Ультразвуковое исследование (УЗИ) поджелудочной железы — важный метод диагностики, позволяющий оценить состояние органа и выявить патологии. В статье рассмотрим, как расшифровывать результаты УЗИ, какие показатели считаются нормой и на что обратить внимание при интерпретации данных. Знание нормальных значений УЗИ поможет читателям лучше понимать свое здоровье и своевременно обращаться за медицинской помощью.
Показания
Показания для проведения ультразвукового исследования поджелудочной железы (pancreas) включают:
- острые или хронические боли в верхней части живота;
- рвота без ясной причины;
- желтуха;
- опухоль в верхней области живота или резкое увеличение объема живота;
- повышение температуры тела;
- подозрение на злокачественное образование (рак);
- наличие жидкости в брюшной полости;
- хронический рецидивирующий панкреатит;
- возможные осложнения острого панкреатита (псевдокисты, гематомы, абсцессы);
- заболевания печени и желчного пузыря с возможным влиянием на поджелудочную железу;
- травмы живота.
Врачи подчеркивают значимость ультразвукового исследования поджелудочной железы как одного из ключевых методов диагностики заболеваний этого органа. При анализе результатов УЗИ специалисты обращают внимание на размеры железы, ее структуру и наличие возможных отклонений. Нормальные размеры поджелудочной железы могут варьироваться, но в среднем длина органа составляет от 14 до 22 см, а ширина — от 2 до 3 см. Врачи акцентируют внимание на однородности эхоструктуры, которая должна быть равномерной, без каких-либо включений или изменений. Изменения в размерах или структуре могут свидетельствовать о воспалительных процессах, опухолях или других патологиях. Поэтому для врачей крайне важно не только правильно интерпретировать результаты УЗИ, но и учитывать клиническую картину пациента для точной диагностики и назначения соответствующего лечения.
Эксперты в области гастроэнтерологии подчеркивают важность ультразвукового исследования поджелудочной железы как одного из ключевых методов диагностики заболеваний данного органа. Нормальные показатели УЗИ включают размеры железы, которые должны составлять от 14 до 22 см в длину и от 2 до 3 см в ширину. Структура ткани должна быть однородной, без признаков воспаления или опухолей. Также важно, чтобы контуры поджелудочной железы были четкими и ровными. Специалисты отмечают, что наличие изменений в этих параметрах может указывать на патологии, такие как панкреатит или опухолевые образования. Поэтому регулярные обследования и грамотная интерпретация результатов УЗИ играют ключевую роль в ранней диагностике и лечении заболеваний поджелудочной железы.

Задачи исследования
Основные задачи, которые встают перед врачом при проведении эхографии поджелудочной железы:
- выявить местоположение,
- конфигурацию,
- размеры,
- отчетливость контуров,
- строение паренхимы,
- эхогенность (отражательную способность органа при УЗИ поджелудочной железы),
- диаметр главного панкреатического (Вирсунгова протока) и желчевыводящего протока, состояние окружающей клетчатки,
- состояние сосудов, расположенных рядом с органом.
По показаниям проводят более детальное изучение степени кровотока в сосудах внутри поджелудочной железы и кровоснабжающих ее.
Кроме того, если выявлены какие-то отклонения от нормы, врач должен провести различие между аномалиями строения органа, воспалением и опухолью, очаговыми формами жировой дистрофии, старческими изменениями и хроническим панкреатитом. При необходимости может быть выполнен забор крошечного участка ткани железы тонкой иглой под контролем ультразвука для последующего изучения в гистологической лаборатории и постановки точного диагноза.
| Параметр УЗИ | Нормальные значения | Возможные отклонения и их значение |
|---|---|---|
| Размеры | ||
| Головка | 25-30 мм | Увеличение: панкреатит, опухоль, киста. Уменьшение: атрофия. |
| Тело | 15-25 мм | Увеличение: панкреатит, опухоль, киста. Уменьшение: атрофия. |
| Хвост | 20-30 мм | Увеличение: панкреатит, опухоль, киста. Уменьшение: атрофия. |
| Контуры | Четкие, ровные | Нечеткие, неровные: воспаление, опухоль. |
| Эхогенность | Однородная, средняя (как печень) | Повышенная: липоматоз, фиброз, хронический панкреатит. Пониженная: острый панкреатит, отек. |
| Структура | Мелкозернистая, однородная | Неоднородная: воспаление, кисты, опухоли, кальцинаты. |
| Вирсунгов проток | Не расширен, до 2 мм | Расширение: обструкция (камень, опухоль), хронический панкреатит. |
| Наличие образований | Отсутствуют | Кисты, опухоли, кальцинаты, конкременты. |
| Состояние окружающих тканей | Без изменений | Воспаление, отек, увеличение лимфоузлов. |
Интересные факты
Вот несколько интересных фактов о УЗИ поджелудочной железы и его расшифровке:
-
Структура и размеры: Нормальные размеры поджелудочной железы у взрослого человека составляют около 16-22 см в длину и 2-3 см в ширину. УЗИ позволяет не только оценить размеры органа, но и его структуру, выявляя возможные изменения, такие как кисты, опухоли или воспалительные процессы.
-
Функциональная оценка: УЗИ поджелудочной железы может помочь в оценке ее функционального состояния. Например, при хроническом панкреатите может наблюдаться уменьшение размеров железы и изменение ее эхогенности, что указывает на потерю функциональных клеток.
-
Роль в диагностике заболеваний: УЗИ является одним из первых методов диагностики заболеваний поджелудочной железы, таких как панкреатит, опухоли и камни в протоках. Это неинвазивный и безопасный метод, который позволяет быстро получить информацию о состоянии органа и принять решение о дальнейшем обследовании или лечении.

Подготовка
Предварительная подготовка к ультразвуковому исследованию поджелудочной железы и печени не является обязательной, однако процедура проходит легче, если пациент приходит на обследование натощак. Рекомендуется воздержаться от пищи за 9-12 часов до процедуры.
В около 30% случаев исследование может быть затруднено из-за метеоризма, поэтому стоит внимательно следить за своим рационом и исключить за несколько дней до визита к врачу такие продукты, как овощи, фрукты, черный хлеб, молочные изделия и бобовые. Полезно употреблять отвар семян укропа или мяты, а также препараты, снижающие газообразование. Желательно подготовить и опорожнить кишечник перед исследованием или за день до него, но не следует использовать клизмы или слабительные средства перед УЗИ поджелудочной железы.
Если пациент направлен на исследование Вирсунгова протока, ему рекомендуется прийти после завтрака.
Ультразвуковое исследование поджелудочной железы — это важный диагностический метод, позволяющий оценить состояние данного органа и выявить возможные патологии. Многие пациенты отмечают, что процедура проходит безболезненно и быстро, что делает её доступной для широкой аудитории. Расшифровка результатов УЗИ может вызвать вопросы у пациентов, особенно если они сталкиваются с медицинскими терминами. Обычно нормальные показатели включают размеры железы, её структуру и наличие возможных образований. Важно, чтобы результаты интерпретировал квалифицированный специалист, который сможет объяснить, что означают каждая цифра и вывод. Люди часто делятся своим опытом, что понимание результатов помогает им лучше ориентироваться в своём здоровье и принимать обоснованные решения о дальнейшем лечении или профилактике заболеваний.
Как проводится
Перед УЗИ поджелудочной железы пациента просят освободить живот от одежды и лечь навзничь на кушетку. Врач наносит специальный гель на живот в район проекции поджелудочной железы и прикладывает датчик к этой области. Во время исследования пациента просит делать глубокий вдох и задержать ненамного дыхание или надуть живот вперед «барабанчиком» для того, чтобы сместить кишечник и лучше увидеть железу.
Для визуализации различных отделов органа врач делает качательные или вращательные движения датчика по животу в эпигастральной области, замеряет размеры органа, рассматривает его структуру и окружающие ткани. Исследование всего органа занимает не больше 5-8 минут и не доставляет пациенту боли или каких-либо других неприятных ощущений.

Нормальные показатели
В нормальном состоянии поджелудочная железа располагается в области эпигастрия и обладает следующими эхографическими характеристиками.
- Форма может быть «колбасовидной», «гантелевидной» или напоминать «головастика».
- Контуры должны быть четкими и ровными, с ясным отделением от окружающих тканей.
- Нормальные размеры железы у взрослых: головка – 18-28 мм, тело – 8-18 мм, хвост – 22-29 мм. У детей размеры варьируются в зависимости от роста и составляют: головка – 10-21 мм, тело – 6-13 мм, хвост – 10-24 мм.
- Эхогенность, или способность к отражению, – средняя (сравнимая с эхогенностью здоровой печени). С возрастом она может увеличиваться.
- Эхоструктура однородная (гомогенная, мелкозернистая или крупнозернистая).
- Сосудистый рисунок – без изменений.
- Проток Вирсунга – не расширен (нормальный диаметр составляет 1,5-2,5 мм).
На представленном изображении поджелудочная железа выглядит без патологий. Наблюдается нормальная эхогенность и однородная структура.
Расшифровка
Какие ультразвуковые симптомы может выявить врач при исследовании поджелудочной железы? Расшифровка УЗИ поджелудочной железы требует понимания следующих терминов и симптомов.
Симптом «маленькой поджелудочной железы» — описывается при равномерном уменьшении размеров органа, но отсутствии клиники какой-либо патологии железы. Чаще всего характерен для пожилых пациентов при «старении» железы.
Симптом дольчатой поджелудочной железы — характерен для замещения нормальной ткани железы на жировую (липоматоз). Липоматоз на УЗИ характеризуется повышенной эхогенностью (в таком случае железа выглядит светлее на оборудовании)
Симптом диффузного увеличения поджелудочной железы – выявляется при воспалении pancreas. Характеризуется увеличением размеров и пестрой картиной за счет участков воспаления и уплотнения. Диффузное изменение поджелудочной железы повод срочно начать дальнейшие анализы и обследоования.
Большая опухоль головки железы с незначительным расширением Вирсунгова протока — выявляется при воспалении головки железы, при раке и псевдокистах.
Симптом «застежки» — описывается при неравномерном расширении главного панкреатического протока и уплотнении его стенок. Бывает при хроническом панкреатите или псевдокистах.
Симптом локального утолщения тела pancreas – характерен для начальных этапов развития опухолей в области головки железы.
Симптом неравномерного (фокального) увеличения поджелудочной железы – типичен для панкреатитов, объемных образований, иногда может возникать в норме при отсутствии какого-либо заболевания.
Симптом атрофии хвоста поджелудочной железы – выявляется при медленно развивающейся опухоли головки поджелудочной железы.
Признаки диффузных изменений
Если в заключении протокола исследования врач указал на наличие диффузных изменений в поджелудочной железе, это свидетельствует о том, что были обнаружены отклонения от нормальных размеров, как в большую, так и в меньшую сторону, а также изменения в структуре органа. Структура может приобретать пятнистый вид, где чередуются темные и светлые участки. Подобные изменения могут наблюдаться при панкреатите (воспалительном процессе), липоматозе (замещении нормальной ткани жировой), эндокринных нарушениях, проблемах с кровоснабжением железы, связанных с атеросклерозом, после хирургических операций, а также при постоянных стрессах.
Для дальнейшей диагностики необходимо обратиться к опытному врачу, который сможет правильно интерпретировать результаты и назначить соответствующее лечение.
Выявляемые патологии
Обычно УЗИ поджелудочной железы выполняют одновременно с исследованием других органов ЖКТ. Поэтому это исследование показывает изменения не только поджелудочной, но и соседних органов. Что же касается конкретно поджелудочной железы, то врач может выявить эхо признаки, указывающие на:
- острый или хронический панкреатит;
- диффузные изменения паренхимы органа;
- кисты;
- опухоли и опухолевидные образования;
- аномалии строения;
- камни панкреатического или желчного протоков;
- абсцесс;
- некроз;
- изменения, характерные для «старения» органа;
- увеличение расположенных рядом лимфатических узлов;
- жидкость в животе.
Что говорит о липоматозе?
При липоматозе поджелудочная железа на ультразвуковом исследовании выглядит значительно светлее по сравнению с окружающими тканями, а иногда даже приобретает почти белый цвет. Обычно при этом заболевании размеры железы немного превышают норму, что связано с заменой ее обычной ткани на жировую. Чаще всего такая белая поджелудочная железа наблюдается у людей с избыточным весом и часто сопровождается диагнозом жировой гепатоз, который представляет собой аналог липоматоза — замещение нормальной ткани печени жировой, что также приводит к увеличению размеров печени.
Признаки панкреатита
Панкреатит – заболевание поджелудочной железы, проявляющееся ее воспаление, которое может быть вызвано очень большим количеством причин (злоупотребление алкоголя, желчнокаменная болезнь, аутоиммунные заболевания, повышение липидов в крови, вирусные инфекции, травмы, эндокринные заболевания, чрезмерное употребление некоторых лекарственных препаратов и другие). Диагноз острого панкреатита можно установить на основании клиники (боль в типичных местах) и отклонений в анализах крови, УЗИ при этом играет вспомогательную роль, помогает выявить развитие возможных осложнений.
При остром воспалении могут наблюдаться все или некоторые из нижеперечисленных УЗ-признаков:
- Железа может оставаться нормальной при легком течении или на начальной фазе;
- Увеличение размеров;
- Снижение эхогенности, т.е. затемнение;
- Неоднородность структуры;
- Расширение главного панкреатического протока;
- Отек или истончение окружающих тканей и органов;
- Накопление жидкости в структуре самой железы или спереди от нее, с формированием псевдокист.
Неоднократные повторения острого воспаления приводят к пожизненным трансформациям в железе и развитию хронического панкреатита. На начальных этапах железа увеличена, ее эхогенность снижена (темная), выявляется расширение выводного протока.
Со временем структура железы делается разнородной с более яркими участками, может увеличиваться в размерах. Могут появляться псевдокисты, кальцификаты или камни, дающие тень. Выводные протоки расширяются.
При запущенном течении хронического панкреатита железа сморщивается, становится маленькой и пестрой.
Эхопризнаки рака
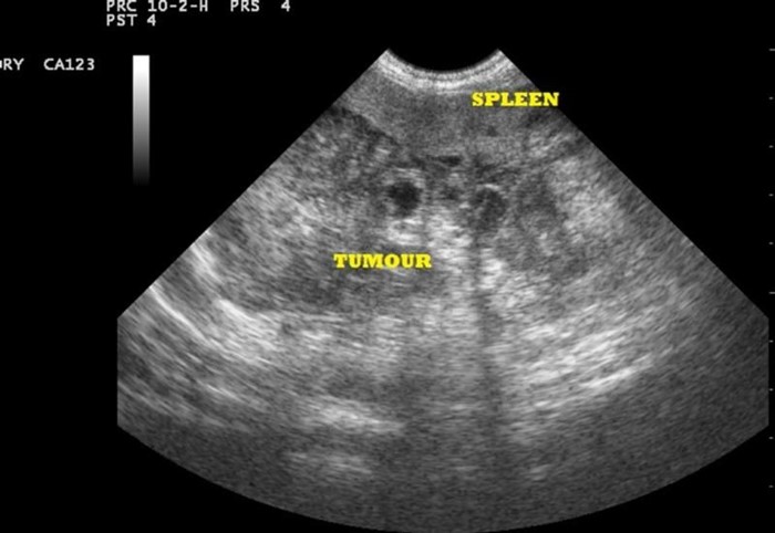
Объемные изменения в поджелудочной железе могут проявляться в различных формах – они могут быть полностью черными, темными, слабо отличимыми от нормальной ткани, светлыми или неоднородными. Размеры таких образований варьируются от нескольких миллиметров до нескольких сантиметров, при этом они могут выступать за контур органа. К объемным образованиям относятся аденомы, гемангиомы, липомы, псевдокисты, лимфомы, гематомы, рак и другие.
На представленном изображении можно увидеть раковую опухоль поджелудочной железы (обозначена как «tumour»).
За последние десятилетия в нашей стране наблюдается почти четырехкратное увеличение случаев рака поджелудочной железы. Наиболее распространенными симптомами этого заболевания являются пожелтение кожи и слизистых оболочек, боли в верхней части живота и необъяснимое снижение веса. В 70% случаев опухоль локализуется в головке поджелудочной железы.
О раке поджелудочной железы могут свидетельствовать следующие эхографические признаки:
- наличие очагового образования в одном из отделов железы, чаще всего гипоэхогенного или смешанной эхогенности, с темным ободком по краям,
- образование обычно хорошо визуализируется и имеет четкие контуры,
- наблюдается деформация внешнего контура самой железы,
- расширение Вирсунгова протока и холедоха,
- увеличение соседних лимфатических узлов,
- метастазы в печени выявляются в 30% случаев.
Для чего нужна пункция и как она проводится
Для чего же нужна пункция поджелудочной железы? Если у пациента впервые обнаружено какое-либо неясное тканевое образование в железе, то для постановки точного диагноза необходимо выполнить его пункцию тонкой иглой под контролем ультразвука. Кроме того, пункцию могут проводить в лечебных целях для эвакуации псевдокист, абсцессов или жидкости вокруг железы.
Противопоказаниями к пункции являются некоторые заболевания крови, сопровождающиеся сниженными количеством тромбоцитов, замедлением времени свертывания крови. С осторожностью пункцию также делают больным в тяжелом состоянии.
Перед пункцией пациенту обрабатывают кожу спиртом и йодом в месте будущего прокола. Как правило, для пункции делают местную анестезию. Затем прокалывают кожу специальной проводниковой иглой, через которую потом вводят другую тонкую иглу, наблюдая за ее направлением с помощью УЗ-сканера. Когда кончик иглы достигнет очага поражения, с помощью шприца врач отсасывает небольшое количество ткани, вытаскивает иглу и наносит материал на специальное стекло или в пробирку. Подготовленные таким образом результаты пункции передаются в лабораторию для дальнейшего изучения.
Зачастую только пункции и анализа тканей можно говорить о точной постановке диагноза.
Пункция поджелудочной железы под контролем УЗИ
Эндоскопическое ультразвуковое исследование поджелудочной железы
При стандартном ультразвуковом исследовании не всегда удается получить необходимые результаты. Это связано с тем, что передняя брюшная стенка может затруднять детальное изучение небольших изменений в структуре поджелудочной железы из-за ее глубокого расположения. Современная методика эндоскопического (или эндо) УЗИ позволяет приблизиться к органу, обеспечивая более точное и надежное исследование. Эндоскопическое (или эндо) УЗИ помогает обнаружить объемные образования поджелудочной железы и ее протоков на ранних стадиях, а также определить степень их прорастания в окружающие ткани, а также поражение сосудов и ближайших лимфатических узлов.
Подготовка врача к проведению эндосонографии поджелудочной железы
Эндоскопическое (эндо) УЗИ включает введение специальной длинной трубки с видеокамерой и небольшим ультразвуковым датчиком на конце через нос или рот в желудок и двенадцатиперстную кишку. Процедура выполняется под контролем квалифицированного врача. Подготовка к такому исследованию для пациента аналогична подготовке к УЗИ через живот. Исследование проводится строго натощак, с предварительной медикаментозной подготовкой для снижения уровня тревожности перед процедурой.
Рекомендации после исследования
После проведения ультразвукового исследования (УЗИ) поджелудочной железы важно следовать определённым рекомендациям, чтобы обеспечить правильную интерпретацию результатов и поддержание здоровья органа. Вот несколько ключевых моментов, которые следует учитывать:
- Обсуждение результатов с врачом: После получения результатов УЗИ обязательно обсудите их с вашим лечащим врачом. Он сможет объяснить, что означают полученные данные, и как они соотносятся с вашим состоянием здоровья.
- Следите за симптомами: Обратите внимание на любые изменения в вашем самочувствии. Если вы заметили такие симптомы, как боль в животе, тошнота, рвота или изменения в стуле, немедленно сообщите об этом врачу.
- Соблюдение диеты: В зависимости от результатов УЗИ и рекомендаций врача, может потребоваться корректировка вашего рациона. Избегайте жирной, жареной и острой пищи, а также алкоголя, чтобы снизить нагрузку на поджелудочную железу.
- Регулярные обследования: В некоторых случаях может потребоваться повторное УЗИ или другие диагностические процедуры для мониторинга состояния поджелудочной железы. Следуйте рекомендациям врача относительно частоты обследований.
- Лечение сопутствующих заболеваний: Если у вас есть другие заболевания, такие как диабет или заболевания печени, важно следить за их лечением, так как они могут влиять на состояние поджелудочной железы.
- Физическая активность: Умеренные физические нагрузки могут помочь улучшить общее состояние организма и поддерживать здоровье поджелудочной железы. Однако перед началом любой программы упражнений проконсультируйтесь с врачом.
- Психологическое состояние: Стресс и тревога могут негативно сказаться на здоровье. Рассмотрите возможность занятий, способствующих расслаблению, таких как йога или медитация.
Следуя этим рекомендациям, вы сможете поддерживать здоровье поджелудочной железы и минимизировать риск возникновения заболеваний. Помните, что регулярные медицинские осмотры и внимание к своему организму играют ключевую роль в поддержании здоровья.
Вопрос-ответ
Каковы нормы поджелудочной железы по УЗИ?
Размеры поджелудочной железы в норме, определяющиеся по УЗИ, у взрослого человека 14-18 см на 3-9 см и в толщину до 3 см. Масса органа составляет 80 г.
Какой показатель показывает воспаление поджелудочной железы?
Общий анализ крови (ОАК) — показывает признаки воспаления, анемии. С-реактивный белок — неспецифический маркер воспаления, который увеличивается при панкреатите. Ферменты амилаза и липаза — показывают работу экзокринной части железы, наличие воспаления и повреждения клеток.
Как понять, что поджелудочная не в норме?
Понять, что поджелудочная железа не в норме, можно по таким симптомам, как боли в верхней части живота, особенно после еды, тошнота, рвота, потеря аппетита, резкое снижение веса, а также появление желтухи или изменения в стуле (например, жирный, светлый стул). Если вы заметили эти признаки, рекомендуется обратиться к врачу для диагностики и лечения.
Как выглядит здоровая поджелудочная на УЗИ?
В норме эхоструктура поджелудочной железы по интенсивности напоминает эхоструктуру печени. Преобладают мелкие эхосигналы, которые равномерно распределяются по всей железе. С возрастом в связи с фибротизацией и отложением жира эхоструктура поджелудочной железы усиливается.
Советы
СОВЕТ №1
Перед проведением УЗИ поджелудочной железы рекомендуется соблюдать диету за 1-2 дня до процедуры. Избегайте жирной, острой и тяжелой пищи, а также газированных напитков, чтобы минимизировать образование газов в кишечнике, что может затруднить диагностику.
СОВЕТ №2
Обязательно сообщите врачу о всех принимаемых вами лекарствах и хронических заболеваниях. Это поможет специалисту правильно интерпретировать результаты УЗИ и учесть возможные влияния на состояние поджелудочной железы.
СОВЕТ №3
После УЗИ внимательно изучите результаты и расшифровку. Если у вас возникли вопросы или сомнения, не стесняйтесь обратиться к врачу для разъяснений. Понимание своих результатов поможет вам лучше контролировать здоровье.
СОВЕТ №4
Регулярно проходите профилактические обследования, особенно если у вас есть предрасположенность к заболеваниям поджелудочной железы. Раннее выявление проблем может значительно улучшить прогноз и качество жизни.



