Рак головки поджелудочной железы — одно из самых агрессивных онкологических заболеваний, требующее тщательной диагностики и лечения. В статье рассмотрим прогнозы выживаемости, методы лечения и профилактики, которые могут помочь в борьбе с болезнью. Понимание особенностей рака поджелудочной железы и доступных вариантов терапии будет полезно пациентам и их близким, способствуя более информированному выбору и улучшению качества жизни.
Особенности заболевания
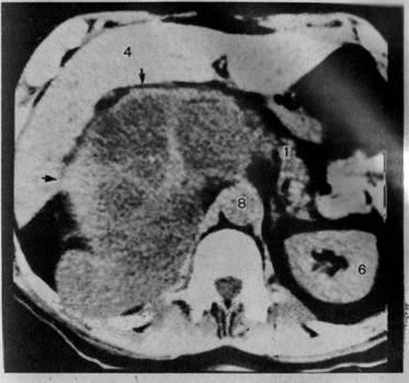
Поджелудочная железа человека состоит из трех основных частей: головки, тела и хвоста. В контексте онкологических заболеваний стоит отметить, что злокачественные опухоли чаще всего возникают именно в головке этого органа.
Одной из главных проблем данного заболевания является сложность его диагностики, что зачастую приводит к тому, что болезнь выявляется на поздних стадиях. На последних этапах рака поджелудочной железы хирургическое вмешательство, как правило, становится невозможным, и пациенты живут с этим недугом недолго. Согласно международной статистике, рак поджелудочной железы занимает четвертое место среди причин смертности от онкологических заболеваний.
Это связано не только с поздним выявлением болезни, но и с крайне неблагоприятным прогнозом при рецидивах. На ранних стадиях заболевание практически невозможно обнаружить без полного медицинского обследования, поэтому онкология поджелудочной железы, независимо от стадии, имеет плохой прогноз. Для этого типа рака характерна низкая выживаемость и сложность лечения, которое зачастую оказывается невозможным. Рак головки поджелудочной железы также негативно влияет на соседние органы, что ухудшает общее состояние пациента.
Врачи отмечают, что рак головки поджелудочной железы относится к наиболее агрессивным формам онкологии. Прогноз для пациентов часто оказывается неблагоприятным, поскольку на ранних стадиях болезнь может протекать без явных симптомов, что затрудняет ее своевременное выявление. В среднем, выживаемость пациентов составляет около 5-10% в течение пяти лет после постановки диагноза. Однако при раннем обнаружении и комплексном лечении, включающем хирургическое вмешательство, химиотерапию и радиотерапию, шансы на улучшение прогноза значительно увеличиваются. Врачи также подчеркивают важность профилактических мер, которые включают здоровый образ жизни, отказ от курения и регулярные медицинские осмотры. Своевременное обращение к специалистам и соблюдение рекомендаций могут существенно улучшить качество жизни пациентов и продлить ее.
Эксперты в области онкологии подчеркивают, что рак головки поджелудочной железы является одним из самых агрессивных видов рака, что значительно усложняет прогноз для пациентов. Средняя выживаемость составляет всего 6-12 месяцев после постановки диагноза, однако при раннем выявлении и своевременном лечении шансы на долгосрочную ремиссию увеличиваются. Основные методы лечения включают хирургическое вмешательство, химиотерапию и радиотерапию. Профилактика заболевания включает в себя здоровый образ жизни, отказ от курения, контроль за уровнем сахара в крови и регулярные медицинские осмотры, особенно для людей с предрасположенностью к заболеваниям поджелудочной железы. Важно помнить, что ранняя диагностика и комплексный подход к лечению могут существенно повысить качество жизни пациентов.

Хирургическое лечение
Хирургическое удаление злокачественной опухоли при поражении головки только в 15-25% случаев дает положительные результаты. Нельзя не отметить, что выживаемость в течение пяти лет у людей, которые перенесли резекцию органа, составляет не более 10% в развитых странах. Если операция имела радикальный характер, то летальность может достигать 20%, однако основной причиной смерти в этом случае становится развитие рецидива сразу после хирургического вмешательства.
О том, сколько живут при злокачественной опухоли головки, наглядно говорит статистика, в соответствии с которой более 85% пациентов, у которых было диагностировано заболевание, умирают в течение следующих 8-12 месяцев.
В тех случаях, когда опухоль головки невозможно прооперировать, основная терапия проводится для уменьшения признаков болезни и обеспечения пациенту нормального качества его жизни вне зависимости от степени, которую имеет выявленная онкология. Те технологии и методики, которые существуют в современной медицине, не позволяют в полной мере излечить рак головки. Проводимые сегодня исследования направлены на применение химических препаратов и лучевой терапии в тех случаях, когда проведение операции по тем или иным причинам не представляется возможным. Кроме того, эти методики используются и после проведенной операции, чтобы увеличить ее эффективность, закрепить результат, улучшить условия жизни, увеличить выживаемость, вне зависимости от степени заболевания.
| Аспект | Описание | Важные моменты |
|---|---|---|
| Прогноз и выживаемость | Зависит от стадии, общего состояния пациента, агрессивности опухоли и эффективности лечения. | Средняя 5-летняя выживаемость: < 5-10% для всех стадий. При резектабельной опухоли: 20-30%. При метастатическом раке: несколько месяцев. |
| Факторы, влияющие на прогноз | Стадия заболевания (размер опухоли, поражение лимфоузлов, наличие метастазов), общее состояние здоровья, возраст, наличие сопутствующих заболеваний, ответ на лечение. | Ранняя диагностика критически важна. Опухоли, обнаруженные на ранних стадиях, имеют значительно лучший прогноз. |
| Лечение | Хирургия (панкреатодуоденальная резекция/операция Уиппла): основной метод для резектабельных опухолей. Химиотерапия: адъювантная (после операции), неоадъювантная (до операции), паллиативная (для контроля симптомов). Лучевая терапия: может использоваться в комбинации с химиотерапией, для уменьшения боли. Таргетная терапия и иммунотерапия: новые методы, применяемые в некоторых случаях. |
Мультидисциплинарный подход: лечение должно планироваться командой специалистов (хирург, онколог, радиолог). |
| Профилактика | Изменение образа жизни: отказ от курения, ограничение алкоголя, поддержание здорового веса, сбалансированное питание (больше фруктов, овощей, цельнозерновых). Контроль хронических заболеваний: лечение хронического панкреатита, сахарного диабета. Генетическое консультирование: при наличии семейного анамнеза рака поджелудочной железы. |
Регулярные медицинские осмотры: особенно для групп риска. |
| Качество жизни | Важный аспект лечения, включающий контроль боли, нутритивную поддержку, психологическую помощь. | Паллиативная помощь: направлена на облегчение симптомов и улучшение качества жизни на всех этапах заболевания. |
Интересные факты
Вот несколько интересных фактов о раке головки поджелудочной железы, его прогнозе, лечении и профилактике:
-
Прогноз и выживаемость: Рак головки поджелудочной железы часто диагностируется на поздних стадиях, что значительно ухудшает прогноз. По данным статистики, пятилетняя выживаемость составляет всего около 10%. Однако ранняя диагностика и хирургическое вмешательство могут значительно улучшить шансы на выживание.
-
Симптомы и диагностика: Симптомы рака головки поджелудочной железы могут быть неясными и включать желтуху, потерю веса и боли в животе. Это приводит к тому, что заболевание часто выявляется на более поздних стадиях. Использование современных методов визуализации, таких как МРТ и КТ, а также биопсия, может помочь в более ранней диагностике.
-
Профилактика и образ жизни: Хотя точные причины рака поджелудочной железы не всегда известны, существуют факторы риска, такие как курение, ожирение и хронические заболевания поджелудочной железы. Изменение образа жизни, включая отказ от курения, поддержание здорового веса и сбалансированное питание, может помочь снизить риск развития этого заболевания.

Симптоматика
Симптомы рака головки поджелудочной железы напрямую связаны с возможностью его лечения:
- Менее 5% пациентов подлежат хирургическому вмешательству. У 80% наблюдается желтуха, у 30% — болевой синдром, а у 55% — желтуха без болей. Такие больные в среднем живут не более 70-90 недель;
- Почти 45% пациентов имеют местное распространение опухоли, что делает операцию невозможной. В 85% случаев злокачественное образование находится в головке поджелудочной железы. О продолжительности жизни таких пациентов говорить сложно — она составляет не более 40 недель;
- У 49% пациентов выявляются отдаленные метастазы. У них наблюдаются сильные боли (почти у всех), реже — желтуха. Прогнозируемая продолжительность жизни после диагностики составляет не более 20 недель.
Также выделяются стадии рака поджелудочной железы. Для определения стадии заболевания необходимо провести полное обследование пациента. Лечение должно начинаться в зависимости от степени заболевания. В разных странах применяются различные классификации, однако обязательно учитывается возможность хирургического удаления опухоли головки поджелудочной железы. Независимо от состояния пациента, операция является приоритетной, и она будет выполнена в интересах больного.
Рак поджелудочной железы прогрессирует очень быстро и часто без явных симптомов, поэтому человек может не подозревать о наличии болезни до самых последних стадий, когда вмешательство уже может быть неэффективным. Современные методы диагностики позволяют выявить опухоль на ранних этапах, но для этого требуется целенаправленное обследование, которое проводится крайне редко.
Рак головки поджелудочной железы — одно из самых сложных и опасных онкологических заболеваний. Многие пациенты и их близкие сталкиваются с трудностями в понимании прогноза. В среднем, выживаемость на ранних стадиях составляет около 20%, но при запущенных формах этот показатель значительно снижается. Лечение включает хирургическое вмешательство, химиотерапию и радиотерапию, однако его эффективность зависит от стадии заболевания и общего состояния пациента. Важно помнить о профилактике: здоровый образ жизни, сбалансированное питание и регулярные медицинские осмотры могут снизить риск развития рака. Люди, столкнувшиеся с этой болезнью, подчеркивают значимость поддержки и информации, чтобы справиться с эмоциональными и физическими нагрузками, связанными с диагнозом.
Стадии заболевания
Классификация стадий заболевания определяется в зависимости от возможности хирургического вмешательства.
- Операбельная опухоль. Операбельным считается то новообразование головки, которое можно удалить хирургическим путем. В этом случае опухоль должна располагаться в пределах органа, не выходить за его пределы, не прорастать в жизненно важные вены и артерии. Кроме того, не должно наблюдаться признаков отдаленного метастазирования. Вместе с этим, на данной стадии обнаружить онкологию крайне сложно. Поэтому, по статистике, операбельная форма злокачественного образования обнаруживается не более чем у 15-18% больных. При полном удалении опухоли сложно говорить о том, сколько лет жизни будет отведено пациенту – необходимо обязательно рассматривать возможность рецидива.
- Местно-распространенная онкология. В этом случае злокачественное новообразование начинает постепенно выходить за пределы органа, поражая при этом соседние ткани и органы, прорастая в артерии и вены. При этом, нет признаков отдаленного метастазирования, однако операция по удалению опухоли невозможна по ряду причин. Диагностирование болезни на данной стадии происходит в 40% случаях.
- Метастазирующая опухоль. В этом случае наблюдается метастазирование злокачественного новообразования не только на соседние органы и ткани, но и на всю брюшную полость. Заболевание диагностируется на данной стадии в 55% случаев. Нужно ли говорить о том, сколько проживет человек при таком диагнозе?

Лечение заболевания
Лечение опухоли головки поджелудочной железы представляет собой сложный и зачастую неопределенный процесс, который не всегда имеет четкую направленность. Назначение терапии должно осуществляться квалифицированным онкологом, который обязательно должен рассмотреть возможность хирургического вмешательства. Успешно проведенная операция может значительно улучшить прогноз выживаемости, однако важно помнить, что лечение не заканчивается на этом этапе, и необходимо предотвращать рецидив заболевания.
В случае возникновения рецидива повторная операция не всегда дает положительные результаты, поэтому дальнейшая терапия направлена на продление жизни пациента. Прогноз в таких ситуациях, как правило, неблагоприятный, так как уровень смертности при рецидивах опухолей данного типа очень высок.
Химиотерапия, как правило, не приносит ожидаемых результатов, но может немного улучшить прогноз и временно замедлить рост опухоли, а иногда даже вызвать ремиссию. При выборе лечения необходимо учитывать индивидуальные особенности организма пациента, стадию заболевания и степень поражения тканей и органов метастазами.
Хирургическое вмешательство является приоритетным. Онкологи всегда рассматривают возможность операции после диагностики заболевания у пациента. В большинстве случаев операция проводится даже в ситуациях, когда она может представлять риск для здоровья больного. Важно взвесить все риски и выбрать наименее опасный вариант. Как уже упоминалось, лечение с использованием химиотерапии не дает желаемых результатов.
Психологическая поддержка пациентов
Психологическая поддержка пациентов с раком головки поджелудочной железы играет важную роль в процессе лечения и реабилитации. Диагноз рака может вызвать у человека широкий спектр эмоций, включая страх, тревогу, депрессию и чувство безысходности. Психологическая поддержка помогает пациентам справиться с этими эмоциями, улучшить качество жизни и повысить шансы на успешное лечение.
Одним из ключевых аспектов психологической поддержки является создание безопасной и доверительной атмосферы, где пациент может открыто говорить о своих чувствах и переживаниях. Психологи и психотерапевты, работающие с онкологическими пациентами, используют различные методы, такие как когнитивно-поведенческая терапия, арт-терапия и групповые занятия, чтобы помочь людям справиться с эмоциональными трудностями.
Группы поддержки также играют значительную роль в процессе психологической реабилитации. Общение с другими людьми, которые сталкиваются с аналогичными проблемами, может помочь пациентам почувствовать себя менее одинокими и более понятыми. В таких группах пациенты могут делиться своими переживаниями, получать советы и поддержку от тех, кто уже прошел через подобные испытания.
Важно отметить, что психологическая поддержка должна быть индивидуализированной. Каждый пациент уникален, и его реакция на диагноз и лечение может отличаться. Поэтому важно, чтобы психологи и медицинские работники учитывали личные особенности и потребности каждого пациента, предлагая соответствующие методы поддержки.
Кроме того, поддержка со стороны семьи и близких также имеет огромное значение. Эмоциональная поддержка от родных может значительно облегчить психологическое состояние пациента. Обсуждение страхов и надежд с близкими людьми может помочь пациенту лучше справляться с болезнью и чувствовать себя более уверенно.
Не менее важным является обучение пациентов и их семей о заболевании, методах лечения и возможных побочных эффектах. Знание о том, что ожидать, может снизить уровень тревожности и помочь пациентам чувствовать себя более контролирующими свою ситуацию.
В заключение, психологическая поддержка является неотъемлемой частью комплексного подхода к лечению рака головки поджелудочной железы. Она помогает пациентам справляться с эмоциональными трудностями, улучшает качество жизни и способствует более успешному прохождению лечения. Важно, чтобы пациенты не стеснялись обращаться за помощью и поддержкой, как к профессионалам, так и к своим близким.
Вопрос-ответ
Можно ли вылечить рак головки поджелудочной железы?
Рак поджелудочной железы относится к числу самых прогностически неблагоприятных видов рака. Большинство пациентов умирают в первый год после установления диагноза. Но при своевременном обнаружении болезнь можно вылечить с помощью операции.
Какова продолжительность жизни при раке поджелудочной железы?
При отсутствии метастазов продолжительность жизни составляет чуть больше трех лет. При развитии метастазирования — около года. Прогноз резко ухудшается при повышенной выработке липазы — такие пациенты живут 6-8 месяцев.
От чего умирают при раке поджелудочной железы?
Больной зачастую погибает не от самой опухоли, а от развившихся осложнений. К ним относятся: механическая желтуха, асцит, кровотечение из желудочно-кишечного тракта, кишечная непроходимость и т. д.
Можно ли выжить с раком поджелудочной железы?
Рак поджелудочной железы – заболевание с неблагоприятным прогнозом. И все-таки, согласно результатам популяционных исследований, 10 из 100 пациентов с раком поджелудочной железы будут живы спустя 5 лет после постановки диагноза.
Советы
СОВЕТ №1
Регулярно проходите медицинские обследования, особенно если у вас есть предрасположенность к заболеваниям поджелудочной железы. Раннее выявление рака может значительно повысить шансы на успешное лечение.
СОВЕТ №2
Обратите внимание на свое питание. Сбалансированная диета, богатая фруктами, овощами и полезными жирами, может помочь поддерживать здоровье поджелудочной железы и снизить риск развития рака.
СОВЕТ №3
Избегайте курения и чрезмерного употребления алкоголя. Эти факторы значительно увеличивают риск развития рака поджелудочной железы, поэтому отказ от них может стать важным шагом к профилактике.
СОВЕТ №4
Поддерживайте активный образ жизни. Регулярные физические нагрузки помогают укрепить иммунную систему и могут снизить риск развития различных заболеваний, включая рак.


