализа жалоб пациента и проведения рентгенографии. Несколько сложнее выявить причину развития пневмосклероза. В связи с этим при диагностике пациента назначаются не только вышеперечисленные процедуры (обнаруживающие разрастание соединительной ткани ), но и другие диагностические исследования. Эти методы применяются не столько для подтверждения диагноза, сколько для установления причины пневмосклероза. Они рекомендованы практически всем больным с целью постановки более полного диагноза.
В программу обследования пациентов также входят следующие диагностические процедуры:
- Общий анализ крови и мочи. Данный анализ при пневмосклерозе позволяет заподозрить наличие воспалительного процесса (по уровню лейкоцитов и лимфоцитов ). Практически у всех больных повышается уровень эритроцитов. Это компенсаторный механизм в условиях дыхательной недостаточности. Меньший объем крови при этом может поглотить больший объем кислорода. Рост уровня эозинофилов обычно говорит о паразитарных инфекциях. При отсутствии сопутствующих патологий или осложнений выраженных изменений в общем анализе крови может и не быть вовсе.
- Биохимический анализ крови. В биохимическом анализе крови могут наблюдаться самые разные изменения. Зависит это от причины, которая вызвала пневмосклероз. Наиболее часто отмечается слегка повышенный уровень гемоглобина, серомукоида, фибрина. При развитии легочного сердца повышенными могут быть аминотрансферазы (печеночные ферменты ), билирубин. креатинин. Данные изменения в биохимическом анализе крови говорят о необходимости срочного начала лечения.
- Иммунологический анализ крови. Иммунологический анализ измеряет количество лимфоцитов различного вида. Полученные результаты могут подтвердить аллергическую или аутоиммунную природу патологического процесса. При инфекционных заболеваниях оценивается уровень иммуноглобулинов (антител против определенной инфекции ). Их содержание в крови может не только помочь в подтверждении диагноза, но и установить давность болезни.
- Электрокардиография. Электрокардиографию (ЭКГ ) проводят для оценки функции сердца. Как уже отмечалось выше, легочное сердце и нарушения сердечного ритма являются частыми осложнениями пневмосклероза. На электрокардиограмме же отражается большинство нарушений. Опытный кардиолог может дать ценное заключение, в котором косвенно будет отражена и работа легких. Кроме того, электрокардиография (и эхокардиография ) помогает установить стеноз аорты или митрального клапана, которые могли стать первопричиной пневмосклероза.
- Эхокардиография и допплерография. Эхокардиографию назначают для получения изображения сердца методом УЗИ. Это необходимо, чтобы своевременно обнаружить гипертрофию правого желудочка и развитие легочного сердца. Допплерография позволяет к тому же измерить давление в легочной артерии, которое будет повышенным у пациентов с пневмосклерозом.
- Общий и бактериологический анализ мокроты. При отделении у пациента мокроты во время кашля желательно сделать ее бактериологический анализ. Материал, полученный от пациента, помещают на питательные среды. Возбудители болезни выращиваются на них в специальных условиях. Нередко это позволяет подтвердить инфекционную природу пневмосклероза и подобрать правильные антибиотики для курса лечения.
Лечение пневмосклероза
После установления диагноза и выяснения причин возникновения и особенностей течения пневмосклероза, врач-пульмонолог разрабатывает план лечения. В случаях выраженной дыхательной недостаточности требуется госпитализация пациента для поддержания жизненно важных функций, так как существует высокий риск серьезных осложнений. После стабилизации состояния пациента его выписывают, и лечение продолжается в амбулаторных условиях. Важно отметить, что эффективных способов лечения пневмосклероза практически не существует, поскольку разрастание соединительной ткани в легких является необратимым процессом. В большинстве случаев терапия будет сосредоточена на устранении основной болезни, чтобы предотвратить дальнейшее прогрессирование состояния, а также на борьбе с хронической легочной недостаточностью. Лечение пневмосклероза требует комплексного подхода. Рекомендуется регулярно проходить анализы и функциональные обследования для оценки эффективности применяемых методов.
Лечение пневмосклероза должно осуществляться в следующих направлениях:
- борьба с дыхательной недостаточностью;
- устранение причины склероза;
- профилактика осложнений.
Борьба с дыхательной недостаточностью
Дыхательная недостаточность является основной проблемой у пациентов с пневмосклерозом и причиной появления большинства симптомов. Она сводится к ухудшению вентиляции легких (по различным причинам ) и понижению содержания кислорода в крови. Если остановить прогрессирование основного заболевания (которое вызвало пневмосклероз ), то бороться с хронической дыхательной недостаточностью можно медикаментозно. Для этого применяются самые разные группы препаратов.
Лекарственные средства при хронической дыхательной недостаточности
Внутрь 30 мг/сут в течение 10 – 14 дней.
Данные препараты при пневмосклерозе нужно использовать только по назначению врача. Некоторые группы лекарственных средств имеют серьезные противопоказания. Без знания точного диагноза или при неправильном применении они могут серьезно ухудшить состояние пациента.
Помимо вышеперечисленных фармакологических препаратов при сильном снижении уровня кислорода в крови с успехом применяют кислородные маски. При их использовании пациент дышит смесью кислорода и углекислого газа в регулируемой пропорции. Это помогает переждать кризис и восстановить дыхание.
В качестве радикального средства при выраженном пневмосклерозе с тяжелой дыхательной недостаточностью может быть проведена трансплантация (пересадка ) легкого. Эта операция чрезвычайно сложна в исполнении. Она проводится лишь в самых передовых клиниках мира из-за высокой стоимости и необходимости специального оборудования. Пересадку выполняют лишь в том случае, если доказано, что причина развития пневмосклероза окончательно устранена. В противном случае (при аутоиммунных процессах, системных заболеваниях ) пересаженные легкие со временем также подвергнутся склерозированию. В среднем данная хирургическая операция помогает продлить жизнь пациентам с пневмосклерозом на 4 – 5,5 лет.
Устранение причины склероза
Устранение причин пневмосклероза является ключевым аспектом в процессе лечения. Если не выявить и не устранить основное заболевание, патологический процесс будет продолжать развиваться, соединительная ткань будет увеличиваться, а дыхательная недостаточность будет ухудшаться. Лечебные мероприятия в этом направлении полностью зависят от результатов диагностических исследований.
Для устранения первопричины пневмосклероза могут использоваться следующие методы:
- Антибиотикотерапия. Курс лечения антибиотиками назначается при наличии бактериальных инфекций. Это позволяет вылечить хронические бронхиты, бронхоэктатическую болезнь и пневмонию. Антибиотики также применяются при плевритах или абсцессах легкого. В зависимости от чувствительности бактерий к препаратам могут быть назначены различные группы антибиотиков, такие как макролиды, пенициллины, сульфаниламиды и бета-лактамные антибиотики.
- Противотуберкулезные препараты. При подтвержденном диагнозе туберкулеза стандартные антибиотики оказываются неэффективными. Существуют специальные препараты, направленные против Mycobacterium tuberculosis, возбудителя этого заболевания. Чаще всего используются комбинации стрептомицина, рифампицина, изониазида, пиразинамида и этамбутола. Курс лечения может длиться от нескольких месяцев до нескольких лет.
- Противопаразитарные препараты. Лекарства, такие как мебендазол, альбендазол или метронидазол, эффективны при обнаружении личинок различных паразитов в легких.
- Хирургическое вмешательство при пороке сердца. Если пневмосклероз вызван стенозом митрального клапана или устья аорты, данную проблему можно решить хирургическим путем. Восстановление нормального кровотока поможет устранить застой крови в легких и остановить патологический процесс.
- Дренирование абсцесса. При значительном скоплении гноя в полости абсцесса не следует ждать его естественного опорожнения через бронхи. Проводится операция, в ходе которой гной удаляется, а полость абсцесса промывается антисептическими растворами.
- Цитостатики и кортикостероиды. Эти группы лекарств применяются при аутоиммунных или системных заболеваниях соединительной ткани, затрагивающих легкие. Наиболее распространенными средствами являются азатиоприн, метотрексат, дексаметазон и преднизолон.
После завершения курса лечения важно уделять внимание поддержанию дыхательной функции и профилактическим мерам. В случае некоторых заболеваний (таких как саркоидоз или идиопатический фиброз легких) устранить первопричину невозможно. В таких случаях проводятся мероприятия, направленные на максимально длительное поддержание дыхательной функции легких.
Профилактика осложнений
Учитывая то, что разрастание соединительной ткани в легких является необратимым процессом, следует уделить внимание профилактике этого заболевания и его осложнений. Это поможет в дальнейшем сэкономить силы, время и деньги на лечение, а главное – сохранит здоровье.
Профилактика пневмосклероза и его осложнений включает следующие мероприятия:
- Своевременная диагностика и лечение инфекции дыхательных путей. Следует понимать, что любая инфекция (даже насморк ) при определенных условиях может перейти в бронхит или пневмонию. Поэтому следует внимательно относиться к первым симптомам болезни и по мере необходимости обращаться к врачу.
- Защита от профессиональных вредностей. Пневмокониозы ведут к развитию быстро прогрессирующего склероза легочной ткани. Для их профилактики нужно использовать на производстве специальные защитные маски и респираторы, предохраняющие дыхательные пути от попадания пыли.
- Ограничение физической нагрузки. При физической нагрузке у людей с пневмосклерозом может возникнуть приступ одышки, аритмии, а также повышается риск обмороков. инсульта или инфаркта миокарда (в случае легочного сердца ). В связи с этим лицам с дыхательной недостаточностью противопоказано заниматься спортом или тяжелым физическим трудом.
- Лечебный массаж. Лечебный массаж при пневмосклерозе очищает бронхи, улучшает вентиляцию легких и кровообращение в сосудах малого круга. Все это облегчает симптомы дыхательной недостаточности и делает лечение более эффективным.
- Общие принципы диеты. Учитывая то, что питательные вещества у пациентов с пневмосклерозом хуже усваиваются, диета должны быть высококалорийной. Желательно употреблять в пищу нежирное мясо, рыбу. Ограничить стоит потребление жидкости. При развитии легочного сердца это уменьшит нагрузку на сердце и предотвратит образование отеков. Также нужно воздержаться от употребления в пищу грибов, сырой моркови и некоторых других трудно перевариваемых продуктов. Их употребление (а также алкоголя, кислых или острых продуктов ) предрасполагает к развитию гастрита. язвы желудка и холецистита. Учитывая нарушения кровообращения из-за хронической болезни легких и пониженное содержание кислорода в крови, вероятность этих болезней при неправильном питании значительно повышается.
- Отказ от курения. Курение при пневмосклерозе сильно ускоряет гибель нормальных клеток легких и разрастание соединительной ткани. При обнаружении первых признаков этой болезни нужно как можно быстрее избавиться от привычки к курению. Нередко для этого прибегают к помощи врача-нарколога.
Соблюдение основных профилактических мероприятий в сочетании с регулярным курсом лечения позволит поддерживать дыхательную функцию на высоком уровне в течение долгого времени. Это улучшает прогноз для пациента, повышает качество его жизни, а иногда и возвращает трудоспособность (
к работе без серьезной физической нагрузки
).
Последствия пневмосклероза
Как уже упоминалось ранее, при пневмосклерозе у пациентов наблюдаются различные структурные изменения, затрагивающие не только органы дыхания, но и сердечно-сосудистую систему. Это заболевание считается достаточно серьезным, поскольку помимо дыхательной недостаточности, которая является главной проблемой, оно может привести к множеству осложнений. Все это существенно сказывается на качестве жизни больного, а при запоздалой диагностике и неадекватном лечении представляет опасность для жизни.
К основным последствиям и осложнениям пневмосклероза относятся:
- хроническая дыхательная недостаточность;
- легочное сердце;
- респираторные инфекции.
Хроническая дыхательная недостаточность
Хроническая дыхательная недостаточность является прямым следствием пневмосклероза и присутствует в той или иной степени у всех пациентов с данной патологией. Она появляется из-за банального снижения объема легких. Уменьшается количество альвеол, ухудшается проходимость бронхиол, возникает застой крови. Все это ведет к тому, что венозная кровь, поступающая в легкие, не обогащается кислородом в должной мере. Как уже отмечалось выше, именно хроническая дыхательная недостаточность является причиной появления большинства симптомов.
Данная проблема при пневмосклерозе практически неизлечима. Временно облегчение дыхания может принести употребление определенных лекарственных препаратов. Такие компенсаторные механизмы как повышение уровня эритроцитов, гемоглобина, а также учащение дыхания – тоже являются временными. Пневмосклероз же чаще всего продолжает медленно прогрессировать (в зависимости от причины ), ухудшая состояние пациента. При значительном снижении уровня кислорода в артериальной крови наступает смерть.
Легочное сердце
Легочное сердце, о котором уже шла речь, представляет собой увеличение правых камер сердца. Это состояние возникает из-за постепенного утолщения сердечной мышцы. Укрепленный миокард помогает компенсировать повышенное давление в малом круге кровообращения. Он способен сокращаться с большей силой, преодолевая сопротивление сосудов в измененных легких. На некоторое время такая компенсация позволяет справляться с дыхательной недостаточностью. Кровь проходит через легкие, насыщается кислородом и затем распределяется по организму.
К сожалению, легочное сердце, особенно на фоне пневмосклероза, является серьезным осложнением заболевания. Компенсация сопротивления в легких носит временный характер. Со временем миокард правого желудочка увеличивается до такой степени, что ему начинает не хватать кислорода для нормальной работы. При физической нагрузке это может привести к инфаркту в правой части сердца. Кроме того, измененная форма сердца может вызывать такие симптомы, как нарушения сердечного ритма, учащенное сердцебиение и боли в области сердца. Как и сам пневмосклероз, легочное сердце плохо поддается медикаментозному лечению. Поэтому пациенты с данным осложнением, как правило, становятся нетрудоспособными и нуждаются в постоянном уходе и симптоматическом лечении.
Респираторные инфекции
Из-за плохой вентиляции и кровоснабжения некоторых отделов легких у пациентов с пневмосклерозом часто наблюдаются различные респираторные инфекции. Это проявляется периодическим появлением кашля с мокротой, подъемом температуры, появлением хрипов в легких. Прием антибиотиков помогает избавиться от инфекции, но проблема состоит в структурных изменениях, которые уже произошли в легочной ткани. Они предрасполагают к появлению новых очагов.
Специальность: Практикующий врач-микробиолог 2-й категории
Профилактика пневмосклероза
Профилактика пневмосклероза включает в себя комплекс мероприятий, направленных на предотвращение развития этого заболевания и минимизацию факторов риска. Пневмосклероз, как известно, представляет собой патологическое состояние легочной ткани, характеризующееся замещением нормальной легочной паренхимы соединительной тканью, что приводит к нарушению дыхательной функции. Поэтому профилактика данного заболевания имеет особое значение.
Одним из ключевых аспектов профилактики пневмосклероза является контроль за состоянием легких и своевременное лечение заболеваний дыхательной системы. Хронические заболевания, такие как хронический бронхит, пневмония и астма, могут способствовать развитию пневмосклероза. Поэтому важно проводить регулярные медицинские осмотры и следить за состоянием здоровья, особенно у людей с предрасположенностью к легочным заболеваниям.
Также следует обратить внимание на факторы окружающей среды. Загрязнение воздуха, вдыхание токсичных веществ и курение являются значительными факторами риска. Для снижения вероятности развития пневмосклероза рекомендуется избегать курения и пассивного курения, а также минимизировать контакт с вредными химическими веществами. Важно проводить мероприятия по улучшению качества воздуха в помещениях, где человек проводит много времени.
Физическая активность и здоровый образ жизни также играют важную роль в профилактике пневмосклероза. Регулярные физические нагрузки способствуют улучшению вентиляции легких и укреплению дыхательной мускулатуры. Рекомендуется заниматься спортом, гулять на свежем воздухе и следить за своим весом, так как избыточная масса тела может негативно сказаться на функции легких.
Питание также имеет значение в профилактике пневмосклероза. Сбалансированная диета, богатая витаминами и минералами, поддерживает иммунную систему и способствует общему укреплению организма. Важно включать в рацион продукты, содержащие антиоксиданты, такие как фрукты и овощи, которые помогают защищать легкие от повреждений.
Наконец, важно помнить о необходимости вакцинации против инфекционных заболеваний, таких как грипп и пневмококковая инфекция. Эти заболевания могут привести к серьезным осложнениям и способствовать развитию пневмосклероза, особенно у людей с уже существующими легочными заболеваниями.
Таким образом, профилактика пневмосклероза требует комплексного подхода, включающего медицинское наблюдение, изменение образа жизни и заботу о здоровье легких. Применение этих мер может значительно снизить риск развития данного заболевания и улучшить качество жизни.
Вопрос-ответ
Что такое пневмосклероз и чем он опасен?
Пневмосклероз — это замещение воздушной ткани легких неэластичной соединительной, из-за чего снижается воздушность легких и страдает газообмен. При массивном разрастании соединительной ткани уменьшается объем органа, и человек начинает испытывать трудности с дыханием.
Как избавиться от пневмосклероза?
Пневмосклероз в пожилом возрасте при очаговом варианте обычно не требует лечения. Если же на фоне заболевания возникают воспалительные процессы, то лечение проводится с помощью антибиотиков, отхаркивающих препаратов, муколитиков, бронхолитиков, проводится дренаж бронхов.
Какие препараты назначают при пневмосклерозе?
Обязателен прием симптоматических препаратов: противокашлевых, муколитиков (для улучшения отхождения мокроты), противовоспалительных. При явлениях сердечной недостаточности применяют сердечные гликозиды и препараты калия, при наличии аллергического компонента и диффузного пневмосклероза – глюкокортикоиды.
Какая одышка при пневмосклерозе?
Базальный пневмосклероз. Особенности и симптомы: прогрессирующая одышка, усиливающаяся при физической нагрузке; хронический кашель с небольшим количеством мокроты.
Советы
СОВЕТ №1
Регулярно проходите медицинские обследования, особенно если у вас есть предрасположенность к заболеваниям легких. Раннее выявление пневмосклероза может значительно улучшить прогноз и качество жизни.
СОВЕТ №2
Обратите внимание на свой образ жизни: избегайте курения и воздействия вредных веществ. Здоровое питание и физическая активность помогут поддерживать легкие в хорошем состоянии и снизить риск развития пневмосклероза.
СОВЕТ №3
Если у вас уже диагностирован пневмосклероз, следуйте рекомендациям врача и не пренебрегайте назначенной терапией. Регулярное наблюдение у специалиста поможет контролировать состояние и предотвратить осложнения.
СОВЕТ №4
Обсуждайте свои симптомы и изменения в состоянии здоровья с врачом. Не стесняйтесь задавать вопросы и уточнять информацию о заболевании, чтобы лучше понимать, как управлять своим состоянием.






